Eine Ganzkörper MRT ermöglicht es, unseren Körper – alle Organe, Gefäße, das Skelettsystem und die Gelenke, die wie Zahnräder ineinandergreifen und in ihrer Zusammenarbeit ein hochfunktionales System bilden – in seiner Ganzheit zu betrachten. Doch selbst in einem so ausgeklügelten System gibt es Schwachstellen die uns dazu veranlassen können, einen detaillierten Blick ins Körperinnere zu werfen.




Der Gesamteindruck zählt: Ganzkörper MRT
Meist wird eine Magnetresonanztomographie durchgeführt, wenn konkrete körperliche Beschwerden bestehen, die mit Hilfe diesem bildgebenden Verfahren abgeklärt werden sollen. Durch eine genaue Erhebung der Symptome kann meist schon eingegrenzt werden, in welcher Körperregion höchstwahrscheinlich die Ursache hierfür liegt.
In der Regel werden dann nur Bilder der betroffenen Körperregionen, beispielsweise des Kopfes oder des Knies, aufgenommen – auch um die Untersuchungszeit zu minimieren.
Doch manchmal lässt sich aus den klinischen Anzeichen nicht präzise ableiten, wo die Ursache der Beschwerden liegt. Dann kann es notwendig sein, den gesamten Körper gewissermaßen nach Erklärungen zu durchforsten und eine Ganzkörper MRT durchzuführen.
Generell existieren verschiedenste diagnostische Verfahren, die eine Darstellung des Körpers ermöglichen, wie der Ultraschall, die Computertomographie (CT), die MRT, die Positronen-Emissions-Tomographie (PET) und das konventionelle Röntgen.
Doch wenn mehrere dieser Verfahren nötig sind, kann eine vollständige Beschwerdeabklärung sehr zeitaufwendig und unangenehm für den Patienten oder die Patientin sein. Daher hat die Einführung der sogenannten Ganzkörper MRT – nicht zuletzt auch durch die fehlende Strahlenexposition – die diagnostischen Konzepte verschiedenster Erkrankungen grundlegend verändert.
Gründe für eine Ganzkörper MRT
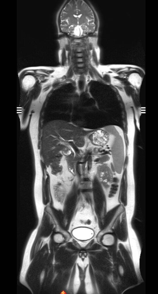
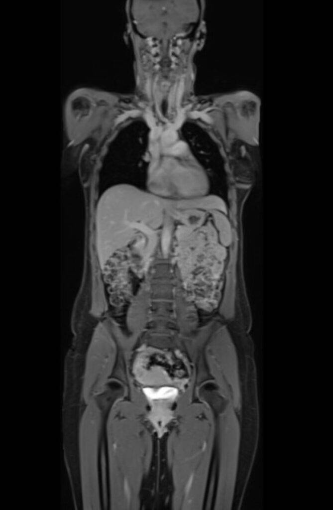
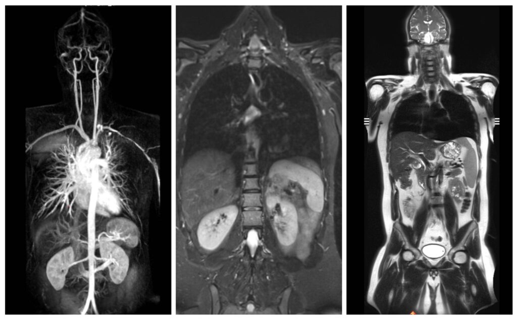
Eine Ganzkörper MRT liefert hochauflösende Bilder des gesamten Körpers von Kopf bis Fuß und ist daher ideal für Vorsorgeuntersuchungen oder zur Verlaufsbeurteilung von malignen Erkrankungen:
- Im Kopf können Veränderungen im Gehirn, wie beispielsweise Metastasen, Schrumpfungen oder alte Schlaganfälle diagnostiziert werden.
- Eine Ganzkörper MRT kann in einer Untersuchung zur Abklärung komplexer Herz-Kreislauf-Erkrankungen herangezogen werden und gleichzeitig das gesamte Gefäßsystem sowie das Herz, die Lungen und die Bauchorgane dargestellten.
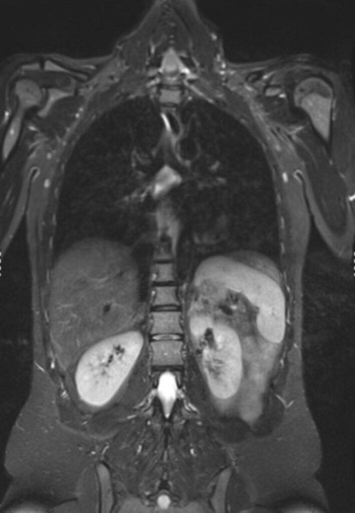
- Die Ganzkörper MRT kann auch der Früherkennung von malignen Tumorerkrankungen, beispielsweise von Bronchial- oder Nierenzellkarzinomen, im Sinne eines Screenings asymptomatischer Patienten dienen.
- Wurde bereits eine Tumorerkrankung diagnostiziert, kann die Ganzkörper MRT nützlich sein, die momentane Ausbreitung präzise zu beurteilen. Auch Fernmetastasen können durch eine Ganzkörperuntersuchung frühzeitig festgestellt werden. Die MRT ist aufgrund des höheren Weichteilkontrasts speziell in den Organen des Oberbauchs, der Lymphknoten, des Gehirns und des gesamten Skelettsystems hochpräzise bei der Erkennung von Metastasen.

- Auch zur Verlaufsbeurteilung und zur frühzeitigen Erkennung von Rezidiven bei malignen Erkrankungen eignet sich die Ganzkörper MRT hervorragend.
- Mittels einer MRT des ganzen Körpers lassen sich zudem entzündliche Skeletterkrankungen wie z.B. die rheumatoide Arthritis feststellen. Da sowohl kleinste Gelenke der Extremitäten als auch die großen Gelenke des Rumpfes betroffen sein können, ist eine Ganzkörper MRT besonders aussagekräftig.
So läuft eine MRT Ganzkörper ab
Die Ganzkörper MRT findet zunehmend Einzug in die klinische Routine als Alternative zur schrittweisen diagnostischen Abklärung verschiedenster Krankheitsbilder. In der Regel kann diese Untersuchung ambulant durchgeführt werden. Hierfür werden sie auf einem fahrbaren Untersuchungstisch gelagert und anschließend in die Röhre des MRT-Gerätes gefahren.
Wichtig bei einer Ganzkörper MRT ist, dass sie während der Untersuchung möglichst still liegen, da sich bei Bewegung die Bildqualität der Aufnahmen deutlich verschlechtert und die entstandenen Bilder im äußersten Fall nicht auswertbar sind.
Abhängig davon was genau mit der Ganzkörper MRT untersucht werden soll, dauert die Untersuchung in der Regel 30 bis 50 Minuten. Sie ist völlig schmerzfrei.
Während der Untersuchung kommt es durch die starken Magnetfelder zu lauten Klopfgeräuschen. Damit die Untersuchung dennoch so angenehm wie möglich für Sie ist, werden Sie mit Ohrstöpseln und Kopfhörern ausgestattet. Sie werden die ganze Zeit überwacht und können jederzeit Kontakt zu den betreuenden Personen aufnehmen.
Je nach Fragestellung kann auch Kontrastmittel bei der Untersuchung verwendet werden. Dazu werden Sie von Ihrem Arzt oder Ärztin vorher aufgeklärt. Für die Kontrastmittelgabe wird Ihnen vor der MRT- Untersuchungen das behandelnde radiologische Personal einen intravenösen Zugang legen, über den das Kontrastmittel verabreicht werden kann.
In seltenen Fällen kann es dabei zu Nebenwirkungen wie Hautreizungen und Kribbelgefühlen bis hin zu allergischen Reaktionen kommen. Hierüber wird Sie Ihre Radiologin oder Ihr Radiologe allerdings gesondert aufklären.
Kosten einer Ganzkörper MRT
Da die Ganzkörper MRT deutlich aufwendiger ist und mehr Zeit beansprucht als andere bildgebende Verfahren, ist sie auch teurer. In der Regel werden dann mindestens 950€ fällig.
Private Krankenkassen erstatten diese Kosten meist in vollem Umfang, während die gesetzlichen Krankenkassen dies nur in begründeten Einzelfällen tun.
Blick ins Innere mit Ganzkörper MRT: Die umfassende Diagnostik
Die Ganzkörper-MRT stellt eine besonders detaillierte Methode in der medizinischen Bildgebung dar, die es ermöglicht, ohne die Verwendung ionisierender Strahlung, das Innenleben unseres Körpers umfassend zu visualisieren. Mittels starker Magnetfelder und Radiowellen wird der Körper in Gänze erfasst, wodurch ein vollständiges Bild der verschiedenen Organsysteme, der Gefäße sowie der Weichteile des Bewegungsapparates wie Muskeln, Sehnen und Gelenke ermöglicht wird.
Dank der herausragenden Weichteildarstellung und der Möglichkeit, hochauflösende, detailreiche Bilder zu erzeugen, bietet die Ganzkörper MRT eine unvergleichliche Diagnostik.
Die Technologie erlaubt es, von Kopf bis Fuß ohne jegliche Strahlenbelastung detaillierte Einblicke in den menschlichen Körper zu erhalten und ist somit ideal für eine umfassende Gesundheitsüberprüfung und zur Früherkennung verschiedenster Erkrankungen geeignet. Die MRT Ganzkörper Untersuchung ist ein präzises und umfangreiches diagnostisches Bildgebungsverfahren.
Q&A
Wie unterscheidet sich die Ganzkörper MRT von der traditionellen MRT?
Die traditionelle MRT konzentriert sich auf die Bildgebung spezifischer Körperregionen wie Gehirn, Wirbelsäule oder Gelenke. Im Gegensatz dazu durchleuchtet die Ganzkörper MRT den gesamten Körper und ermöglicht eine umfassende Beurteilung mehrerer Organe und Systeme in einer einzigen Sitzung. Dies ermöglicht eine ganzheitlichere Bewertung und Erkennung potenzieller Abnormalitäten im gesamten Körper.
Ist die Ganzkörper MRT für jeden sicher?
Obwohl die MRT Ganzkörper im Allgemeinen als sicher gilt, ist sie möglicherweise nicht für jeden geeignet. Patienten mit bestimmten medizinischen Implantaten oder Geräten, die Metall enthalten, wie Herzschrittmachern oder Cochlea-Implantaten, könnten aufgrund von Sicherheitsbedenken nicht für eine MRT in Frage kommen. Schwangere sollten eine MRT meiden, es sei denn, es ist medizinisch notwendig. Es ist wichtig, dass Personen ihre Krankengeschichte und mögliche Risiken mit ihrem Arzt besprechen, bevor sie sich einer Ganzkörper MRT unterziehen.
Wie lange dauert eine Ganzkörper MRT in der Regel?
Die Dauer einer Ganzkörper MRT-Untersuchung kann je nach Bildgebungsschema und den spezifischen Bedürfnissen des Patienten variieren. Im Durchschnitt kann die Untersuchung zwischen 30 Minuten und 2 Stunden dauern. Faktoren wie Körpergröße, das Vorhandensein bestimmter Erkrankungen oder die Notwendigkeit einer Kontrastmittelverstärkung können die Gesamtdauer der Untersuchung beeinflussen.
Kann die MRT Ganzkörper andere diagnostische Bildgebungstechniken ersetzen?
Die Ganzkörper MRT ist ein leistungsstarkes und nicht-invasives Bildgebungswerkzeug, das jedoch andere diagnostische Techniken nicht vollständig ersetzen kann. Jede Bildgebungsmethode hat ihre Stärken und Grenzen, und die Wahl der geeignetsten Technik hängt von der spezifischen klinischen Fragestellung und der zu untersuchenden Körperregion ab. In vielen Fällen kann die MRT Ganzkörper neben anderen Bildgebungsmethoden eingesetzt werden, um eine umfassende Bewertung des Gesundheitszustands eines Patienten zu ermöglichen.
Sind vor einer MRT Ganzkörper bestimmte Vorbereitungen erforderlich?
Im Allgemeinen erfordert die MRT Ganzkörper nur minimale Vorbereitungen. Patienten wird möglicherweise gebeten, einige Stunden vor der Untersuchung auf Essen und Trinken zu verzichten, insbesondere wenn eine intravenöse Kontrastmittelgabe geplant ist. Es ist wichtig, das medizinische Team über vorhandene Metallimplantate, die Krankengeschichte oder Allergien gegen Kontrastmittel vor der Untersuchung zu informieren.


