Viele Menschen fragen sich: Wie macht sich eine Fettleber bemerkbar? Eine Fettlebererkrankung ist eine Erkrankung, bei der sich Fett in der Leber ansammelt. Es kann sich dabei entweder um eine nichtalkoholische Fettlebererkrankung oder eine alkoholische Fettlebererkrankung, auch alkoholische Steatohepatitis genannt, handeln.
In Deutschland leiden etwa 18 Millionen Menschen an einer nichtalkoholischen Fettleber, und auch in Europa und den USA ist sie die häufigste Ursache für chronische Lebererkrankungen. (1) Deshalb müssen sich die Menschen über die Art und Weise, wie sich diese Krankheit manifestiert, und über den wirksamsten Behandlungsplan, den sie bekommen können, informieren.

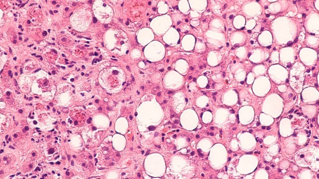
Die Leber ist ein lebenswichtiges Organ, dessen Gesundheit für das Wohlbefinden des Menschen sehr wichtig ist. Sie ist auch die größte Drüse im Körper. Zu den wichtigsten Funktionen der Leber gehören die Produktion von schneller Energie und die Bekämpfung von Infektionen. Die Fettleber wird auch als hepatische Steatose bezeichnet und kann in manchen Fällen zu einem ernsten Gesundheitsproblem werden.
Was passiert, wenn man eine Fettleber hat?
Eine Fettlebererkrankung ist eine häufige Erkrankung, die in der Regel die normale Funktion der Leber nicht beeinträchtigt. Es gibt jedoch einige Fälle, in denen eine Fettleber zu gefährlicheren Zuständen führen kann, wenn sie unbehandelt bleibt. Zu viel Fett in der Leber kann zu Entzündungen führen. In einigen Fällen kann eine Fettleber sogar zu einer Leberzirrhose führen.

Ursachen für eine Fettleber
Die alkoholbedingte Fettlebererkrankung wird, wie der Name schon sagt, durch übermäßigen Alkoholkonsum über längere Zeiträume hinweg verursacht. Viele Menschen haben jedoch eine nicht-alkoholische Fettlebererkrankung. Menschen können diese Krankheit auch ohne Vorerkrankungen entwickeln, aber es gibt bestimmte Faktoren, die sie einem Risiko aussetzen. Menschen, die übergewichtig sind, vor allem im Bauchbereich, haben ein höheres Risiko, eine Fettleber zu entwickeln. Das Gleiche gilt für Menschen mit hohem Blutdruck, hohem Cholesterinspiegel, hohen Triglyceriden und Typ-2-Diabetes. (2)
Nur weil eine Person keinen Alkohol trinkt, heißt das nicht, dass sie gegen eine Fettlebererkrankung immun ist. Komplikationen, die sich spät in der Schwangerschaft entwickeln, können bei manchen Frauen zu einer Fettleber führen.
Symptome einer Fettleber
Die meisten Menschen, die mit einer Fettleber zu tun haben, entwickeln keine Symptome, weshalb sie sich der Erkrankung erst bewusstwerden, wenn sie sich verschlimmert.
Typische Anzeichen für eine Fettleber
Bei den Patienten, die Symptome haben, sind dies (3):
- Müdigkeit
- Schwäche
- Geschwollener Unterleib
- geschwollene Beine
- Schmerzen im Unterleib
- Appetitlosigkeit
- Gelbliche Haut
Wenn die Symptome nicht besser zu werden scheinen, ist ein Arztbesuch unumgänglich.
Fettleber Symptome bei Frauen
Sowohl Männer als auch Frauen haben ähnliche Symptome, wenn sie eine Fettlebererkrankung entwickeln. Es wurde jedoch festgestellt, dass mehr Frauen nach der Menopause an einer Fettlebererkrankung leiden als Frauen vor der Menopause. Deshalb wurde ein Zusammenhang zwischen Menopause und Fettleber vermutet. Östrogen schützt die Leber auf natürliche Weise und unterstützt die Insulinempfindlichkeit. In den Wechseljahren produziert der Körper weniger Östrogen, weshalb mehr Frauen zu einer Fettlebererkrankung neigen. (4)
Fettleber Symptome der Haut
Alkoholbedingte Erkrankungen der Leber können viele Auswirkungen auf die Haut haben. Das offensichtlichste Zeichen ist die Gelbfärbung der Haut. Bei einer Zirrhose können die Patienten auch mit einem unangenehmen Hautjucken zu kämpfen haben.
Fettleber Symptome Schwitzen
Es gibt auch Fälle, in denen eine Fettleber übermäßiges Schwitzen verursacht. Das liegt daran, dass die Leber ein großes Organ ist, das den ganzen Körper überhitzen kann, wenn es überlastet ist. Das Schwitzen tritt meist auf dem Kopf und im Gesicht auf. (5)
Verlauf einer Fettleber
Die Fettlebererkrankung verläuft in der Regel in 4 Stadien (6).
- Das erste Stadium bezieht sich auf das Vorhandensein von überschüssigem Fett in der Leber. In vielen Fällen müssen sich die Betroffenen keine Sorgen über Symptome machen, und die Krankheit schreitet nicht zu einem zweiten Stadium fort.
- In der zweiten Phase kommt es neben dem überschüssigen Fett auch zu einer Entzündung der Leber. Dieses Stadium wird auch als Steatohepatitis bezeichnet und sollte ein Warnzeichen für die Betroffenen sein. Eine angemessene Behandlung, damit sich die Situation nicht verschlimmert.
- Im dritten Stadium kommt es zur Vernarbung der Leber, obwohl das Organ seine Funktionen noch normal erfüllen kann.
- In der vierten Phase kann der Schaden nicht mehr rückgängig gemacht werden. In diesem Stadium entwickelt sich eine Zirrhose, die die Funktionsfähigkeit der Leber beeinträchtigt.
Wie lange dauert es bis sich eine Fettleber zurückbildet?
Bei der alkoholbedingten Fettlebererkrankung sind die Auswirkungen vollständig reversibel, wenn der Betroffene eine Zeit lang keinen Alkohol mehr trinkt. Faktoren wie Gewicht und Ernährung können die Zeitspanne beeinflussen, die benötigt wird, um die Auswirkungen der Fettleber umzukehren. Im Allgemeinen kann eine gesunde Ernährung den Betroffenen helfen, sich innerhalb von sechs Wochen von einer alkoholbedingten Fettlebererkrankung zu erholen. (7)
Bei der nichtalkoholischen Fettleber ist eine Änderung der Lebensweise ebenso wichtig. Eine spezielle Behandlung ist in der Regel nicht erforderlich.
Was darf man mit einer Fettleber essen
Die ideale Ernährung für Menschen mit einer Fettlebererkrankung umfasst Obst, Gemüse und ballaststoffreiche Pflanzen. Lebensmittel und Getränke, die viel Zucker, Salz, gesättigte Fette und raffinierte Kohlenhydrate enthalten, müssen für eine gesunde Lebensweise reduziert oder ganz vermieden werden. Damit die Leber heilen kann, sollten die Patienten natürlich keinen Alkohol trinken. (8) Es kann sich als sehr hilfreich erweisen, einen Ernährungsberater um Hilfe zu bitten.
Gesunder Lebensstil als Behandlung
Neben einer gesunden Ernährung kann auch regelmäßiger Sport einer Person mit Fettleber helfen. Zwei bis drei Stunden mäßig intensive Bewegung können den Unterschied zwischen einem gesunden Menschen und einem, der mit vielen gesundheitlichen Problemen zu kämpfen hat, ausmachen. Auch der Verzicht auf das Rauchen kann dazu beitragen, das Risiko von Gesundheitsproblemen zu verringern.
Fettleber und Alkohol
Nur weil es sich bei der Erkrankung um eine nicht-alkoholbedingte Fettlebererkrankung handelt, heißt das nicht, dass Alkohol in der Ernährung eine Rolle spielen sollte. Der Verzicht auf Alkohol kann die Lebensdauer der Leber verlängern.
Behandlung einer Fettleber
Neben einer gesunden Lebensweise können Menschen mit einer Fettlebererkrankung auch Medikamente zur Behandlung von Diabetes, Vitamin E und Thiazolidindione einnehmen. Ein Gespräch mit einem Arzt kann dem Patienten helfen, herauszufinden, wie stark seine Leber geschädigt ist und wie lange es dauert, bis sich die Auswirkungen zurückbilden. Ein wichtiges Ziel, das jeder Mensch haben sollte, ist ein gesundes Gewicht.
Fettleber im MRT
Laut einer 2019 veröffentlichten Studie hat sich die Magnetresonanztomographie beim Nachweis von Fett in der Leber als genau erwiesen. (9) Auch die Computertomographie wird zur Beurteilung der nicht-alkoholisch bedingten Fettlebererkrankung eingesetzt, doch ist diese Methode mit einer Strahlenbelastung verbunden. Deshalb gilt die MRT derzeit als das effizienteste bildgebende Verfahren zur Beurteilung der Fettlebererkrankung.
