Zum Inhalt springen
Beyond Imaging Logo Standard neg
Termin buchen

MRT Kinder

Diagnostik | MRT Untersuchungen

MRTKinder

Eine Magnetresonanztomographie, kurz MRT, auch Kernspintomographie genannt, ist ein bildgebendes Verfahren in der Medizin, das ohne schädliche Strahlung auskommt und völlig schmerzfrei ist. Insbesondere für Kinder und Jugendliche kann die MRT als Diagnoseverfahren genutzt werden, da diese hochauflösende Bilder des Körperinneren ermöglicht, ohne Röntgenstrahlung zu verwenden.

Gut zu wissen:

  1. Unser geschultes Personal geht liebevoll auf Ihr Kind ein, erklärt die MRT-Untersuchung vor Ort altersgerecht und bindet auch Sie als Elternteil intensiv in den Untersuchungsprozess mit ein.
  2. Sie dürfen bei der MRT-Untersuchung Ihres Kindes jederzeit dabei sein. Dieses Wissen kann dabei helfen, die bevorstehende Untersuchung entspannter und unbeschwerter anzugehen.
  3. Der persönliche Beistand hilft dem Kind nicht nur, sondern erzeugt auch ein Gefühl von Sicherheit und Vertrautheit. Eine MRT-Untersuchung ist schmerz- und nebenwirkungsfrei.
  4. Da es zu einer lauten Geräuschkulisse durch das MRT-Gerät während der Untersuchung kommt, erhalten Sie und Ihr Kind von uns Kopfhörer als Gehörschutz, worüber auch Musik gehört werden kann.
  5. Die MRT-Untersuchung als solche verläuft monoton, dass Kinder nicht selten dabei einschlafen. Sie können auch die Lieblingsdecke oder das Lieblingstuch Ihres Kindes mit zur MRT-Untersuchung mitbringen.
MRTbeiKindern

Was ist eine MRT bei Kindern und wie funktioniert die MRT?

Eine Magnetresonanztomographie, kurz MRT, ist ein medizinisches Bildgebungsverfahren, das MRT-Bilder des Körperinneren erstellt. Bei Kindern wird eine MRT oft eingesetzt, um verschiedene Verletzungen, Krankheiten oder Entwicklungsanomalien zu diagnostizieren oder zu überwachen.

Das MRT-Gerät scannt den Körper Ihres Kindes mithilfe eines starken Magnetfelds. Es entstehen Signale, die durch einen Hochleistungsrechner in Bilder übersetzt werden können. Die entstandenen Schnittbilder werden übereinandergelegt, so erhält man präzise und hochauflösende MRT-Bilder der untersuchten Körperregion Ihres Kindes.

Dieses bildgebende Verfahren wird seit Jahrzehnten in der Medizin eingesetzt und ermöglicht eine genaue Diagnosestellung. Die MRT für Kinder ist hierbei völlig schmerzfrei und ungefährlich.

Was sieht man bei einer Kinder MRT?

Je nach medizinischer Fragestellung wird eine spezifische Körperregion gescannt. Der Körper kann eingeteilt werden in Kopf und Hals, Thorax (Brust, Lunge, Herz), Abdomen und Becken (Bauchraum, Leber, Niere, Blase u.w.), Rücken (Wirbelsäule) und Extremitäten (Arme, Schulter, Beine, Füße).

Folgendes lässt sich in einer MRT darstellen:

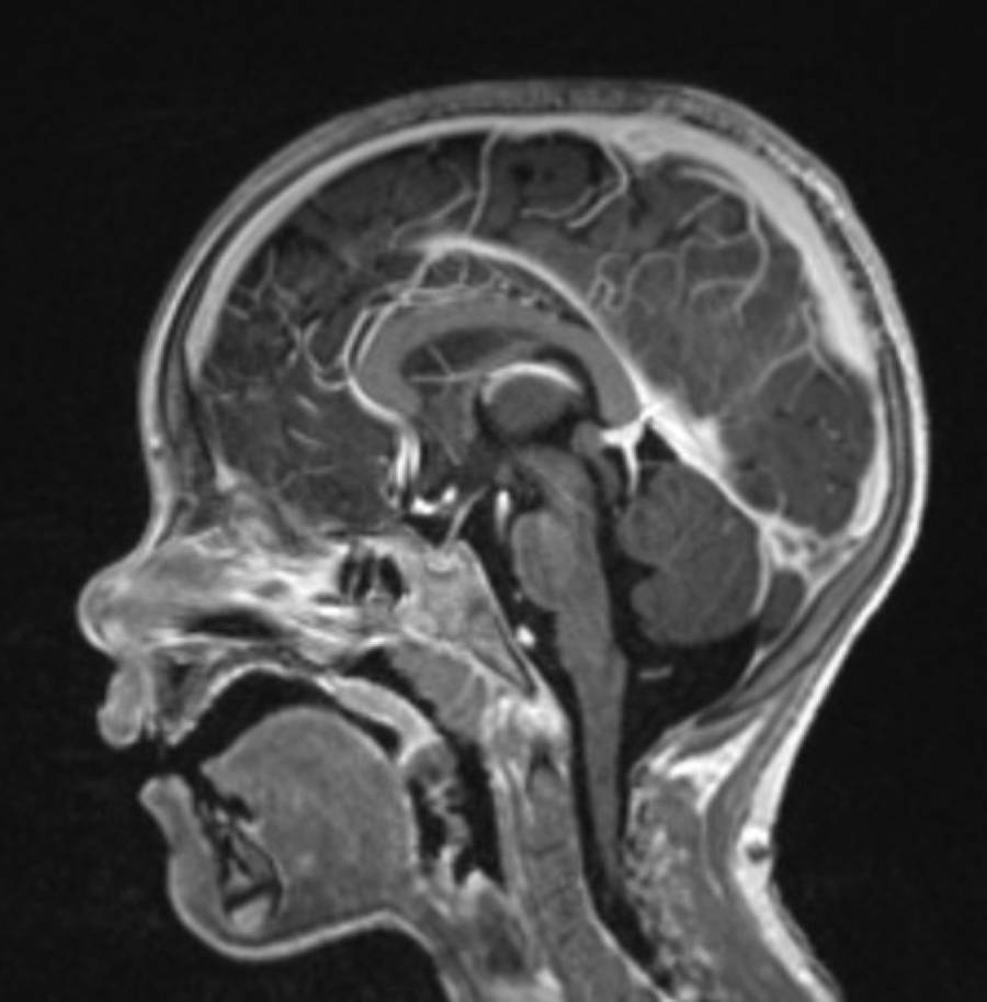
Gehirn und NervensystemUnser Gehirn ermöglicht sehr viele Funktionen im Körper. Die MRT-Untersuchung gibt uns einen genauen Blick in das Innere unseres Kopfes.
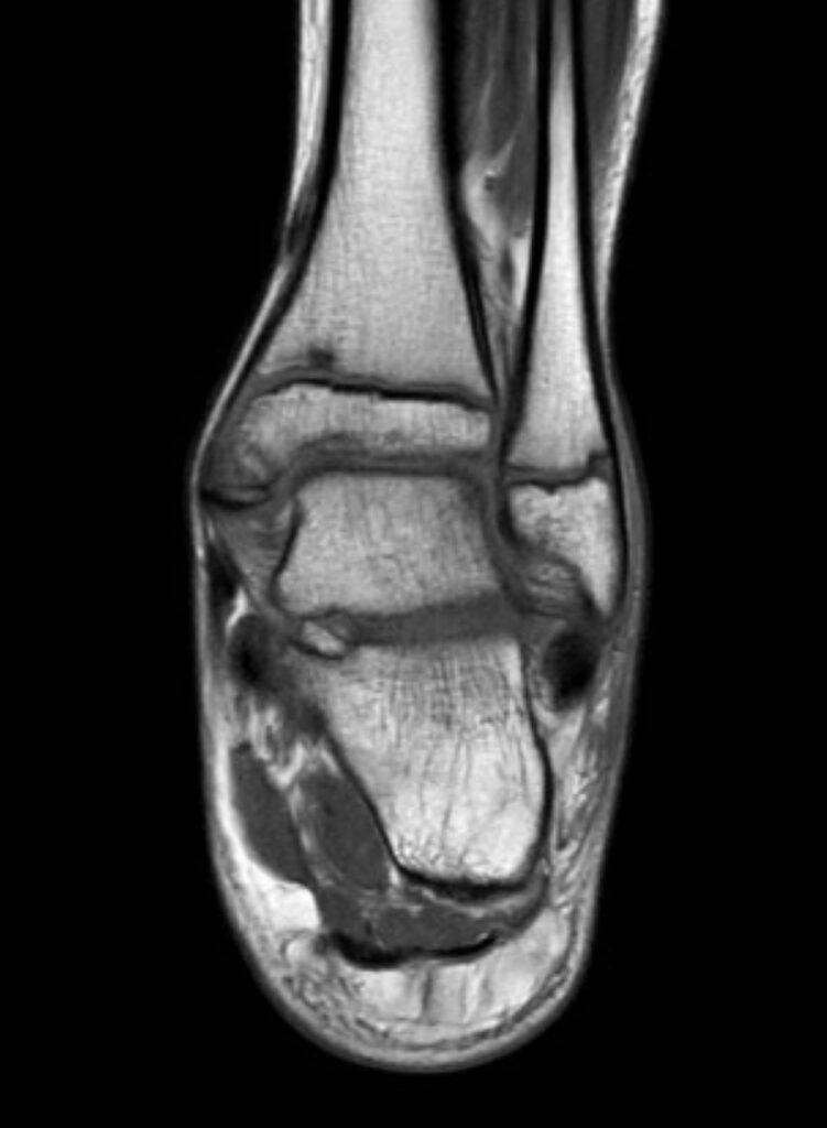
Muskeln und GelenkeViele große Gelenke im Körper sind vielfältig, da diese aus Sehnen, Bändern, Gelenken und Muskeln bestehen. Diese lassen sich durch die MRT besonders gut betrachten, wie z.B. das Kniegelenk.
BauchorganeUnser Bauchraum beherbergt viele lebenswichtige Organe. Diese sind: Magen, Leber, Milz, Gallenblase, Bauchspeicheldrüse und unseren Darm.
Herz und BlutgefäßeUnser Herz versorgt unseren Körper mit Blut. Dieses fließt durch unsere Blutgefäße, die im gesamten Körper verbunden sind.
Weichteile und OrganeInsbesondere unsere Organe wie z.B. das Gehirn, das Herz oder unseren Darm kann die MRT bildlich erfassen, aber auch Tumore oder verändertes Gewebe werden in der MRT sichtbar.
KnochenUnser Körper hat über 200 Knochen. In bestimmten Fällen ist eine MRT-Untersuchung zusätzlich zu einer Röntgenuntersuchung notwendig.
Das Akute Koronarsyndrom

Sie benötigen einen MRT-Termin für Ihr Kind?

Buchen Sie jetzt unkompliziert einen MRT-Termin online bei Beyond Imaging!

Einfach und bequem Ihren Termin direkt auf unserer Website buchen.

Wann wird eine MRT bei Kindern gemacht?

Es gibt verschiedene Gründe und individuelle medizinische Fragestellungen, weshalb eine MRT bei Kindern und Jugendlichen durchgeführt wird.

Der große Vorteil einer MRT-Untersuchung bei Kindern und Jugendlichen ist die strahlenfreie und sichere Untersuchungsmethode.

Einige Gründe, weshalb eine MRT bei Kindern gemacht wird, können sein:

  1. Neurologische Erkrankungen: bei neurologischen Beschwerden/Zuständen oder Defiziten, kann eine MRT Kopf bei Kindern Aufschluss bringen
  2. Verletzungen: oft kommt es zu Schulunfällen, dabei kann es zu Verletzungen in allen Körperbereichen kommen, je nach Verletzung kann zur genauen Diagnose eine MRT bei Kindern oder Jugendlichen notwendig sein
  3. Erkrankungen des Bewegungsapparats: klagt Ihr Kind über Gelenk- oder Rückenschmerzen, Muskelschwäche oder ähnlichen Beschwerden, kann die MRT-Untersuchung helfen, die entsprechende Ursache zu finden
  4. Überwachung von Krankheitsprozessen: insbesondere bei Erkrankungen, die eine regelmäßige Untersuchung benötigen, kann die MRT als gewähltes bildgebendes Verfahren dienen, da hier keine Strahlenbelastung für Ihr Kind vorliegt
  5. Vor einer geplanten Operation: zur Planung von chirurgischen Eingriffen kann eine MRT bei Kindern oder Jugendlichen notwendig sein

MRT Kinder bei Beyond Imaging

Wir legen in unseren insgesamt 16 Diagnostikzentren großen Wert darauf, dass sich Kinder und ihre Eltern während dem gesamten Untersuchungsprozess wohl und gut aufgehoben fühlen. Wir bemühen uns, den Besuch unserer jüngsten Patienten so angenehm wie möglich zu gestalten.

Unser tolles Team vor Ort ist darauf geschult, mit Kindern umzugehen und ihnen während der MRT-Untersuchung zur Seite zu stehen. Da eine MRT für Kinder beängstigend sein kann, bemühen wir uns, die Wartezeit so kurz wie möglich zu halten.

Um unseren kleinen und größeren Patienten ein Gefühl von Sicherheit und Komfort zu vermitteln, können das liebste Kuscheltier, Lieblingsmusik oder Hörbuch und/oder eine kuschelige Decke mitgebracht werden. Sie als Elternteil sind ebenfalls willkommen, Ihr Kind während der MRT zu begleiten und zu unterstützen.

Für unsere tapferen Kinder gibt es selbstverständlich nach der MRT-Untersuchung eine kleine Belohnung. Diese positive Verstärkung soll dazu beitragen, dass Kinder den Besuch bei uns in guter Erinnerung behalten.

Prinzipiell ist bei uns eine MRT für Kinder ab 4 Jahren möglich.

MRTKinder Beyond Imaging

Vorbereitung auf Kinder MRT

  • Sprechen Sie mit Ihrem Kind – Aufklärung ist wichtig!
  • Arztbrief und Überweisungsschein, sowie Versicherungskarte mitbringen
  • Voruntersuchungen, Befunde, OP-Berichte falls vorhanden mitbringen
  • Lieblingskuscheltier (ohne Metalle), Lieblingsmusik oder Hörspiel mitbringen
  • Kleidung ohne Metalle anziehen (Metallknöpfe, Reißverschlüsse etc.)

Bitte nicht bewegen – Ablauf MRT für Kinder

Vor der MRT-Untersuchung

Sie und Ihr Kind werden in unseren Diagnostikzentren freundlich empfangen – von unserem Personal und von der modernen und hellen Umgebung. Nach der Aufnahme geht es dann zur MRT-Vorbereitung. Hier werden Ihnen noch einmal alle Details zum Untersuchungsablauf erklärt. Sie können Fragen stellen und sich und Ihr Kind mit dem Untersuchungsraum vertraut machen.

Unser Personal nimmt sich die Zeit, die Sie und der kleine Patient oder die kleine Patientin benötigen, um entspannt in die Untersuchung zu gehen. Wenn nötig und möglich wäre es gut, wenn Sie mit Ihrem Kind vor der MRT-Untersuchung nochmal auf die Toilette gehen.

Nun ist es wichtig, alle metallischen Gegenstände abzulegen, da diese nicht in den MRT-Untersuchungsraum mitgebracht werden dürfen. Ihr Kind wird von unserem freundlichen Personal auf der fahrbaren Untersuchungsliege platziert. Wenn Sie Ihr Kind im Untersuchungsraum begleiten möchten, dann müssen Sie ebenfalls alle metallischen Gegenstände ablegen, Sie werden zusätzlich aufgeklärt über das Verhalten im MRT-Untersuchungsraum.

Für die individuelle MRT-Untersuchung erhält Ihr Kind Kopfhörer, da es bei der Untersuchung zu lauten Klopfgeräuschen kommt. Über diese Kopfhörer ist es möglich eigene Musik oder ein eigenes Hörspiel abspielen zu lassen. Wenn Sie Ihr Kind begleiten möchten, erhalten Sie ebenfalls Kopfhörer auf. Die 70 cm große Öffnung unserer MRT-Geräte ermöglicht es Ihnen, als Elternteil mit auf der Liege, oder auf einem Stuhl direkt neben der Liege, Platz zu nehmen. So können Sie während der MRT-Untersuchung Blick- und Körperkontakt zu Ihrem Kind halten.

Ihre Nähe gibt Ihrem Kind Sicherheit und Ruhe, schafft Vertrauen und stärkt das Durchhaltevermögen. Zudem können Sie mögliche Ängste, Unruhe oder Unwohlsein Ihres Kindes sofort erkennen und unserem Team ein Zeichen über die Notfallklingel für eine Pause geben.

Während der Untersuchung

Sobald die lauten Klopfgeräusche zu hören sind, arbeitet das MRT-Gerät und die Bilder werden aufgenommen. Während dieser Zeit ist es sehr wichtig, dass sich weder Sie noch Ihr Kind bewegen. Es folgen mehrere kurze Sequenzen hintereinander, die alle unterschiedlich klingen.

Sie und Ihr Kind werden von unserem geschulten Personal zu jedem Zeitpunkt der Untersuchung persönlich begleitet und genau über die einzelnen MRT-Untersuchungsschritte informiert.

Nach der MRT-Untersuchung

Es ist geschafft! Die fahrbare Liege wird wieder aus dem Untersuchungsraum gefahren und Sie dürfen mit Ihrem Kind alle abgelegten Gegenstände wieder anlegen.

Der Erhalt der MRT-Bilder, sowie die Befundung sind von Diagnostikzentrum zu Diagnostikzentrum unterschiedlich. Informationen dazu erhalten Sie gesondert im jeweiligen Diagnostikzentrum.

Ist eine Kontrastmittelgabe bei der MRT-Untersuchung meines Kindes notwendig?

Die Gabe eines Kontrastmittels ist nur für die Untersuchung bestimmter Gewebearten oder pathologischer Prozesse nötig.  Das Kontrastmittel wird Ihrem Kind über eine Venenverweilkanüle verabreicht. Das bei Beyond Imaging verwendete Kontrastmittel für MRT-Untersuchungen besteht aus Gadolinium. Im Gegensatz zu Jod-basierten Kontrastmitteln, unerwünschte Nebenwirkungen oder Unverträglichkeiten treten deutlich seltener auf als bei Jod-basierten Kontrastmitteln. Falls die Anwendung eines Kontrastmittels bei Ihrem Kind notwendig sein sollte, werden Sie von Ihrem Kinderradiologen oder Ihrer Kinderradiologin über mögliche Risiken aufgeklärt.

Wie lange dauert eine Kinder MRT-Untersuchung?

Eine Kinder MRT-Untersuchung unterscheidet sich bezüglich der Dauer wenig von einer MRT-Untersuchung für Erwachsene. Somit ist die Dauer der MRT-Untersuchung von der jeweiligen Körperregion abhängig und kann durch die Gabe von Kontrastmittel länger dauern.

Mehr zur Dauer von MRT-Untersuchungen lesen sie hier: Wie lange dauert eine MRT?

Wenn Sie Fragen zur MRT-Untersuchung bei Beyond Imaging haben, können Sie im jeweiligen Diagnostikzentrum anrufen, unser Chatbot Ella nutzen oder uns über unser Kontaktformular kontaktieren, um Ihr persönliches Anliegen zu klären.

Sie können sich ebenfalls zur jeder MRT-Untersuchung, den jeweiligen Artikel auf unserer Website durchlesen, um noch besser informiert zu sein:

Und Weitere finden Sie in unserem Menü-Punkt: MRT-Untersuchungen.

Wir sind für Sie da und bemühen uns, Ihrem Kind eine angenehme Erfahrung zu bieten!

    Quellen

    Beyond Imaging Logo Standard neg

    Bei Beyond Imaging verbinden wir Präzision mit Menschlichkeit. Unsere Mission ist es, Diagnostik weiterzudenken – als vernetzte Erfahrung, die moderne Bildgebung, digitale Prozesse und persönliche Begleitung verbindet.

    So schaffen wir Lösungen, die sich nahtlos in bestehende Versorgungskonzepte integrieren lassen – klar strukturiert, medizinisch fundiert und spürbar entlastend. Verständliche Ergebnisse und sichere Entscheidungen für ein langes, erfülltes und gesundes Leben.

    Patienten

    Standorte

    Online-Termin

    Patientenportal

    Fragen (FAQ)

    Kontakt für Patienten

    Partner

    Ärzteportal

    Partner

    Kontakt für Partner

    Beyond Imaging

    Über uns

    Karriere

    Presse

    Impressum

    Datenschutz