Tuberkulose – Symptome und Behandlung ist ein Thema, das viele Menschen interessiert, da es zu den Krankheiten gehört, die unbehandelt tödlich sein können. Allein im Jahr 2021 gab es 1,6 Millionen Todesfälle aufgrund von Tuberkulose (1). Bei rechtzeitigem Eingreifen und richtiger Behandlung kann diese bakterielle Infektion erfolgreich behandelt werden.
Einige der Anzeichen dieser Erkrankung sind Fieber, übermäßiger Gewichtsverlust und anhaltender Husten. Wer diese Symptome bei sich feststellt, sollte einen Arzt aufsuchen, um festzustellen, ob es sich um Tuberkulose handelt oder nicht.

Was ist Tuberkulose?
Tuberkulose (TB) ist eine Infektionskrankheit, die durch das Bakterium Mycobacterium tuberculosis verursacht wird und hauptsächlich die Lungen befällt, aber auch das Gehirn, die Nieren oder die Wirbelsäule befallen kann (2). Es gibt Menschen, die sich mit den für die Entstehung der Tuberkulose verantwortlichen Bakterien infiziert haben, aber keine Symptome verspüren. Bei diesen Menschen kann die Tuberkulose erst nach einigen Jahren auftreten und Symptome verursachen, die vor allem die Atemwege betreffen.
Diese Art von Tuberkulose wird als latente Tuberkulose bezeichnet und ist nicht ansteckend. Da sie sich jedoch später zu einer aktiven Tuberkulose entwickeln kann, sollte sie bei Risikopatienten (z. B. HIV-Patienten) behandelt werden. Menschen, die glauben, sich mit den Bakterien angesteckt zu haben, oder der Kontakt zu Menschen hatten, bei denen bereits Tuberkulose diagnostiziert wurde, sollten ihren Arzt kontaktieren.

Symptome von Tuberkulose
Zu den allgemeinen Symptomen gehören Fieber und Schüttelfrost, unerklärlicher Gewichtsverlust, Schwäche und Müdigkeit. Auch Appetitlosigkeit und Nachtschweiß können Symptome der Tuberkulose sein. Ist die Lunge von Tuberkulose betroffen, äußert sich die Krankheit durch anhaltenden Husten (länger als 3 Wochen), Aushusten von Blut und Schmerzen in der Brust. Bei manchen Menschen können die Schmerzen beim Atmen oder Husten ausgelöst werden.
Da sie auch andere Körperteile befallen kann, äußert sich die Tuberkulose auch durch Rückenschmerzen und Steifheit (wenn die Tuberkulose die Wirbelsäule befällt) oder Blutungen im Urin (wenn die Nieren betroffen sind). Unbehandelt kann TB zu weiteren Komplikationen führen: Arthritis, Meningitis, Nierenprobleme und in seltenen Fällen eine Entzündung des Gewebes um das Herz (3).
Schutz vor Tuberkulose: Impfung
Es gibt verschiedene Möglichkeiten, Tuberkulose vorzubeugen. Je nachdem, in welchem Land eine Person lebt, ist sie mehr oder weniger gefährdet, an der ansteckenden Krankheit TB zu erkranken. In Ländern, in denen es viele Tuberkulosefälle gibt, werden Kinder mit dem Bacillus Calmette-Guérin-Impfstoff (BCG) geimpft. Dieser Impfstoff wirkt am besten bei Kindern und wird einmal im Leben verabreicht (4).
Menschen, die in Länder reisen, in denen Tuberkulose sehr häufig vorkommt, sollten Vorsichtsmaßnahmen ergreifen und sich nicht zu lange in Menschenmengen aufhalten, sich häufig die Hände waschen und engen Kontakt mit Menschen vermeiden, die krank sind oder sein könnten.
Ist Tuberkulose ansteckend?
Tuberkulose ist eine ansteckende Krankheit, die über die Luft übertragen wird. Wenn eine Person mit aktiver Tuberkulose niest, hustet oder sich rasiert und dabei Wasserpartikel in die Luft abgibt, können diese Keime mehrere Stunden lang in der Luft bleiben und Menschen infizieren, die die Luft einatmen. Damit eine Person an Tuberkulose erkrankt, muss sie jedoch über einen längeren Zeitraum mit einer Person in Kontakt gewesen sein, bei der aktive Tuberkulose diagnostiziert wurde.
Ein Patient mit aktiver Tuberkulose, der sich in Behandlung befindet, ist nach 2 bis 3 Wochen nicht mehr ansteckend. Es sollte auch erwähnt werden, dass latente Tuberkulose nicht ansteckend ist, aber sobald sie aktiv wird, kann sie auf andere Menschen übertragen werden. Es gibt 3 Stadien der Tuberkulose: Primärinfektion, latente Tuberkulose und schließlich aktive Tuberkulose (5).
Tuberkulose diagnostizieren
Bei Menschen, die spezifische Tuberkulose-Symptome aufweisen und möglicherweise engen Kontakt zu einer Person mit aktiver Tuberkulose hatten, wird der Arzt eine erste körperliche Untersuchung durchführen, um festzustellen, ob die Lymphknoten geschwollen sind, und er wird die Lungengeräusche beim Atmen mit einem Stethoskop beurteilen.
Es gibt hauptsächlich zwei Arten von Tests, die zum Nachweis von Tuberkulose eingesetzt werden: ein Hauttest und ein Bluttest. Beim Hauttest, der auch als Mantoux-Tuberkulin-Hauttest bekannt ist, wird eine kleine Menge Flüssigkeit (Tuberkulin) unter die Haut gespritzt. Nach 2-3 Tagen muss der Patient erneut in die Arztpraxis kommen, um festzustellen, ob der Test positiv ist, d. h. ob die Haut angeschwollen ist.
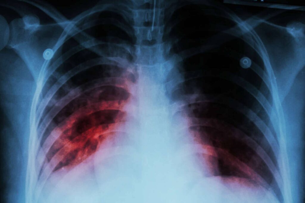
Da der Hauttest falsch positiv ausfallen kann (6), muss der Patient möglicherweise auch einen Bluttest durchführen lassen. Der Bluttest kann die erste Diagnosemethode sein, die bei Personen eingesetzt wird, die gegen BCG geimpft wurden oder gesundheitliche Probleme haben, die das Ergebnis des Hauttests beeinträchtigen könnten. Fällt der Bluttest positiv aus, sind weitere Tests erforderlich, um festzustellen, ob es sich um latente oder aktive Tuberkulose handelt. In diesem Stadium können Röntgenaufnahmen der Brust oder CT-Scans durchgeführt werden.

Behandlungsmethoden von Tuberkulose
Die Tuberkulose sollte auch bei Patienten mit latenter Tuberkulose behandelt werden, wenn die Gefahr besteht, dass sie sich zu einer aktiven Tuberkulose entwickelt. Bei aktiver Tuberkulose ist eine medikamentöse Behandlung über einen Zeitraum von 6-9 Monaten erforderlich. Die Behandlung basiert auf Antibiotika, und die Dauer der Einnahme hängt vom Alter des Patienten, dem Ort der Infektion im Körper und seinem Gesundheitszustand ab. Gegen Tuberkulose werden in der Regel Isoniazid, Ethambutol, Pyrazinamid und Rifapentin eingesetzt.
Es ist wichtig, dass die Behandlung während des vom Arzt angegebenen Zeitraums strikt eingehalten wird. Wird die Behandlung zu früh abgebrochen oder werden die Tabletten nicht korrekt eingenommen, werden die Bakterien nicht abgetötet und die Krankheit kehrt zurück.
Verlauf von Tuberkulose
Das erste Stadium der Tuberkulose ist der Kontakt mit den Bakterien. Nach der Primärinfektion können die Bakterien viele Jahre lang inaktiv im Körper verbleiben, und die latente Tuberkulose kann durch spezifische TB-Diagnosetests nachgewiesen werden. Sie kann sich zu aktiver Tuberkulose entwickeln und die Lunge oder einen anderen Teil des Körpers befallen. Die Behandlung ist länger und schwieriger, wenn die Bakterien gegen einige vom Arzt verschriebene Medikamente resistent sind.
Wenn die Behandlung befolgt wird, können Menschen, bei denen TB diagnostiziert wurde, geheilt werden. Wenn eine Person, bei der Tuberkulose diagnostiziert wurde, nicht behandelt wird, besteht jedoch die Gefahr, dass sie aufgrund schwerer Komplikationen stirbt.
