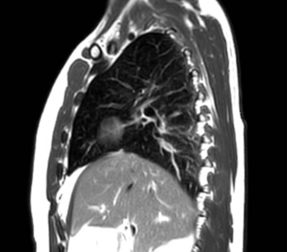
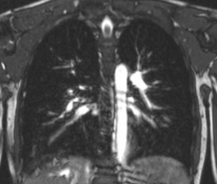
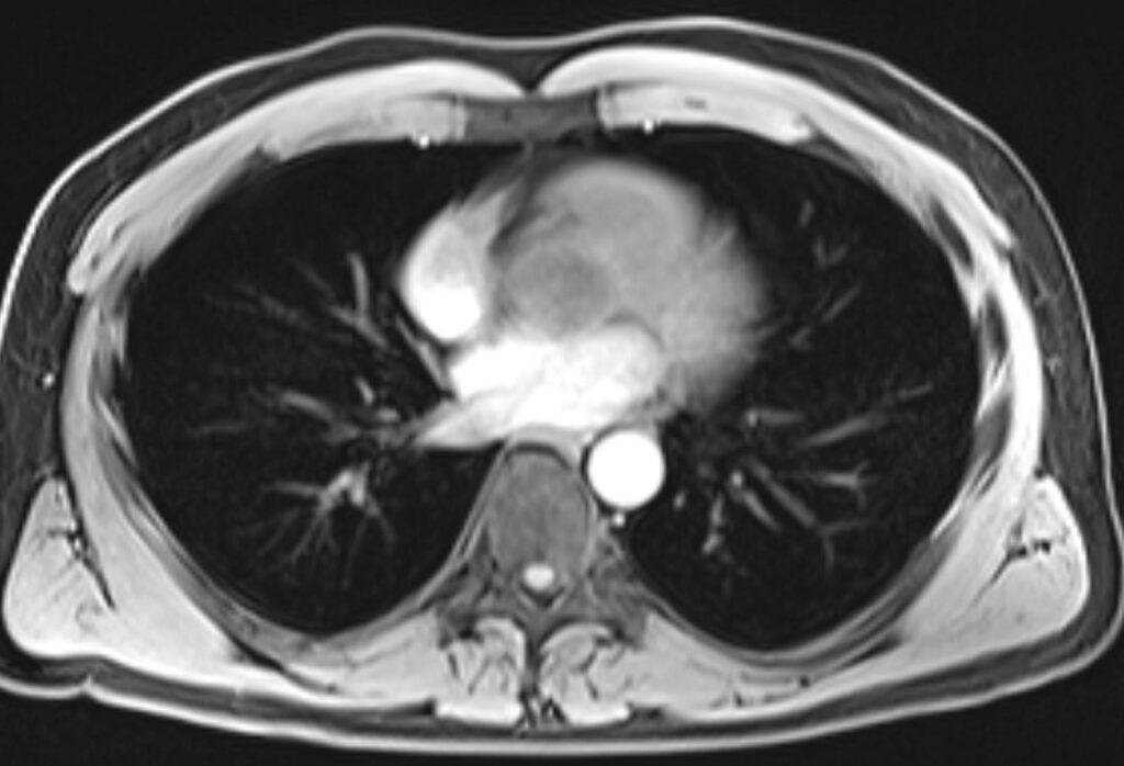
Eine Magnetresonanztomographie des Brustkorbs, kurz die MRT Thorax genannt, ist ein medizinisch bildgebendes Verfahren. Die MRT Thorax Untersuchung stellt mithilfe von Magnetfeldern und Radiowellen insbesondere die Lungenflügel, das Herz, die großen Blutgefäße und das Mediastinum detailliert dar. Vor allem bei Verdacht auf Tumore oder andere komplexe Erkrankungen im Brustbereich kann eine MRT Thorax aufschlussreich sein.
Was ist eine MRT Thorax?
Eine Magnetresonanztomografie basiert auf der Ausrichtung der Atomkerne im Körper, insbesondere der Wasserstoffkerne, die sich in einem starken Magnetfeld ausrichten. Dieses Magnetfeld bildet die Grundlage für die Bildgebung.
Bei der Thorax MRT-Untersuchung wird ein Hochfrequenzsystem verwendet, das die Ausrichtung dieser Atomkerne ändert. Während die Kerne in ihre ursprüngliche Position zurückkehren, senden sie Signale aus. Diese Signale werden von speziellen Detektoren aufgefangen und in Bilder umgewandelt. Das Ergebnis sind detaillierte Querschnittsbilder des Brustkorbs, die es ermöglichen, die inneren Strukturen wie Lungen, Herz, große Blutgefäße und das Mediastinum in hoher Auflösung darzustellen.
Die MRT Thorax erstellt viele Bilder von verschiedenen Schichten des Brustbereichs, die anschließend zu einem dreidimensionalen Bild zusammengesetzt werden.
Für Patienten ist die Untersuchung vollkommen ungefährlich und schmerzlos. Das verwendete Magnetfeld und das Hochfrequenzsystem haben keine schädlichen Auswirkungen auf den Körper. Eine MRT kommt ohne schädliche ionisierende Strahlung aus und kann so ebenfalls zur Verlaufskontrolle angewendet werden.



Wann wird eine Thorax MRT durchgeführt?
Die MRT des Thorax wird bei verschiedenen Verdachtsdiagnosen eingesetzt. Es gibt einige Indikationen, weshalb eine Thorax MRT für Sie notwendig sein kann.
Insbesondere eignet sich eine MRT Thorax bei:
Verdacht auf Mediastinaltumor: Das Mediastinum ist der Raum zwischen den Lungenflügeln, in dem sich das Herz, große Blutgefäße und andere wichtige Strukturen befinden. Tumoren in diesem Bereich können durch eine MRT präzise lokalisiert und charakterisiert werden.
Thoraxwandprozess: Eine MRT-Untersuchung kann notwendig sein, wenn es zu auffälligen Prozessen an der Thoraxwand kommt, etwa bei unklaren Schwellungen oder Schmerzen.
Verdacht auf Pancoast-Tumor: Dieser spezielle Typ eines Bronchialkarzinoms befindet sich an der Lungenspitze und kann in die umliegenden Strukturen wie Nerven und Blutgefäße einwachsen. Eine MRT hilft dabei, die genaue Ausdehnung und den Einfluss auf angrenzende Gewebe zu beurteilen.
Was Sie bei einer Thorax MRT-Untersuchung beachten sollten:
Bitte bringen Sie alle relevanten Unterlagen zu Ihrem Thorax MRT Termin mit.
Darunter, falls vorhanden, Überweisungsschein, bereits bestehende Befunde, Allergiepass, Implantatausweis, Herstellerinformationen etc.
Wenn eine Kontrastmittelgabe bevorsteht, ist es wichtig, im Vorhinein bei Ihrem zuständigen Arzt oder bei Ihrer zuständigen Ärztin den Kreatin-Wert mittels einer Blutentnahme bestimmen zu lassen. Bitte klären Sie dies im Vorfeld ab.
Tragen Sie bequeme und metallfreie Kleidung. Für die MRT Thorax Untersuchung kann es notwendig sein, den Oberkörper frei zu machen.
Tragen Sie möglich wenig Metall am Körper. Schmuck, Brille, Uhr, Gürtel, BHs o.ä. müssen für die MRT-Untersuchung abgelegt werden.
Beachten Sie, dass eine MRT-Untersuchung mit einer lauteren Geräuschkulisse verbunden ist. Bei der Erstellung der wichtigen MRT-Bilder erzeugt das MRT-Gerät laute Geräusche. Hierfür erhalten Sie während der Untersuchung Kopfhörer, die den Lärm eindämmen. Zusätzlich stehen Ihnen Ohropax vor Ort zur Verfügung. Sprechen Sie uns gerne an!
Bei einem vorhandenen Herzschrittmacher, Cochlea-Implantat, Neurostimulatoren, Implantaten, die vor weniger als 6 Wochen implantiert worden sind (wie Gefäßstents, Gelenkprothesen etc.) ist eine MRT-Untersuchung leider nicht möglich.
Sie werden vor Ihrer MRT-Untersuchung des Thorax einfühlsam und individuell von unserem geschulten Personal aufgeklärt.
Ablauf einer MRT Thorax
Für eine Thorax MRT-Untersuchung werden Sie auf einer fahrbaren Untersuchungsliege positioniert. Hierbei werden Sie so bequem wie möglich mit Kissen und Polstern unterstützt, so dass Sie während der Untersuchungszeit so ruhig und bequem wie nur möglich liegen können.
Falls eine Kontrastmittelgabe im Vorhinein mit Ihnen besprochen worden ist, erhalten Sie einen Venenzugang, worüber später das Kontrastmittel verabreicht wird. Hierzu werden Sie ausführlich von ärztlicher Seite, sowie von unserem medizinischen Personal aufgeklärt.
Wenn Sie bequem auf dem Rücken Ihre Liegeposition eingenommen haben, erhalten Sie eine Notfallklingel in die Hand. Sie können bei Bedarf jederzeit diese Klingel drücken. Unser Personal vor Ort ist während der gesamten Untersuchungszeit für Sie da und in Ihrer Nähe. Über ein Untersuchungsfenster wird der gesamte Prozess beobachtet.
Da es notwendig sein kann, für die MRT Thorax die Luft anzuhalten, üben wir mit Ihnen vor der Untersuchung die Atemkommandos. Über eine Sprechanlage werden Sie dann während der Untersuchung angeleitet.
Sie werden für die MRT Thorax nach der Vorbereitung auf der fahrbaren Liege in den MRT-Untersuchungsraum gefahren und am MRT-Gerät mit dem Kopf voran positioniert.
Unsere MRT-Geräte sind mit überdurchschnittlich großen Röhrendurchmessern von 70cm ausgestattet. Ein herkömmliches MRT-Gerät hat einen Durchmesser von 60cm. Dieser vergrößerte Röhrendurchmesser ermöglicht Ihnen etwas mehr Freiraum und soll Ihren Komfort und Wohlbefinden unterstützen. Zudem sind die Röhrenlängen unserer MRT-Geräte in allen Diagnostikzentren verkürzt, so dass die MRT-Röhre möglichst offen und frei gestaltet ist.
Falls Sie mit Sorgen und Ängsten vor einer MRT-Untersuchung zu kämpfen haben, zögern Sie nicht, uns vor Ort anzusprechen. Wir sind für Sie da!
Lesen Sie gerne mehr zu diesem Thema: Angst vor der MRT
Nach ca. 30 Minuten ist die MRT-Untersuchung vorbei. Sie werden von unserem Fachpersonal herausgefahren. Nun haben Sie Zeit, alle abgelegten Gegenstände wieder anzulegen.
Der Erhalt der MRT-Bilder hängt von dem jeweiligen Diagnostikzentrum ab. Informationen hierzu erhalten Sie vor Ort.

Dauer einer Thorax MRT
Die Dauer einer Thorax MRT beträgt ungefähr 30 Minuten. Die Dauer von 30 Minuten bezieht sich auf die reine Scanzeit und kann je nach individueller Fragestellung etwas abweichen. Bitte planen Sie zusätzlich für die Vor- und Nachbereitung Ihres MRT Thorax Termins genügend Zeit ein.
MRT Thorax in der Nähe
Einen MRT-Termin für Ihre Thorax MRT finden Sie an 16 verschiedenen Standorten in Deutschland. Beyond Imaging ist Ihr Ansprechpartner für MRT-Diagnostik. Wir konzentrieren uns voll und ganz auf Ihr Wohlbefinden. Bei uns erhalten Sie hochwertige MRT-Bilder in einer angenehmen und patientenfreundlichen Atmosphäre. Buchen Sie online, in wenigen Schritten, Ihren MRT Thorax Termin in der Nähe!
Kosten einer MRT Thorax
Die Kosten für eine Thorax MRT können variieren. Insbesondere sind die Kosten für eine MRT Thorax abhängig von medizinischer Fragestellung und Indikation für die entsprechende MRT-Untersuchung. Es gibt keinen Pauschalpreis für eine MRT Thorax. Die genauen Kosten hängen von Ihrem individuellen Ausgangsbefund und dem Aufwand der Untersuchung ab. Bitte informieren Sie sich gerne im Vorhinein bei Ihrem entsprechenden Diagnostikzentrum.

