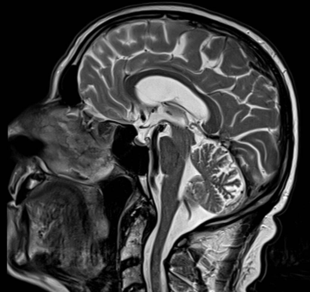
Eine Magnetresonanztomographie des Kopfes, kurz die MRT Kopf genannt, ist ein medizinisch bildgebendes Verfahren. Die MRT Kopf Untersuchung stellt mit Hilfe von Magnetfeldern und Radiowellen insbesondere unser Gehirn, Ohr, Nase und Nasennebenhöhlen, Augen, Kiefer, sowie genaue Strukturen detailliert dar. Vor allem bei diffusen oder langanhaltenden Kopfschmerzen kann eine MRT aufschlussreich sein. Vor allem ermöglicht eine Kopf MRT Einblicke in verschiedene neurologische Erkrankungen.
Wann ist eine MRT Kopf notwendig?
Durch die Untersuchung mittels Kernspintomographie bzw. Magnetresonanztomographie (MRT) sind detaillierte Aufnahmen des Kopfinneren möglich. Dies unterstützt eine präzise Diagnostik und ermöglicht ein individuelles Therapieverfahren. Oftmals suchen uns Patienten mit langanhaltenden Kopfschmerzen, Schwindel und/oder Sehstörungen auf. Unter anderem aus diesen Gründen möchte man bei Patienten bestimmte Verdachtsdiagnosen feststellen oder ausschließen.
Folgende medizinische Gründe können bei einer MRT Kopf Untersuchung geklärt werden:
- Kopfschmerzen, Schwindel, Sehstörung
- Raumforderung, Tumor
- Akustikusneurinom, Prolaktinom, Hypophysenadenom
- Parkinson, Demenz, Multiple Sklerose
- Schlaganfall, Insult / TIA
- Traumafolgen, Verdacht auf Sinusitis
Die MRT Kopf, sowie alle weiteren MRT-Untersuchungen haben prinzipiell keine Nebenwirkungen und sind vollständig schmerzfrei.
Es bestehen jedoch Gründe, weshalb eine MRT-Untersuchung nicht in Frage kommt. Dies sollten Sie im Vorhinein mit Ihrem behandelnden Arzt oder Ärztin abklären.

Folgende Kontraindikationen können der Grund sein, weshalb eine MRT- Untersuchung nicht möglich ist:
- Herzschrittmacher und Defibrillatoren, die nicht MR geeignet sind
- Cochlea-Implantat und Neurostimulatoren
- Ferromagnetische Metallclips
- Metallsplitter in kritischer Lokalisation
- Implantate, die in den letzten 6 Wochen implantiert wurden, wie Stents, Prothesen oder ähnliches
- Schwangerschaft, besonders im ersten Trimester
Eine vorherige Abklärung ist unbedingt notwendig. Bitte bringen Sie Ihren Implantatausweis /Herstellerinformationen zu Ihrem MRT-Termin mit.
MRT Kopf – was sieht man?
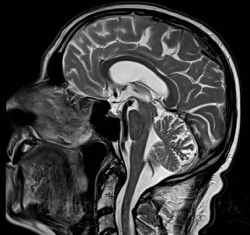
Eine Kopf MRT liefert Ärzte und Radiologen detaillierte Bilder. Zu sehen sind das Gehirn, Schädelknochen, Blutgefäße und anderer umgebende Gewebe im Kopfbereich.
Die Untersuchung ist äußerst nützlich bei der Diagnose verschiedener Erkrankungen, einschließlich:
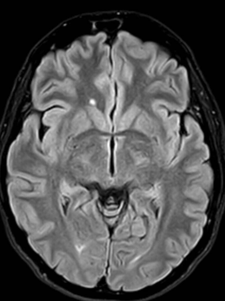
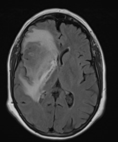
- Tumore und Zysten: Die MRT Kopf kann sowohl gutartige als auch bösartige Tumore im Gehirn erkennen. Sie kann auch bei der Identifizierung von Zysten und anderen strukturellen Anomalien helfen.
- Schlaganfälle und Blutungen: Auf den MRT-Bildern vom Kopf sind frische Schlaganfälle, Hirnblutungen und andere vaskuläre Probleme im Gehirn zu erkennen.
- Entzündungen und Infektionen: Entzündliche Zustände im Gehirn, wie Enzephalitis oder Abszesse, können durch die MRT Kopf Untersuchung identifiziert werden.
- Degenerative Erkrankungen: Die Kopf MRT kann bei der Diagnose degenerativer Erkrankungen wie Alzheimer oder Multipler Sklerose (Link) helfen, indem sie Veränderungen im Gehirngewebe zeigt.










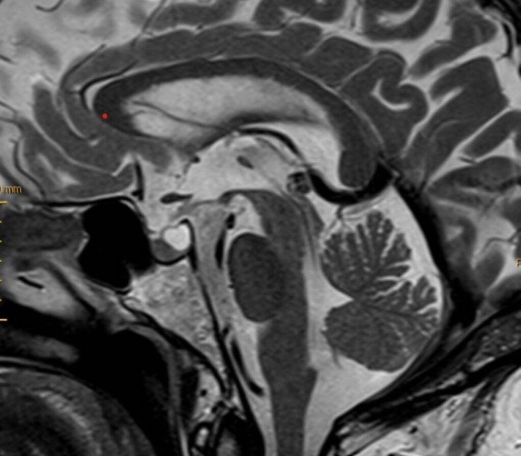
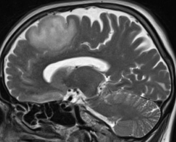
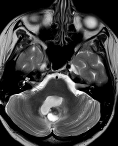
Hirntumor in der MRT





MRT Kopf ohne Kontrastmittel
Eine MRT Kopf ohne Kontrastmittel wird unter anderem in Betracht gezogen:
- Wenn die MRT vom Kopf zur routinemäßigen Überwachung oder zur allgemeinen Beurteilung des Gehirns durchgeführt wird und keine spezifischen Verdachtsmomente für Tumoren, Gefäßanomalien oder andere Pathologien vorliegen.
- Wenn Patienten Kontraindikationen gegen die Verwendung von Kontrastmitteln haben, wie beispielsweise schwere Nierenfunktionsstörungen oder eine bekannte Allergie gegen das verwendete Kontrastmittel.
- Bei Kindern wird versucht, die Verwendung von Kontrastmitteln auf das absolute Minimum zu beschränken, es sei denn, es ist unbedingt erforderlich.
Die Entscheidung kein Kontrastmittel zu verwenden, ist abhängig von der individuellen Fragestellung und der Verdachtsdiagnose. Ihr behandelnder Arzt oder Ihre Ärztin wird Sie diesbezüglich eingehend aufklären. Die MRT Kopf ohne Kontrastmittel hat keine bekannten Nebenwirkungen.
MRT Kopf mit Kontrastmittel
Eine MRT Kopf mit Kontrastmittel wird potenziell für die folgenden Fälle in Betracht gezogen:
- Um Bereiche mit unzureichender Durchblutung, Gefäßverschlüsse oder Ischämie besser zu erkennen und zu bewerten.
- Zur besseren Unterscheidung zwischen Tumorgewebe und umgebendem gesundem Gewebe sowie zur Identifizierung von Tumorläsionen, die durch Kontrastmittel verstärkt werden.
- Um Anomalien wie Aneurysmen, Gefäßverengungen oder arteriovenöse Malformationen genauer zu visualisieren und zu bewerten.
- Zur Untersuchung von entzündlichen Prozessen oder Infektionen im Gehirn, wobei das Kontrastmittel dabei helfen kann, entzündliche Areale oder Infektionsherde zu markieren.
Kontrastmittelgabe kann mit Nebenwirkungen verbunden sein.
Informieren Sie Ihren behandelnden Arzt oder Ärztin über alle Medikamente, die Sie einnehmen, einschließlich verschreibungspflichtiger und rezeptfreier Arzneimittel sowie Nahrungsergänzungsmittel. Es ist besonders wichtig, etwaige bekannte Allergien gegen Kontrastmittel an Ihren Arzt oder Ärztin, sowie bei uns anzugeben.
Die Entscheidung für eine Kontrastmittelgabe liegt bei Ihrem behandelnden Arzt oder Ihrer Ärztin. Dies ist abhängig von der medizinischen Fragestellung. Bei Kontrastmittelgabe werden Sie von Ihrem Arzt oder Ihrer Ärztin detailliert aufgeklärt.
Zusätzlich muss vor Ihrer MRT-Untersuchung der Blutwert Kreatinin vorliegen. Dieser gibt Hinweise auf Ihre Nierenfunktion. Das ist besonders wichtig, da Kontrastmittel über die Nieren im Körper verarbeitet wird.
Unser ausgebildetes medizinisches Personal wird Sie ebenfalls zur Kontrastmittelgabe aufklären und die Kontrastmittelgabe über einen Venenzugang durchführen. Unser geschultes Personal bei Beyond Imaging wird Sie während der gesamten MRT-Untersuchung beobachten und Ihre Vitalzeichen kontrollieren. Bei Unwohlsein können Sie dies jederzeit über eine Notfallklingel bzw. Notfallball äußern.
Das Kontrastmittel wird nach der MRT Kopf über den Urin ausgeschieden und verweilt nicht lange im Körper.
Wie bereite ich mich auf ein Kopf MRT vor?
- Informieren Sie sich über die MRT Kopf Untersuchung.
- Klären Sie erste Fragen bei Ihrem behandelnden Arzt oder Ihrer Ärztin.
- Wenn sie gesetzlich versichert sind, denken Sie bitte an Ihren Überweisungsschein.
- Bringen Sie bei geplanter Kontrastmittelgabe Ihre Blutwerte zum gebuchten MRT-Termin mit.
- Ebenfalls hilfreich, wenn vorhanden, sind Medikamentenplan, Implantatausweis oder ähnliches.
- Sprechen Sie uns gerne bei Fragen und bei Sorgen oder Ängsten an, es ist unser Ziel, dass Sie sich wohl und sicher fühlen.
- Tragen Sie, wenn möglich, metallfreie Kleidung.
- Bei Unsicherheiten oder Angst können Sie eine Begleitperson mitbringen.
Ablauf MRT Kopf Untersuchung
Es ist wichtig den Ablauf der MRT Kopf Untersuchung zu kennen, da dies erste Fragen und Sorgen klären kann. Insbesondere ist es für Personen mit Angst oder Klaustrophobie hilfreich zu wissen, was auf sie zukommt.

Oftmals fragt man sich zusätzlich, wie weit man in die Röhre gefahren wird. Bei einer MRT Kopf werden Sie liegend mit dem Kopf voran in der Röhre positioniert. Unsere MRT-Geräte bieten einen überdurchschnittlichen Röhrendurchmesser von 70cm. Im Vergleich zu herkömmlichen MRT-Geräten, die einen Durchmesser von 60cm haben, sind unsere Röhren groß und erlauben mehr Platz für Patienten.
Hier erfahren Sie mehr zu Angst vor einer MRT-Untersuchung
Vor der Untersuchung
- Aufklärungsgespräch zu Beginn (Ablauf, Untersuchung, Nebenwirkungen)
- Ablegen von metallischer Gegenstände und bei Bedarf von Kleidung
Vorbereitung für die MRT Kopf Untersuchung
- Abklärung hinsichtlich metallischer Gegenstände
- bei geplanter Kontrastmittelgabe Venenzugang
- Untersuchung findet auf einer fahrbaren Liege statt
- Kopfhörer zur Dämpfung der Klopfgeräusche und zum Abspielen von gewünschter Musik zur Entspannung
- Aufklärung zu Notfallklingel/-ball bei Bedarf (Anwendung bei Unwohlsein oder Angst)
- Rückzug des Personals aus dem Untersuchungsraum
Während der Untersuchung
- Bewegung der fahrbaren Liege während des Scans
- Notfallklingel bei Bedarf (Kommunikation über Lautsprecher)
- dauerhafte Überwachung der Patienten durch das Personal (von außerhalb durch Fenster und Kameras)
Ende der Untersuchung
- Herausfahren der fahrbaren Liege durch unser medizinisches Personal
- Anwesenheit und Unterstützung des Personals bei Fragen oder ähnlichem
- Patient*in zieht abgelegte Gegenstände und Kleidung wieder an
Nach der Untersuchung
- Über den Erhalt Ihrer MRT Bilder erhalten Sie gesonderte Informationen in Ihrem Diagnostikzentrum
- Für den Befund ist Ihr behandelnder Arzt oder Ärztin zuständig, diesen erhalten Sie nicht von uns
Was kann man bei einer MRT Kopf bei Beyond Imaging erwarten?
Uns ist es ein Anliegen, dass Sie sich von Anfang bis Ende gut betreut fühlen und sich in unseren Diagnostikzentren wohlfühlen. Wir möchten Ihnen ein zuverlässiger Partner in Sachen Radiologie sein, der sich ganz auf Ihr Wohlbefinden fokussiert.
Das können Sie bei uns erwarten:
- medizinische Bildgebung mit hochwertigen MRT-Bildern, durch moderne Technologie
- herzliche und patientenorientierte Wohlfühlatmosphäre
- dank unserer 16 Diagnostikzentren in Deutschland und einem Standort in der Schweiz sind wir stets in Ihrer Nähe und leicht erreichbar
- eine möglichst unkomplizierte Terminvereinbarung in nur 4 Schritten
Bei Beyond Imaging stehen Sie als Patient*in im Mittelpunkt. Unser erfahrenes Team aus medizinischen Profis kümmert sich einfühlsam um Ihre Bedürfnisse. Vertrauen Sie Beyond Imaging für eine präzise Diagnostik und eine individuelle medizinische Betreuung, die Ihre Gesundheit und Ihr Wohlbefinden stets im Blick hat.
Wir sind hier, um Ihnen den bestmöglichen Service zu bieten.
Dauer und Kosten einer MRT Kopf
Die Dauer einer MRT vom Kopf liegt bei ungefähr 20-40 Minuten reiner Untersuchungszeit. Bitte beachten Sie, dass Vor- und Nachbereitung ebenfalls Zeit in Anspruch nehmen. Die Gesamtdauer ist abhängig von Medikamenten-, oder Kontrastmittelgabe, sowie anderen Faktoren, wie dem untersuchenden Kopfbereich und der medizinischen Fragestellung.
Die Kosten einer Kopf MRT werden bei gesetzlich versicherten Patienten von der jeweiligen gesetzlichen Krankenkasse übernommen, wenn ein Überweisungsschein vorliegt.
Privatversicherte und Selbstzahler müssen beachten, dass je nach Untersuchungsbereich und -dauer, sowie bei Medikamenten-, oder Kontrastmittelgabe, die Kosten variieren.
MRT Kopf Termin
Bei uns können Sie bequem und flexibel einen Termin für eine MRT Kopf Untersuchung vereinbaren, egal ob Sie in Berlin (Mitte oder Charlottenburg), Bremen, Dortmund, Düsseldorf, Frankfurt am Main, Hamburg, Hannover, Köln, Leipzig, Mainz, Mönchengladbach, München, Nürnberg oder sogar Stuttgart ansässig sind.
Wir bieten unseren Patienten eine breite Auswahl an Standorten, um höchsten Komfort und Zugänglichkeit zu gewährleisten. Darüber hinaus akzeptieren wir eine Vielzahl von Versicherungsarten, einschließlich gesetzlicher Krankenversicherung, privater Versicherungen, Berufsgenossenschaften sowie Selbstzahler, um sicherzustellen, dass jeder die notwendige medizinische Versorgung ohne Verzögerung erhalten kann.
Sichern Sie sich noch heute Ihren Online MRT Kopf Termin und profitieren Sie von unserer erstklassigen diagnostischen Expertise.
Wir freuen uns darauf, Sie in unserem Diagnostikzentrum willkommen zu heißen!
Was ist der Unterschied zwischen MRT Kopf, MRT Schädel und MRT Gehirn?
„MRT Kopf“ bezieht sich allgemein auf die Untersuchung des gesamten Kopfbereichs, einschließlich Gehirn, Schädel und umliegender Strukturen. „MRT Schädel“ sowie „MRT Gehirn“ beziehen sich auf dieselbe Untersuchung. Unterschieden wird im untersuchenden Bereich: Gehirn, Schädelknochen, Nase und Nasennebenhöhlen, Ohr oder Kiefer.
Welche Bedingungen können mit MRT Schädel diagnostiziert werden?
Eine MRT des Schädels wird verwendet, um Knochenanomalien, Frakturen, Entzündungen und bestimmte Krebserkrankungen zu diagnostizieren. Es ist besonders nützlich für die Untersuchung von Schädelknochen und deren Strukturen.
Wie bereite ich mich auf eine MRT Gehirn Untersuchung vor?
Für eine MRT des Gehirns sollten Sie metallische Gegenstände an Ihrer Kleidung vermeiden. Falls Implantate vorhanden sind, ist es wichtig im Voraus zu klären, ob diese MR geeignet sind. Bitte denken Sie daran, dass Schmuck, sowie Piercings vollständig abgelegt werden muss.
Wie lange dauert eine MRT Kopf?
Die reine Untersuchungszeit beträgt bei einer MRT Kopf 20-40 Minuten. Die Dauer ist von verschiedenen Faktoren abhängig. Für die Vor- und Nachbereitung sollten Sie zusätzlich Zeit einplanen.




