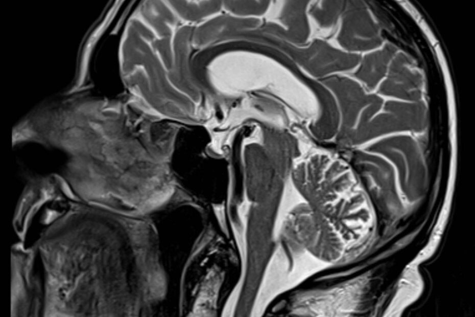
Eine Magnetresonanztomographie des Kopfes, kurz die MRT Kopf genannt, ist ein medizinisch bildgebendes Verfahren. Die MRT Kopf Untersuchung stellt mit Hilfe von Magnetfeldern und Radiowellen insbesondere unser Gehirn, Ohr, Nase und Nasennebenhöhlen, Augen, Kiefer, sowie genaue Strukturen detailliert dar. Vor allem bei diffusen oder langanhaltenden Kopfschmerzen kann eine MRT aufschlussreich sein. Vor allem ermöglicht eine … MRT Kopf weiterlesen
Füge diese URL in deine WordPress-Website ein, um sie einzubetten
Füge diesen Code in deine Website ein, um ihn einzubinden