Unter einer Hirnvenenthrombose versteht man die Bildung von Blutgerinnseln in Blutgefäßen, die das Blut vom Gehirn zum Herzen transportieren.
Definition einer Hirnvenenthrombose
Im Gehirn finden sich verschiedene Hirnvenen. Die größeren Hirnvenen bezeichnet man als Sinus. Die Hirnvenenthrombose wird daher auch als Sinusthrombose oder Sinusvenenthrombose bezeichnet.
Durch die Thrombose kann es zu einer Erhöhung des intrakraniellen Drucks kommen. Die Erhöhung des Drucks begünstigt die Entstehung von Ödemen, Stauungsblutungen oder sogar epileptischen Anfällen. Dies wiederum kann zu lebensbedrohlichen Zuständen führen.
Es ist daher von größter Wichtigkeit, rechtzeitig und so schnell wie möglich eine Diagnose zu stellen und die Therapie einzuleiten.
Der schleichende Beginn
Venöse Thromben unterscheiden sich von arteriellen Thromben. Arterielle Thromben führen plötzlich zu Gefäßverschlüssen und weisen oftmals sehr klar definierte klinische Symptome auf. Venöse Thromben hingegen entstehen langsam durch ein gestörtes Gleichgewicht zwischen Thrombose fördernden und Thrombose abbauenden Prozesse.
Durch die Bildung von venösen Thromben entsteht eine venöse Stauung. Diese kann zum einen zu ischämisch oder hämorrhagischen Infarkten führen und andererseits zu einem Anstieg des intrazerebralen Drucks führen.
Das venöse System besitzt die Fähigkeit, Blutgefäße um eine Engstelle in einem Blutgefäß herum neu zu bilden. Durch diese sogenannte „Kollateralisierung“ fällt eine Hirnvenenthrombose nicht sofort auf.
Die Symptome entwickeln sich häufig schleichend, teils über einen langen Zeitraum und oftmals unspezifisch.
Anzeichen einer Hirnvenenthrombose
Je nachdem, in welchem Bereich und in welchem Ausmaß eine Thrombose dann im Gehirn entsteht, können die Symptome einer Hirnvenenthrombose einzeln und kombiniert auftreten.
Bei etwa einem Drittel der Patienten beginnt die Erkrankung akut, bei je einem weiteren Drittel ist der Krankheitsverlauf subakut oder chronisch.
Klinische Symptome
- Kopfschmerzen
- Übelkeit
- Erbrechen
- Sehstörungen
- Stauungspapille
- Epileptische Anfälle
- Bewusstseinsstörungen
- Delir
- Fieber
Die Hirnvenenthrombose äußert sich am häufigsten anhand von Kopfschmerzen (75-90%). Nicht selten sind Kopfschmerzen sogar das einzige Anzeichen.
Oft gehen sie aber auch mit anderen Symptomen einher, die durch den steigenden Druck entstehen: Übelkeit, Erbrechen und Sehstörungen.
Zudem finden sich bei etwa 40% der Betroffenen eine Stauungspapille (Schwellung an der Papille).
Fast genauso häufig äußert sich die Hirnvenenthrombose durch generalisierte oder fokal epileptische Anfälle. Diese entstehen entweder auf Grund eines Hirnödems (Schwellung des Gehirns) oder durch Infarkte bzw. Blutungen.
Ausschluss anderer Krankheiten
Da Kopfschmerzen und fokalneurologische Defizite auch bei anderen Krankheiten symptomatisch auftreten können, ist es wichtig verschiedene Erkrankungen bei der Diagnosefindung auszuschließen.
- Ischämischer Schlaganfall
- Hirnblutungen (Subarachnoidalblutung, intrazerebrale Blutungen)
- Meningitis (Gehirnhautentzündung)
- Enzephalitis (Gehirnentzündung)
- Hirnabszesse
- Hirntumore
- Hirnödeme
- Migräne
Diagnostik bei Verdacht auf Hirnvenenthrombose
Je nachdem, in welchem Bereich des Gehirns eine Thrombose entsteht, kann es zu unterschiedlichen Symptomen kommen. Besteht der Verdacht auf eine Hirnvenenthrombose ist eine bildgebende Diagnostik unerlässlich und sofort durchzuführen.
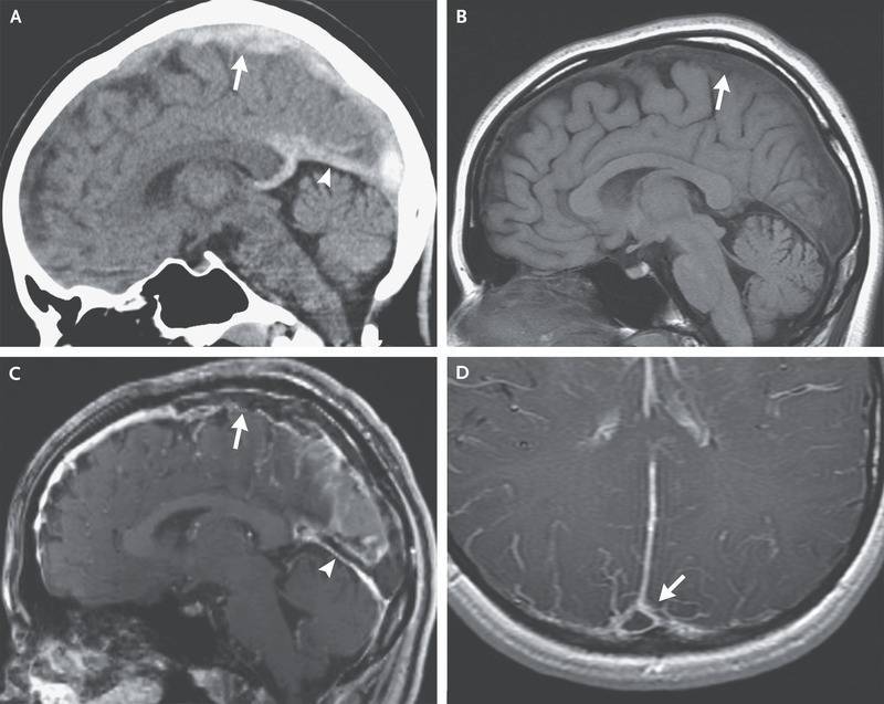
Hirnvenenthrombose Magnetresonanztomographie (MRT)
Um die Diagnose einer Hirnvenenthrombose zu sichern, kann die Durchführung einer Magnetresonanztomographie (MRT) mit einer venösen Angiographie (MRA) helfen. Sie ist die Methode erster Wahl bei der Diagnostik und Verlaufskontrolle von Hirnvenenthrombosen.
Die Auswertung eines MRT Befundes erweist sich im Rahmen einer Hirnvenenthrombose als sehr komplex. Dies ist darin begründet, dass das Signal vom Alter des Thrombus abhängig ist.
Auf Grund der fehlenden Strahlenbelastung ist die Anwendung einer MRT bei jüngeren Patienten und in der Schwangerschaft zu bevorzugen.
Hirnvenenthrombose Computertomographie (CT)
Alternativ bietet sich die Computertomographie (CT) an. Die zerebrale Computertomographie kommt häufig in der Primärdiagnostik zum Einsatz. Sie kann dabei helfen, erste Hinweise einer Hirnvenenthrombose zu liefern und ist daher von praktischer Bedeutung.
Die alleinige Anwendung der zerebralen Computertomographie genügt jedoch nicht, um die Diagnose einer Hirnvenenthrombose sicher zu beweisen.3
Neben der konventionellen Anwendung der Computertomographie bietet sich ferner die Durchführung einer Computertomographie mit einer venösen Angiographie an. Bei der sogenannten CT-Venographie lassen sich durch die Verabreichung von Kontrastmitteln die kortikalen Venen, Brückenvenen und Sinus darstellen.
Die CT-Venographie stellt somit ein gutes alternatives nichtinvasives Verfahren im Vergleich zur Magnetresonanzangiographie dar. Die kurzen Untersuchungszeiten und die geringere Anfälligkeit von Artefakten sind vorteilhaft. Von Nachteil sind jedoch die Anwendung von Kontrastmittel sowie die Strahlenbelastung durch Röntgenstrahlung.
Beide Verfahren dienen dazu, in Sinus oder/und Vene den Thrombus zu identifizieren. Stauungsbedingte Ödeme, Ischämien oder Blutungen lassen sich bei Bedarf ebenfalls lokalisieren.
Ob nun eine MRT Untersuchung mit einer Magnetresonanzangiographie oder eine CT Untersuchung mit einer venösen Angiographie kombiniert und angewandt wird, liegt im Ermessen und der Erfahrung des Untersuchers.
Hirnvenenthrombose Labor
Neben der Bildgebung sollte zudem eine Blutentnahme erfolgen. Der Wert für D-Dimere dient hierbei als wichtiger Indikator. Eine Erhöhung ist ein Indikator für eine Hirnvenenthrombose. Unauffällige Werte schließen sie im Umkehrschluss aber nicht aus.
Zudem können Entzündungsparameter und gegebenenfalls eine Blutkultur weiteren Aufschluss geben.
Behandlung einer Hirnvenenthrombose
Besteht akut eine Hirnvenenthrombose wird eine Antikoagulationstherapie (Blutverdünnung) eingeleitet. Diese dient dazu, die Ausdehnung der Thrombose beziehungsweise einen erneut auftretenden Verschluss eines Gefäßabschnittes, der bereits wieder geöffnet wurde, zu verhindern.
In der Akutphase kommt es zu Verabreichung folgender Medikamente:
- Gabe von Heparin für eine Dauer von 10-14 Tagen
Konnte die Hirnvenenthrombose stabilisiert werden, erfolgt in der Folgephase eine Umstellung auf die sogenannte orale Antikoagulation.
- Vitamin K Antagonisten für eine Dauer von 3-12 Monaten
Neben dieser standardisierten Herangehensweise können je nach Bedarf weitere zusätzliche Maßnahmen Anwendung finden:
- Therapie mit Antibiotika
- Sanierung des Entzündungsherdes
- Antiepileptika zur Anfallsprophylaxe bei stattgefundenem epileptischem Anfall
- Therapie von Komplikationen (z. B. Hirndruck)
Prognose einer Hirnvenenthrombose
In der Vergangenheit wurde die Hirnvenenthrombose nicht selten als fatale Erkrankung bezeichnet. Neueren Erkenntnissen und modernen bildgebenden Verfahren zufolge, hat sich dies jedoch gewandelt.3
Im Vergleich zum Schlaganfall hat die Hirnvenenthrombose heutzutage sogar eine relativ gute Prognose. Die Sterblichkeitsrate liegt bei ca. 10% und die Wiederauftretensrate bei 10-15% der Überlebenden.4
Das heißt, in den meisten Fällen lassen sich Hirnvenenthrombosen erfolgreich behandeln. Häufig sogar mit vollständiger Wiederherstellung. Todesfälle sind zwar selten, aber nicht auszuschließen.
Vorbeugung einer Hirnvenenthrombose
Einer Hirnvenenthrombose kann man leider nicht aktiv vorbeugen. Sie können jedoch regelmäßige Bewegung in den Alltag integrieren, starre Körperhaltungen vermeiden und mit einer gesunden Ernährung das Blutsystem positiv unterstützen. Diese Herangehensweisen können zur Verbesserung der persönlichen Gesundheit beitragen.
Treten jedoch klinische Symptome auf, gilt es, umgehend einen Arzt aufzusuchen und diese abzuklären. Nur so lassen sich eventuelle Spätfolgen verhindern.
