
Wenn Erinnerungen unsicher werden kann Klarheit helfen
Bei Beyond Imaging ergänzen wir moderne MRT-Diagnostik durch die KI-gestützte Analyse von AIRAmed.
Die Software nutzt künstliche Intelligenz und neuronale Algorithmen, um hochauflösende MRT-Aufnahmen des Kopfes auszuwerten, relevante Hirnstrukturen präzise zu vermessen und mit altersabhängigen Referenzwerten zu vergleichen.
Die MRT-Bilddaten werden dafür pseudonymisiert an die Analyseplattform übermittelt und innerhalb weniger Minuten als strukturierter Auswertungsbericht für Ihren Radiologen bereitgestellt.
Wann ist eine MRT bei Gedächtnisveränderungen sinnvoll?
Eine MRT ersetzt keine neurologische Diagnose, kann jedoch wichtige Hinweise liefern und die medizinische Abklärung unterstützen. Eine Untersuchung kann sinnvoll sein bei:







Wann ist sie nicht erforderlich?
Wenn keine neurologischen Symptome oder Risikofaktoren vorliegen, ist eine zusätzliche Analyse meist nicht notwendig. Die Entscheidung erfolgt immer individuell im ärztlichen Gespräch.
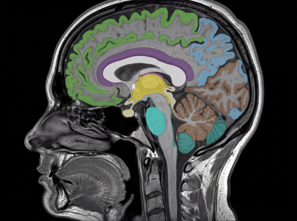
Welche Veränderungen im Gehirn kann eine MRT zeigen?
Eine MRT des Gehirns ermöglicht eine detaillierte Darstellung verschiedener Hirnstrukturen. Dabei können unter anderem folgende Bereiche analysiert werden:
Die zusätzliche AIRAscore-Analyse berechnet strukturelle Messwerte dieser Regionen und vergleicht sie mit einer großen Referenzdatenbank aus gesunden Vergleichspersonen gleichen Alters und Geschlechts.
Die Ergebnisse werden in sogenannten Perzentilen dargestellt. Dadurch lässt sich erkennen, ob die gemessenen Werte innerhalb des statistisch erwarteten Normbereichs liegen.

Wie buche ich die Kopf-MRT mit zusätzlicher KI Analyse?
Sie buchen einfach eine MRT des Kopfes bei Beyond Imaging in den folgende Standorte: Berlin-Mitte, Berlin Charlottenburg, Hannover, Leipzig, Nüremberg und München.
Die zusätzliche AIRAscore Analyse kann direkt bei der Terminvereinbarung ausgewählt werden. Wählen Sie dazu den Standort und im Anschluss die Fachrichtung „Smart Screening“. Ein zweiter Termin ist nicht erforderlich.

Starten Sie die Terminvereinbarung direkt in Ihrem Browser.
Nach Abschluss erhalten Sie Ihren Bestätigungscode per E-Mail.
Preisübersicht Kopf MRT mit AIRAscore
Die Hirnvolumetrie mit AIRAscore ist eine Selbstzahlerleistung und wird aktuell nicht von den gesetzlichen Krankenkassen übernommen. Sowohl gesetzlich als auch privat Versicherte tragen die Kosten zunächst selbst.Privatversicherte haben jedoch häufig die Möglichkeit einer Erstattung durch ihre Versicherung.
Die Kosten für ein Kopf-MRT inklusive AIRAmed-Auswertung liegen bei ca. 876 € (PKV/Selbstzahler) bzw. ca. 610 € (GKV-Selbstzahler). Alle Angaben sind Richtwerte und können variieren.
Hinweis: Die AIRAscore Analyse unterstützt die objektive Bewertung struktureller Veränderungen im Gehirn. Sie stellt keine eigenständige Diagnose dar. Die medizinische Einordnung erfolgt immer durch einen Facharzt im Zusammenhang mit weiteren klinischen Informationen.
Wie läuft eine MRT zur Früherkennung von Demenz ab?
01
MRT-Aufnahme bei Beyond Imaging
Ihre Untersuchung erfolgt wie eine normale MRT des Kopfes.
02
Sichere Datenverarbeitung
Die Bilddaten werden datenschutzkonform und pseudonymisiert verarbeitet.
03
Zusätzliche computergestützte Analyse
Spezielle Software berechnet strukturelle Messwerte.
04
Ärztliche Einordnung durch kooperierende Fachärzte
Die Ergebnisse werden im Rahmen der Befundung medizinisch bewertet.
Beispiel eines AIRAscore Analyseberichts nach der MRT-Untersuchung
Der AIRAscore Analysebericht ergänzt die MRT-Untersuchung des Gehirns um eine computergestützte Auswertung. Dabei werden verschiedene Hirnregionen präzise vermessen und mit Referenzwerten gesunder Personen gleichen Alters und Geschlechts verglichen. Der Bericht zeigt übersichtlich, in welchen Bereichen sich Ihre Werte im Normalbereich bewegen und wo mögliche Abweichungen bestehen könnten. Die medizinische Einordnung und Interpretation der Ergebnisse erfolgt immer durch Ihren behandelnden Facharzt.
Klicken Sie auf die Abbildungen, um ein Beispiel des AIRAscore Berichts im Detail zu sehen. Quelle: AIRAmed,de


Häufige Fragen
Nein. Für ein MRT des Kopfes mit AIRAscore ist in der Regel kein Kontrastmittel erforderlich. Die AIRAscore Analyse wird auf Basis der standardmäßigen MRT-Aufnahmen des Gehirns durchgeführt und ist ein integraler Bestandteil des MRT Kopf Scans. Dadurch bleibt die Untersuchung vollständig nicht-invasiv und ohne zusätzliche Belastung.
Eine MRT kann strukturelle Veränderungen im Gehirn sichtbar machen, die bei Demenz oder Alzheimer auftreten können. Eine sichere Diagnose ergibt sich jedoch erst aus der Gesamtbewertung durch einen Facharzt unter Einbeziehung weiterer Untersuchungen.
Eine MRT kann sinnvoll sein, wenn Gedächtnisveränderungen auftreten, eine familiäre Vorbelastung für Demenz besteht oder eine neurologische Abklärung empfohlen wird.
Die MRT zeigt Struktur und Volumen verschiedener Hirnregionen. Dadurch lassen sich Veränderungen oder Auffälligkeiten im Gehirn erkennen und medizinisch einordnen.
Die zusätzliche Analyse berechnet das Volumen bestimmter Hirnregionen und vergleicht diese mit altersabhängigen Referenzwerten. Das kann helfen, strukturelle Veränderungen objektiver zu beurteilen.
Ja. Die MRT ist eine nicht-invasive und schmerzfreie Untersuchung ohne Strahlenbelastung.
Die MRT selbst wird in vielen Fällen von der Krankenversicherung übernommen. Die zusätzliche computergestützte Analyse kann als privatärztliche Zusatzleistung angeboten werden.
Ja. Die MRT-Bilddaten werden pseudonymisiert verarbeitet und verschlüsselt übertragen. Personenbezogene Daten verbleiben bei Beyond Imaging und werden nicht an Dritte weitergegeben.
Die verwendete Analyse-Software von AIRAmed ist als Medizinprodukt CE-zertifiziert und erfüllt die geltenden europäischen Anforderungen, einschließlich der Vorgaben des EU AI Act.
Beyond Imaging verarbeitet Patientendaten gemäß den strengen deutschen und europäischen Datenschutzbestimmungen (DSGVO).

Haben Sie weitere Fragen?
Unser Team unterstützt Sie gerne telefonisch oder per E-Mail.
