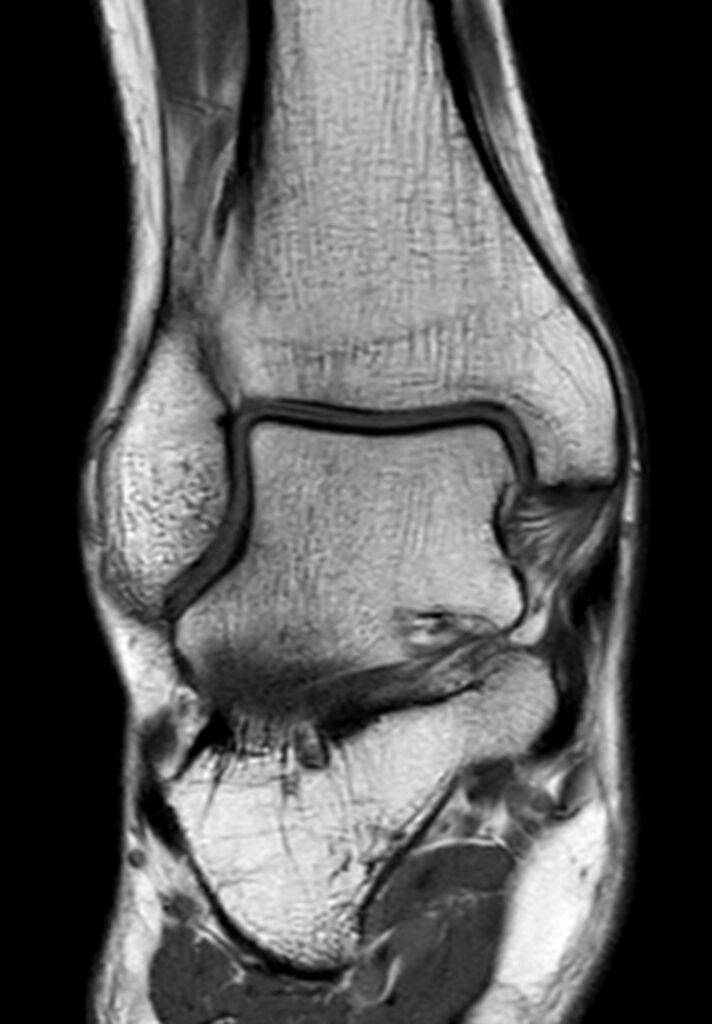
Eine Magnetresonanztomographie des Sprunggelenks, auch MRT Sprunggelenk oder MRT OSG genannt, ist ein bildgebendes Verfahren, das es ermöglicht, das Sprunggelenk mit allen Strukturen präzise und detailliert darzustellen. Die Ursache für Schmerzen oder Schwellungen im Sprunggelenk können durch eine MRT lokalisiert werden.
Eine der häufigsten Verletzungen am Sprunggelenk ist das Supinationstrauma. Hierbei handelt es sich um eine Überdehnung der Außenbänder. Es kann auch zu einem Bänderriss oder im äußersten Fall zu Verletzungen am Knochen kommen. Je nach Verletzungsausmaß kann eine Magnetresonanztomographie des Sprunggelenks, MRT OSG, notwendig sein, um eine präzise Diagnose zu ermöglichen.
Was sieht man in einer MRT Sprunggelenk (OSG)?



Das Sprunggelenk setzt sich aus verschiedenen anatomischen Strukturen zusammen, die in einer MRT dargestellt werden können. Dies geschieht durch ein starkes Magnetfeld und Radiowellen. Es werden Querschnittbilder des Sprunggelenks erstellt. Die MRT Bilder des Sprunggelenks dienen später dem Radiologen oder der Radiologin zur Diagnosestellung, damit der behandelnde Arzt oder die behandelnde Ärztin eine entsprechende Therapie ansetzen kann.
Zu den verschiedenen Strukturen gehören:
- Knochen: Knochenstrukturen, sowie das Sprunggelenk selbst werden in der MRT detailliert dargestellt. Die Unterschenkelknochen (Tibia und Fibula) sind ebenfalls sichtbar.
- Bänder und Sehnen: Das Sprunggelenk wird durch Bänder und Sehnen gestützt und stabilisiert. Kommt es zu Verletzungen oder Entzündungen an diesen Strukturen, kann dies in einer MRT dargestellt werden.
- Knorpel: Ein Teil des Gelenks bildet der Gelenksknorpel. Knorpelabnutzung oder Knorpelläsionen werden in einer MRT abgebildet.
- Weichteile: Muskeln, Faszien und Blutgefäße können ebenfalls Verletzungen erfahren. Dies äußert sich in Form von Schwellungen oder Entzündungen. Die MRT-Untersuchung ermöglicht die Lokalisierung des betroffenen Areals.
Wie sieht die Fuß Anatomie des Sprunggelenks aus?
Das Sprunggelenk ist eine komplexe Struktur, die aus verschiedenen Knochen, Gelenken, Bändern, Sehnen und Muskeln besteht.
| Knochen | Schienbein, Wadenbein, Sprungbein |
| Gelenke | oberes und unteres Sprunggelenk |
| Bänder | mediales und laterales Band, Syndesmose |
| Sehne | Achillessehne, Peronealsehne |
| Muskeln | Wadenmuskulatur |

Ist eine MRT Sprunggelenk notwendig – kann man einen Bänderriss erkennen?
Eine MRT des Sprunggelenks kann notwendig sein, wenn eine genaue Darstellung der anatomischen Strukturen im Bereich des Sprunggelenks erforderlich ist.
In folgenden Fällen kann sich ihr behandelnder Arzt oder behandelnde Ärztin für eine MRT Sprunggelenk (OSG) entscheiden.
- Bei Verdacht auf Verletzungen, wie Sehnenverletzung, Fraktur, Bänderriss oder Knorpelschäden am oder im Sprunggelenk. Insbesondere dann, wenn die Verletzung lange anhält und nicht zu heilen scheint.
- Wenn Sie an chronischen Schmerzen im Sprunggelenk leiden oder immer wieder Umknicken und somit eine Instabilität herrscht, kann eine MRT Sprunggelenk hilfreich sein, die Ursache zu identifizieren.
- Bei Entzündungen im Sprunggelenk, so wie zum Beispiel Arthritis oder Synovitis, kann eine MRT OSG das Ausmaß und mögliche Schäden an den Gelenken darstellen.
- Für die Vorbereitung auf eine Operation oder zur Überwachung des Heilungsprozesses nach einer Verletzung oder Operation dient die MRT des Sprunggelenks zur Beurteilung der anatomischen Strukturen und des Heilungsprozesses.
Auch ein Bänderriss ist auf MRT Bildern des Sprunggelenks zu erkennen und kann als Methode zur Diagnose angewendet werden, insbesondere dann, wenn die Schmerzen stärker sind oder die Dauer der Heilung länger anhält als üblich.
Ablauf einer MRT Sprunggelenk Untersuchung – wie weit in die Röhre?
Vor der MRT-Untersuchung
- Ausfüllen von Anamnesebogen und weiteren Formularen.
- Alle metallischen Gegenstände müssen abgelegt werden.
- Sie erhalten Kopfhörer, da es zu lauten Geräuschen durch das MRT-Gerät kommt.
- Über die Kopfhörer ist es ebenfalls möglich Ihre gewünschte Musik zu hören, sprechen Sie dies bitte vorher mit unserem medizinischen Personal ab,
- Sie erhalten eine Notfallklingel, die Sie während der Untersuchung betätigen können, sollte Unwohlsein oder ähnliches auftreten.
Während der MRT-Untersuchung
- MRT-Untersuchung findet im Liegen statt auf einer fahrbaren Untersuchungsliege.
- Sie werden mit den Beinen voraus an das MRT-Gerät gefahren.
- Die untere Körperseite wird sich während der Untersuchung im MRT-Gerät befinden, sodass Ihr Kopf und Oberkörper frei liegen.
- Unser Beyond Imaging Team hat Sie jederzeit im Blick über ein Untersuchungsfenster.
- Sie können jederzeit bei Bedarf die Notfallklingel betätigen.
Nach der MRT-Untersuchung
- Anlegen aller abgelegten Gegenstände und Kleidungsstücke.
- Der Erhalt von MRT Bildern unterscheidet sich von Diagnostikzentrum zu Diagnostikzentrum, hierzu erhalten Sie je nach Standort gesonderte Informationen.
- Für die Befundung ist Ihr behandelnder Radiologe oder behandelnde Radiologin zuständig.
Wie lange dauert eine MRT Sprunggelenk?
In der Regel dauert eine MRT des Sprunggelenks (OSG) 20-30 min. Die Dauer ist abhängig von der medizinischen Fragestellung. Sollte Kontrastmittel notwendig sein, verlängert sich die Dauer um einige Minuten. Bitte beachten Sie, dass es sich hierbei um die Zeit handelt, die Sie im Untersuchungsraum verbringen. Vor- und Nachbereitung der MRT-Untersuchung nimmt ebenfalls Zeit in Anspruch.
Wie viel kostet eine MRT Sprunggelenk?
Es handelt sich hierbei nicht um einen Pauschalpreis. Die Preise variieren je nach Arzt oder Ärztin, und können in verschiedenen Diagnostikzentren unterschiedlich ausfallen. Die Kosten beginnen bei 260Euro. Sie haben die Möglichkeit im Vorhinein alle wichtigen Informationen im jeweiligen Diagnostikzentrum zu erfragen.
Entscheiden Sie sich für eine MRT Sprunggelenk bei Beyond Imaging
Unser Versprechen an Sie ist Wohlfühlatmosphäre, die Ihren Diagnoseprozess zur Erkennung von Sprunggelenksverletzungen so angenehm wie möglich gestaltet.
Unsere 16 Standorte in Deutschland und ein Standort in der Schweiz sind zentral gelegen. Mit dem öffentlichen Verkehrsmittel sind diese einfach zu erreichen. Je nach Standort stehen Ihnen auch Parkmöglichkeiten zur Verfügung.
Die Terminvereinbarung für eine Sprunggelenk MRT-Untersuchung (MRT OSG) ist jederzeit online möglich. Zusätzlich stehen Ihnen ein Live Chatbot, als auch zu bestimmten Uhrzeiten unsere Mitarbeiter zur Verfügung, wenn Sie Fragen oder Anmerkungen haben.
Unsere Diagnostikzentren sind mit modernen MRT-Geräten ausgestattet. Diese ermöglichen präzise und detaillierte MRT-Bilder für eine zuverlässige Diagnose. Mit einem überdurchschnittlich großen Röhrendurchmesser von 70 cm und verkürzter Röhrenlänge bieten unsere MRT-Geräte zusätzlichen Komfort und sorgen für ein angenehmes Untersuchungserlebnis.
Ihre Gesundheit liegt uns am Herzen, und wir sind hier, um Ihnen den bestmöglichen Service zu bieten.

