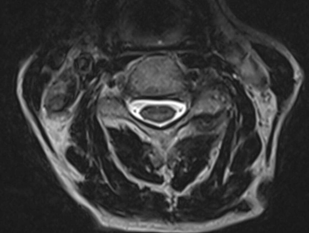
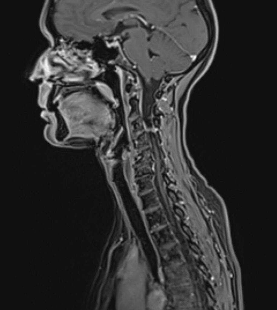
Die Magnetresonanztomographie der Halbwirbelsäule, kurz MRT HWS genannt, ist ein bildgebendes Diagnoseverfahren. In einer MRT HWS ist es möglich, den Bereich der Halswirbelsäule mit allen anatomischen Strukturen bildlich darzustellen. Besonders im Falle eines Verdachts auf Bandscheibenvorfall im Bereich der HWS ist eine Magnetresonanztomographie die bevorzugte Diagnosemethode.
Jährlich erleiden 180.000 Personen einen Bandscheibenvorfall. Dieser kann sich in der Halswirbelsäule (HWS), in der Brustwirbelsäule (BWS) oder in der Lendenwirbelsäule (LWS) ereignen.
Falls Sie unter Schmerzen im Nackenbereich leiden, diese bereits in die anliegenden Bereiche ausstrahlen und sogar schon starke Kopfschmerzen verursachen, ist eine MRT der Halswirbelsäule eine Möglichkeit die Ursache für Ihre Schmerzen zu finden.
Was ist eine MRT der Halswirbelsäule – MRT HWS?
Mit MRT ist die Magnetresonanztomographie gemeint. Es handelt sich um ein bildgebendes Untersuchungsverfahren, das mit Hilfe von einem starken Magnetfeld und Radiowellen funktioniert. Die dabei entstehenden Schnittbilder werden übereinandergelegt und ergeben später ein MRT Bild. Dieses Verfahren ist schmerzfrei und kommt ohne ionisierende Strahlung aus.
Bei einer MRT der Halswirbelsäule wird der Nackenbereich abgebildet. Die unterschiedlichen anatomischen Strukturen können präzise dargestellt werden und dienen der Beurteilung von Erkrankungen der Halswirbelsäule.
Was sieht man alles auf einer MRT HWS?
| Wirbelkörper | Einzelne Wirbelkörper, Form und Struktur |
| Bandscheiben | Bandscheiben zwischen den Wirbeln |
| Rückenmark und Nervenwurzel | Gesamter Wirbelkanal |
| Weichteile | Muskeln, Bänder, Lymphknoten |



MRT HWS bei einem Bandscheibenvorfall, ist das notwendig?
Eine MRT der Halswirbelsäule kann zur Beurteilung herangezogen werden, wenn ein Verdacht auf einen Bandscheibenvorfall im HWS-Bereich besteht.
Eine MRT HWS hat aber noch weitere Gründe:
- Halswirbelfraktur
- Anhaltendes Taubheitsgefühl in Schultern oder Armen
- Wurzelkompression
- Spinalkanalstenose
- Degenerative Veränderung der HWS
- Tumore, Zysten oder Abszesse
- Entzündungen oder Infektionen
Je nach medizinischer Fragestellung kann sich Ihr Arzt oder Ihre Ärztin für eine MRT der Halswirbelsäule entscheiden und es als notwendig betrachten den gesamten Halswirbelsäulenbereich präzise und detailliert darstellen zu lassen.
Wie läuft eine MRT HWS Untersuchung ab?
Eine MRT-Untersuchung ist nicht möglich, wenn Sie einen Herzschrittmacher, Defibrillator, Neurostimulatoren, ein Cochleaimplantat oder eine Insulinpumpe tragen und diese MR-ungeeignet sind.
Sollten Sie medizinische Implantate, wie Gelenkprothesen, Schrauben, Zahnimplantate oder ähnliches tragen, informieren Sie unser medizinisches Personal darüber. Bringen Sie bitte einen Implantatausweis oder Herstellerinformationen zu Ihrer MRT-Untersuchung der Halswirbelsäule mit, falls vorhanden.
Vor Ihrer HWS MRT-Untersuchung werden Sie in unserem Diagnostikzentrum herzlich empfangen und von Beginn über den gesamten Untersuchungszeitraum begleitet. Hier wird es notwendig sein Anamnesebogen, sowie weitere Formulare auszufüllen.
Aus dem Wartebereich geht es in Begleitung zu Ihrer persönlichen Umkleidekabine. Hier werden Sie nochmals über alles Wichtige aufgeklärt. Bei Fragen oder Sorgen sprechen Sie gerne unser geschultes Personal an. Wir sind hier, um Ihnen zu helfen und Fragen zu klären!
Der Untersuchungsraum ist ein separater Raum. Davor ist es notwendig alle metallischen Gegenstände abzulegen, diese können sein: Uhr, Brille, Schmuck, Piercings, BH, Knöpfe etc.
Für die Untersuchung der Halswirbelsäule werden Sie auf einer unserer fahrbaren Untersuchungsliegen platziert. Die MRT HWS Untersuchung findet im Liegen statt. Hierzu dürfen Sie sich auf den Rücken legen. Damit Sie sich wohl fühlen und sich während der Untersuchung nicht bewegen, werden Sie mit Kissen und Polstern unterstützt, damit Sie bequem und sicher liegen.
Das MRT-Gerät erzeugt laute klopfende Geräusche. Diese werden mit Kopfhörern eingedämmt. Benötigen Sie dennoch Ohropax, so können Sie diese von unserem Personal erhalten. Es ist ebenfalls möglich, über die Kopfhörer Ihre gewünschte Musik abzuspielen. Zögern Sie nicht uns darauf anzusprechen.
Sie erhalten außerdem eine Notfallklingel in die Hand, diese können Sie bei Bedarf verwenden. Unser Beyond Imaging Team ist während der gesamten Untersuchung in Reichweite und hat Sie über ein Untersuchungsfenster im Blick. Zusätzlich können wir über eine Gegensprechanlage mit Ihnen kommunizieren.
Mit dem Kopf voran werden Sie an das MRT-Gerät platziert.
Ist die MRT-Untersuchung der Halswirbelsäule beendet, werden Sie aus dem Untersuchungsraum gefahren und dürfen nun wieder Ihre abgelegten Gegenstände und Kleidungsstücke anlegen.
Je nach Diagnostikzentrum erhalten Sie gesonderte Informationen zu dem Erhalt Ihrer MRT Bilder.
Für die Befundung ist Ihr Radiologe oder Ihre Radiologin zuständig.
MRT Halswirbelsäule – wie weit in die Röhre?
Sie werden mit dem Kopf voran an das MRT-Gerät platziert. Während der Untersuchung wird sich Ihr Oberkörper in der Röhre befinden und Ihre Beine werden frei liegen.
Unsere MRT-Geräte bei Beyond Imaging bieten Komfort und Freiraum durch überdurchschnittlich große MRT-Röhren und stark verkürzten Röhrenlängen.
Sollten Sie Angst oder sogar Panik vor der MRT-Untersuchung haben, können Sie sich hier über Möglichkeiten zur Angstbewältigung informieren: Angst vor einer MRT?

Beyond Imaging – Ihre Wahl für präzise MRT HWS Bilder
Als verlässlicher Partner in der Radiologie legen wir besonderen Wert darauf, uns vollständig auf Ihr Wohlbefinden zu konzentrieren.
Was Sie bei uns erwarten können:
- Medizinische Bildgebung von höchster Qualität durch modernste MRT-Technologie.
- Eine herzliche und patientenorientierte Wohlfühlatmosphäre, die Ihnen das Gefühl gibt, gut aufgehoben zu sein.
- Dank unserer 16 Diagnostikzentren in Deutschland und einem Standort in der Schweiz sind wir immer in Ihrer Nähe und leicht erreichbar.
- Eine unkomplizierte Terminvereinbarung online auf unserer Website in nur 4 Schritten.
Bei Beyond Imaging stehen Sie als Patient*in im Mittelpunkt. Unser professionelles Team kümmert sich einfühlsam um Ihre Bedürfnisse. Wir vertrauen darauf, dass Sie als Patienten und Ihre Zufriedenheit das Herzstück unserer Arbeit sind.
Unser Beyond Imaging Team ist für Sie da!
Wie lange dauert eine MRT HWS?
Die Dauer einer MRT der Halswirbelsäule liegt bei 15-25 Minuten. Die Dauer ist von der medizinischen Fragestellung abhängig. Es handelt sich hierbei um die reine Untersuchungszeit. Die Vorbereitung und Nachbereitung für die MRT HWS nimmt zusätzlich etwas Zeit in Anspruch. Planen Sie hierfür bitte genügend Zeit ein.
Wie viel kostet eine MRT der Halswirbelsäule?
Prinzipiell kann man keine Pauschalpreise nennen. Medizinische Fragestellungen unterscheiden sich und benötigen unterschiedliche MRT-Einstellungen. Die Preise variieren von Diagnostikzentrum zu Diagnostikzentrum und können Arztabhängig sein. Die Preise für eine MRT der Halswirbelsäule beginnen bei 425 Euro.


