Die etwa 600 Lymphknoten des Körpers sind im ganzen Körper verteilt, aber nur an bestimmten Stellen, z. B. unter den Armen, zu spüren. Geschwollene Lymphknoten sind eine natürliche Reaktion des Körpers auf eine Krankheit oder Infektion, meist eine Infektion der Atemwege. In der Regel erreichen die Lymphknoten nach etwa zwei Wochen wieder ihre normale Größe.
Lymphknoten, die ein wichtiger Bestandteil des Immunsystems sind, können auch unter dem Kiefer, hinter den Ohren, im Nacken und in der Leistengegend ertastet werden. Lymphadenopathie ist die medizinische Bezeichnung für die Vergrößerung eines oder mehrerer Lymphknoten, also geschwollene Lymphknoten.

Das Wichtigste auf einem Blick:
| Mögliche Ursachen | – Infektionen (z.B. Erkältungen, Grippe, bakterielle Infektionen) – Autoimmunerkrankungen (z.B. Rheumatoide Arthritis, Lupus) – Krebs (z.B. Lymphome, Leukämie, Metastasen) – Medikamentenreaktionen |
| Symptome und Anzeichen | – Schmerzlose oder schmerzhafte Schwellung – Vergrößerte, feste oder weiche Knoten – Begleitende Symptome: Fieber, Nachtschweiß, Gewichtsverlust |
| Wann einen Arzt aufsuchen? | – Schwellung dauert länger an – Lymphknoten sind hart und unbeweglich – Begleitende schwerwiegende Symptome (z.B. anhaltendes Fieber, starker Gewichtsverlust) |
| Diagnoseverfahren | – Körperliche Untersuchung – Blutuntersuchungen – Bildgebende Verfahren (Ultraschall und MRT, CT) – Biopsie (Entnahme und Analyse von Gewebeproben) |
| Behandlung | – sehr individuell – Antibiotika oder antivirale Medikamente bei Infektionen – Behandlung der Grunderkrankung bei Autoimmunerkrankungen – Onkologische Therapien bei Krebs – Symptomatische Behandlung (z.B. Schmerzmittel, entzündungshemmende Medikamente) |
Was sind Lymphknoten?
Als feste, kleine, ovale Strukturen sind die Lymphknoten ein wesentlicher Bestandteil des Immunsystems. Sie sind die erste Verteidigungslinie gegen Bakterien und Viren, sind durch Lymphgefäße verbunden und filtern Substanzen aus der Lymphflüssigkeit, die Proteine, Mineralien, Fette, weiße Blutkörperchen, Krebszellen usw. enthält. (1)
Zusammen mit den Lymphgefäßen und der Lymphe bilden die Lymphknoten das lymphatische System, das wiederum Teil des Immunsystems ist. Die Lymphflüssigkeit wird von den Lymphgefäßen transportiert und durchläuft die Lymphknoten, während die Lymphozyten vor schädlichen Substanzen schützen.
Die Lymphknoten reinigen die Lymphe und befreien sie von krankmachenden Abfallprodukten (wie schädlichen Keimen und Abfallstoffen) und halten die gesunden Bestandteile der Lymphflüssigkeit zurück. Nach der Filtration wird es in den Blutkreislauf zurückgeführt. (2)
Wie sehen geschwollene Lymphknoten aus?
Geschwollene Lymphknoten fühlen sich wie harte Beulen von der Größe einer Erbse oder einer Traube an. Ein Lymphknoten gilt als abnormal, wenn er einen Durchmesser von mehr als 1 Zentimeter hat. Wenn sie geschwollen sind, fühlen sie sich größer als normal an und können sogar schmerzhaft sein. Das kann sogar bei einer Erkältung passieren, denn geschwollene Lymphknoten sind eine Reaktion des Körpers auf Viren und Bakterien. Es gibt jedoch auch Fälle, in denen bestimmte Krebsarten tatsächlich die Ursache für entzündete Lymphknoten sind.
Bei Berührung sind geschwollene Lymphknoten recht leicht zu erkennen. Sie sind in der Regel auf beiden Seiten des Körpers vorhanden und können durch Vergleich der beiden Bereiche überprüft werden. In manchen Fällen können geschwollene Lymphknoten bei plötzlichen Bewegungen oder beim Kauen härterer Speisen schmerzhaft sein und von anderen Symptomen wie Husten oder grippeähnlichen Beschwerden begleitet werden. Eine Entzündung dieser Lymphknoten oder Lymphadenopathie ist eigentlich ein Symptom für eine im Körper vorhandene Krankheit oder Infektion.

Ursachen einseitig geschwollener Lymphknoten am Hals
Einseitige Lymphknotenschwellungen am Hals können verschiedene Ursachen haben:
- Infektionen: Lokale Infektionen wie Mandelentzündungen, Zahnwurzelentzündungen oder Hautinfektionen können zu einer einseitigen Schwellung führen.
- Katzenkratzkrankheit: Eine durch Katzen übertragene bakterielle Infektion, die zu einer einseitigen Schwellung führen kann.
- Tuberkulose: Eine bakterielle Infektion, die sich durch langsam zunehmende, schmerzlose Schwellungen äußern kann.
- Lymphome: Krebserkrankungen des lymphatischen Systems, die sich durch schmerzlose, feste Schwellungen bemerkbar machen können.
Was tun bei geschwollenen Lymphknoten am Hals?
Bei geschwollenen Lymphknoten können folgende Maßnahmen helfen:
- Wärmebehandlung: Das Warmhalten des Halses kann die Durchblutung fördern und Schmerzen lindern.
- Hausmittel:
- Kamille: Entzündungshemmend, als Tee oder Gurgellösung verwendbar.
- Salbei: Antibakteriell, besonders bei Rachenentzündungen hilfreich.
- Zwiebeln und Knoblauch: Können entzündungshemmend wirken und die Schwellung reduzieren.
- Schonung: Ausreichend Ruhe und Flüssigkeitszufuhr unterstützen das Immunsystem.
Wann sollte ein Arzt aufgesucht werden?
- die Schwellung länger als zwei Wochen anhält.
- die Lymphknoten hart, unbeweglich oder schmerzlos sind.
- zusätzliche Symptome wie Fieber, Nachtschweiß oder Gewichtsverlust auftreten.
Diagnostische Verfahren bei geschwollenen Lymphknoten
Zur Abklärung der Ursache können folgende Untersuchungen durchgeführt werden:
- Körperliche Untersuchung: Abtasten der Lymphknoten auf Größe, Konsistenz und Schmerzempfindlichkeit.
- Blutuntersuchungen: Zur Feststellung von Entzündungswerten oder spezifischen Infektionen.
- Bildgebende Verfahren: Ultraschall, MRT oder CT zur genaueren Beurteilung der Lymphknoten.
- Biopsie: Entnahme einer Gewebeprobe zur histologischen Untersuchung.
Das Lymphsystem – wieso schwellen Lymphknoten an?
Das Lymphsystem ist ein wichtiger Bestandteil des Immunsystems, das aus einem Netzwerk von Lymphgefäßen, Lymphknoten und lymphatischen Organen wie der Milz und den Mandeln besteht. Es transportiert Lymphflüssigkeit, die überschüssige Gewebeflüssigkeit, Abfallstoffe und Immunzellen enthält, durch den Körper. Die Lymphknoten fungieren dabei als Filterstationen, die Krankheitserreger wie Bakterien und Viren abfangen und unschädlich machen. Das Lymphsystem hilft somit, Infektionen zu bekämpfen und den Körper gesund zu halten.

Lymphknotenschwellungen entstehen, wenn das Immunsystem auf Infektionen, Entzündungen oder andere gesundheitliche Probleme reagiert. Bei einer Infektion sammeln sich Immunzellen in den Lymphknoten, um die eingedrungenen Erreger zu bekämpfen, was zu einer Vergrößerung und Schwellung der Knoten führt. Diese Schwellungen können auch durch Autoimmunerkrankungen oder seltener durch Krebserkrankungen verursacht werden, wenn die Lymphknoten auf abnorme Zellen oder andere Störungen im Körper reagieren.
Geschwollene Lymphknoten am Hals
Im Rachen schwellen die Lymphknoten an, wenn eine Infektion in diesem Bereich auftritt. Meistens ist die Ursache eine Infektion der oberen Atemwege, was bedeutet, dass die Lymphknoten, die im Hals zu spüren sind, auch bei einer Erkältung anschwellen. In der Regel bilden sie sich innerhalb von 10-14 Tagen zurück, und mit dem Abklingen der Infektion geht auch die Schwellung zurück. (3)
Geschwollene Lymphknoten Hals: einseitig Erfahrungen
Die Schwellung der Lymphknoten auf einer Seite des Halses ist leicht zu erkennen, da die entzündeten Knötchen ertastet werden können. Sie ist die Folge einer Infektion, da sich die Lymphknoten vergrößern, wenn sie sich mit Entzündungszellen füllen.
Im Allgemeinen ist eine einseitige zervikale Lymphadenopathie mit bakteriellen Infektionen verbunden. In 40-80 % der Fälle wird die akute Form durch eine Streptokokken- oder Staphylokokkeninfektion verursacht. (4)
Geschwollene Lymphknoten Achsel
Die Achselhöhle ist ein weiterer Bereich, in dem sich die Lymphknoten entzünden können, was in der Medizin als axilläre Adenopathie oder axilläre Lymphadenopathie bezeichnet wird. Wie in anderen Fällen von Lymphknotenentzündung bedeutet dies, dass der Körper auf eine Infektion, Verletzung oder Krankheit reagiert.
Es ist selten, dass geschwollene Lymphknoten in der Achselhöhle tatsächlich ein Zeichen von Krebs sind. Die Ursachen sind in der Regel eine Virusinfektion, eine bakterielle Infektion oder eine Störung des Immunsystems. Wenn die Infektion behandelt wird und abklingt, geht auch die Schwellung der Lymphknoten in der Achselhöhle zurück.
Geschwollene Lymphknoten an der Leiste
Geschwollene Lymphknoten in der Leistengegend können aufgrund einer Verletzung oder Infektion im Fuß auftreten. Dabei kann es sich unter anderem um Fußpilz, Genitalherpes, Gonorrhöe, Blasenentzündung oder Syphilis handeln. Die Lymphknoten können sich schmerzhaft anfühlen und von einer Rötung der Haut begleitet sein.
Um die genaue Ursache der geschwollenen Lymphknoten in der Leistengegend festzustellen, kann der Arzt bestimmte Untersuchungen verlangen (z. B. einen Urintest oder eine Biopsie bei Krebsverdacht) und benötigt Informationen über Ihre medizinische und sexuelle Vorgeschichte.
Geschwollene Lymphknoten nach Corona
Jüngsten Forschungsergebnissen zufolge können geschwollene Lymphknoten bei einer COVID-19-Infektion sowie als Nebenwirkung des Coronavirus-Impfstoffs auftreten. (5) Bei Menschen, bei denen diese Atemwegserkrankung diagnostiziert wird, treten verschiedene Symptome auf, wobei Husten, Fieber und Kurzatmigkeit die häufigsten sind. Einige Patienten haben jedoch über geschwollene Halsknoten während einer COVID-19-Infektion berichtet.
Andererseits sind geschwollene Lymphknoten eine Nebenwirkung der Impfung gegen das Coronavirus, aber kein Grund zur Sorge. Dies ist eine normale Reaktion des Körpers auf fremde Substanzen, und die Immunreaktion des Körpers kann zu einer Schwellung der Lymphknoten führen.
Geschwollene Lymphknoten Ohr
Die Rückseite des Ohrs ist ein weiterer Bereich, in dem Lymphknoten ertastet werden können, insbesondere wenn sie geschwollen sind. Sie sind in der Regel schmerzlos und treten im Zusammenhang mit einer bakteriellen, viralen oder Pilzinfektion auf. Die Ursache kann eine allergische Reaktion oder eine Krebsart wie ein Lymphom oder eine Leukämie sein. Das Problem befindet sich also in der Nähe der betroffenen Lymphknoten.
Lymphknoten in der MRT
Lymphknoten sind auf einer MRT (Magnetresonanztomographie) sichtbar, weil sie als Teil des Lymphsystems spezifische Gewebeeigenschaften besitzen, die sich von umliegenden Strukturen unterscheiden. Die MRT nutzt ein starkes Magnetfeld und Radiowellen, um detaillierte Bilder des Körpergewebes zu erzeugen. Dabei macht sich die MRT vor allem Unterschiede in der Wasserstoffkonzentration und den physikalischen Eigenschaften des Gewebes zunutze.
Lymphknoten bestehen aus lymphatischem Gewebe, das eine höhere Dichte an Zellen und Flüssigkeit aufweist als umliegende Strukturen wie Fettgewebe. Diese Unterschiede in der Gewebszusammensetzung führen dazu, dass Lymphknoten je nach verwendeter MRT-Sequenz anders erscheinen als das umliegende Gewebe. Es gibt verschiedene Sequenzen in der MRT, die unterschiedliche Gewebetypen besser hervorheben können.
Zusätzlich können veränderte oder vergrößerte Lymphknoten, die auf Infektionen, Entzündungen oder Tumore hinweisen, noch deutlicher sichtbar sein. In solchen Fällen verändern sich die Eigenschaften der Lymphknoten und sie heben sich noch stärker von gesunden Strukturen ab, was sie auf den MRT-Bildern leichter erkennbar macht.
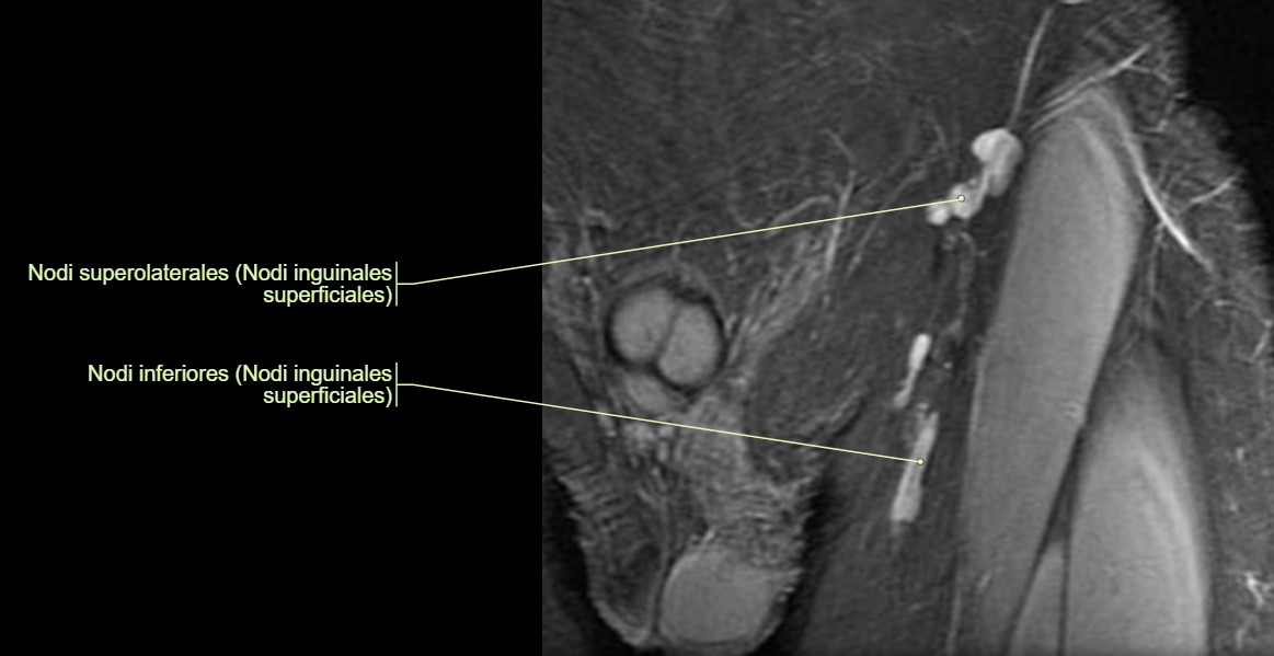
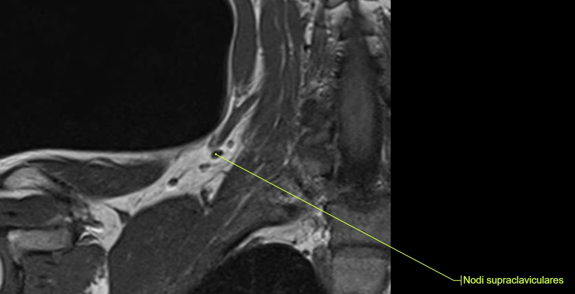
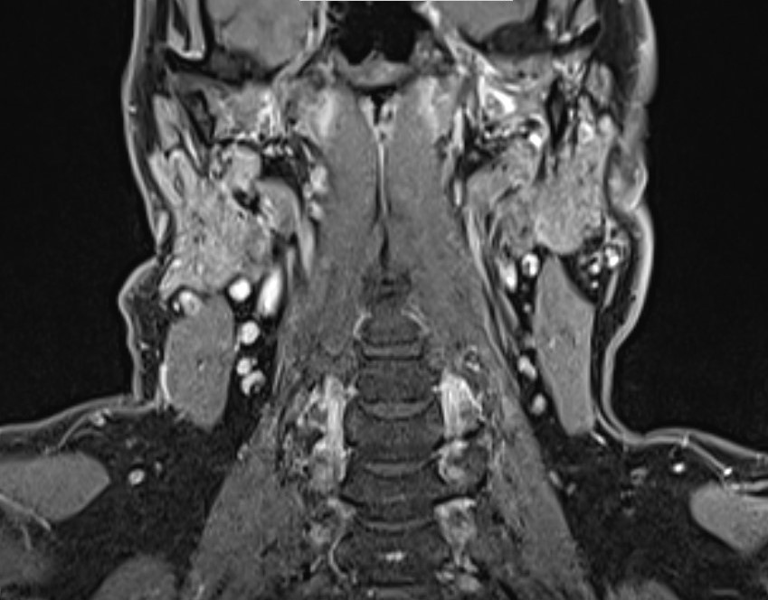
MRT-Bilder mit Anatomie von Lymphknoten im Becken, Lymphknoten im Halsbereich, sowie einem Lymphknoten im Bereich des Schlüsselbeins:



Was tun gegen geschwollene Lymphknoten
Meistens treten geschwollene Lymphknoten auf, wenn der Körper eine Krankheit bekämpft, z. B. eine Infektion, und die Entzündung bildet sich innerhalb weniger Wochen zurück. Wenn mehr als 3 Wochen vergangen sind und die Lymphknoten immer noch geschwollen sind oder wenn die Entzündung von Symptomen wie Nachtschweiß und Fieber begleitet wird, sollten die Betroffenen einen Arzt aufsuchen.
Um die durch geschwollene Lymphknoten verursachten Schmerzen zu lindern, kann man warme, feuchte Kompressen auf die betroffene Stelle legen. Ruhe und Flüssigkeitszufuhr sind sehr wichtig für die Behandlung des Problems, das die Ursache der geschwollenen Lymphknoten ist. Bestimmte rezeptfreie Medikamente, wie Ibuprofen, können zur Schmerzlinderung hilfreich sein.
