Wird das Ohr bei einer MRT-Untersuchung gescannt, handelt es sich primär um eine MRT Kopf Untersuchung. Ohren können nicht separat oder ausschließlich bei einer MRT-Untersuchung erfasst werden. Das MRT Ohr gibt es daher nicht explizit. Bei langanhaltendem Schwindel und bei bestimmten medizinischen Fragestellungen wird der Ohrbereich bei der Beurteilung von MRT Kopf Bildern berücksichtigt
Wichtig zu wissen:
Das Ohr kann nicht einzeln bei einer MRT-Untersuchung erfasst werden, somit ist keine MRT-Untersuchung des rechten oder linken Ohres möglich. Bei bestimmten medizinischen Fragestellungen und bei Symptomen, wie langanhaltendem Schwindel wird die Anatomie des Ohrs mitberücksichtigt.
Funktionen des Ohres
Das Ohr ist zum einen für den Hörsinn, also die Wahrnehmung akustischer Reize, und zum anderen für den Gleichgewichtssinn, die sogenannte vestibuläre Wahrnehmung zuständig. Dank unserer Ohren können wir Töne, Klänge und Geräusche aufnehmen und unseren Körper im Raum orientieren und ausbalancieren.
Allein an Tinnitus erkranken in Deutschland jährlich rund 340.000 Menschen, knapp 19 Millionen haben diese Ohrgeräusche schon einmal erlebt. Veränderungen des Hörens und auch des Gleichgewichtssinns, die oft eng miteinander zusammenhängen, können zunächst meist mit einfachen Mitteln direkt am und mit den Patienten untersucht werden.

Der Hörsinn
Das Ohr setzt sich dabei aus dem Außenohr (Ohrknorpel, Ohrmuschel, Ohrläppchen und äußere Gehörgang), dem Mittelohr (Trommelfell und Gehörknöchelchen) und dem Innenohr (Hörschnecke und Gleichgewichtsorgan) zusammen. Das Außenohr dient dem Einfangen und der Richtungsbestimmung des auftreffenden Schalls. Anschließend versetzt der Schall im Mittelohr das Trommelfell in Schwingungen.
Hinter dem Trommelfell befindet sich die sogenannte Paukenhöhle, in der die Gehörknöchelchen Hammer, Amboss und Steigbügel liegen, die nun die Schwingungen vom Trommelfell aufnehmen. Der Steigbügel mündet mit einer Platte in das sogenannte ovale Fenster, welches den Beginn des Innenohrs markiert.
Das Innenohr besteht aus dem häutigen Labyrinth, das innerhalb der Felsenbeinpyramide in eine Knochenhöhle, das sogenannte knöcherne Labyrinth eingebettet ist. Man unterscheidet dabei zwei separate Organe: Das Vestibularorgan, das für den Gleichgewichtssystem verantwortlich ist und die Cochlea (Schnecke) die grundlegend für den Hörsinn ist.
Gelangen die Schallwellen nun über die Gehörknöchelchen und das ovale Fenster in Innenohr, werden dort durch die Schwingungen die Sinneszellen des Ohres, die Haarzellen, erregt. Mit diesen Zellen ist unser Hörnerv verbunden, über den die Erregungen schließlich an unser Hörzentrum weitergeleitet werden, wodurch dann Töne bzw. Geräusche bewusst wahrgenommen werden.
Gleichzeitig finden sich im Innenohr auch die drei Bogengänge und die zwei Makulaorgane, die für unseren Gleichgewichtssinn verantwortlich sind. Sie sind mit einer Flüssigkeit, der Endolymphem, gefüllt, wobei spezielle Sinneszellen die jeweilige Lage bzw. Beschleunigung dieser Flüssigkeit in den Vestibularorganen detektieren können.
Über einen speziellen Ast des Hörnervs werden die Erregungen dieser Zellen dann wiederum ins Gehirn weitergeleitet. Dort werden diese Informationen schließlich zusammen mit weiteren Sinneseindrücken aus dem visuellen und somatosensorischen System verarbeitet, sodass ein Eindruck der Lage unseres Körpers im Raum entsteht.
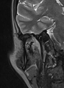
MRT Ohr
Wenn eine Beurteilung der Anatomie des Ohres mithilfe einer MRT-Untersuchung erfolgen soll, dann handelt es sich hierbei um eine MRT Kopf Untersuchung.
Hier können Sie alle wichtigen Informationen zur MRT Kopf Untersuchung durchlesen: MRT Kopf

Schwindel oder Hörstörungen: Typische Erkrankungen des Ohres
Typische Hinweise auf eine Erkrankung des Ohres sind Symptome wie Schwindel, Hörverlust oder Hörstörungen und Phantomgeräusche wie Ohrensausen, der sogenannte Tinnitus. Die Hörstörungen kann man prinzipiell in zwei Gruppen unterscheiden: Die Schallleitungsschwerhörigkeit und die Schallempfindungsschwerhörigkeit.
Bei der Schallleitungsschwerhörigkeit gelangen die Schallwellen nur noch in abgeschwächter Form oder gar nicht mehr ins Innenohr. Ursächlich sind hierfür meist ein verstopfter Gehörgang oder Fehlbildungen, aber auch eine Entzündung im Mittelohr oder eine Perforation des Trommelfells sowie Verkalkungen können eine Schallleitungsschwerhörigkeit hervorrufen.
Bei der Schallempfindungsschwerhörigkeit hingegen führt eine Störung im Bereich der Cochlea oder der nachgeschalteten Strukturen (bspw. Hörnerv oder Hörrinde) zu einem gestörten Empfang des Schallsignals. Ursächlich hierfür können Funktionsstörungen der Haarzellen beispielsweise bei einem Hörsturz, aber auch des Hörnervs selbst, beispielsweise durch ein Akustikusneurinom – einen gutartigen Tumor – oder durch eine Verletzung des Nervs, sein.
Darüber hinaus können Störungen des Gleichgewichtsorgans, wie beispielsweise Morbus Meniere, aber auch Läsionen des Hörnervs bzw. der zentral verarbeitenden Strukturen im Gehirn, Schwindel hervorrufen. Im Falle solcher Störungen stimmen meist die Informationen aus dem Gleichgewichtsorgan nicht mehr mit den visuellen Wahrnehmungen überein, sodass diese Differenz als Schwindel wahrgenommen wird.

Was sieht man bei einer MRT Ohr?
Der große Vorteil der MRT liegt neben ihrer hohen Präzision im exzellenten Weichteilkontrast. Daher ist sie insbesondere bei der Beurteilung von Tumoren, Entzündungen und Nekrosen des Knochens und der Weichteile den übrigen bildgebenden Verfahren häufig deutlich überlegen. Selbst kleinste, sonst nicht sichtbare Veränderungen können oftmals per MRT sichtbar gemacht werden.
MRT des Ohres Ablauf
Es handelt sich hierbei um eine MRT Kopf Untersuchung.
Mehr zum Ablauf und der Dauer einer MRT Kopf Untersuchung lesen Sie hier: MRT Kopf
Wichtig ist, wie bei jeder anderen MRT-Untersuchung, dass jeglicher Schmuck entfernt werden muss.
Sollten Sie Träger*in eines Cochlea-Implantates sein, ist eine MRT-Untersuchung nicht möglich.

