Eine Magnetresonanztomographie der Hand, auch MRT Hand genannt, ist ein bildgebendes Verfahren, das mithilfe von Magnetfeldern detaillierte Bilder der Hand und des Handgelenks erzeugt. Die MRT Hand wird häufig eingesetzt, um Verletzungen, Entzündungen oder andere Probleme im Handbereich präzise zu diagnostizieren. Die MRT der Hand ist besonders nützlich, da sie im Gegensatz zu Röntgenaufnahmen auch Weichteile wie Muskeln, Sehnen und Bänder sichtbar macht.
Laut der gewerblichen Berufsgenossenschaft betreffen 40% der Arbeitsunfälle die Hand. Handverletzungen sind demnach nicht nur Sportverletzungen geschuldet. Zu den Verletzungen zählen Knochenbrüche, Bänder- oder Sehnenrisse oder Gelenkluxationen. Aufgrund der vielen Funktionen der Hand entstehen dadurch häufig auch komplexere Verletzungen. Eine Hand MRT dient nicht nur zur Diagnosestellung, sondern kann vor OPs eingesetzt werden oder zur Beurteilung des Heilungsprozesses.
Beschwerden oder Schmerzen der Hand
Bei Beschwerden oder Schmerzen an der Hand, bzw. am Handgelenk steht die Ursachenfindung an oberster Stelle. Denn hinter der Vielzahl an Symptomen steht eine ähnliche Menge an möglichen Erkrankungen und Ursachen für die jeweiligen Beschwerden. Die Untersuchungsmethode der Wahl ist hierbei kann eine MRT der Hand sein.
Diese kann insbesondere bei den folgenden Symptomen sinnvoll sein:
- Schmerzhafte Bewegungseinschränkung
- Schmerzen in Ruhe
- Einschießende, unklare Schmerzen
- Schwellungen oder Verhärtungen im Bereich der Hand oder Handgelenke
Was ist eine MRT von der Hand?
Eine MRT der Hand wird häufig zur Diagnose und Bewertung verschiedener medizinischer Zustände eingesetzt, darunter:
- Arthrose: Eine degenerative Gelenkerkrankung, bei der der Knorpel im Gelenk abgebaut wird, was zu Schmerzen und Bewegungseinschränkungen führt. Die Hand MRT kann frühzeitige Veränderungen des Knorpels und der umliegenden Strukturen sichtbar machen.
- Arthritis: Eine entzündliche Gelenkerkrankung, die zu Schwellungen, Schmerzen und Steifheit führt. Die MRT Hand kann Entzündungen und Schädigungen der Gelenkstrukturen detailliert darstellen.
- Traumafolgen: Verletzungen durch Unfälle oder Stürze, wie Frakturen, Bänderrisse oder Sehnenverletzungen1. Die MRT der Hand ist sehr genau und hilft dabei, selbst kleinste Verletzungen zu identifizieren.
- Tumoren: Sowohl gutartige als auch bösartige Tumoren können im Bereich der Hände auftreten. Eine MRT Hand hilft dabei, die genaue Lage und Ausdehnung des Tumors zu bestimmen, was für die weitere Behandlung entscheidend ist.
Was sieht man bei einer MRT der Hand?
Eine MRT der Hand liefert detaillierte Bilder aller vorhandenen Strukturen, darunter Knochen, Knorpel, Muskeln, Sehnen, Bänder und Nerven. Eine Hand MRT ermöglicht das Erkennen von Entzündungen, Schwellungen, Flüssigkeitsansammlungen, Rissen und anderen strukturellen Veränderungen und ermöglicht durch hochwertige Bildauflösung eine präzise Diagnose.
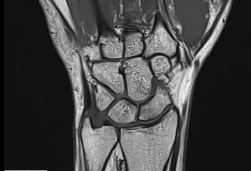
MRT Hand Bilder




MRT Hand – wie läuft das ab?
Vor der Untersuchung
- Es hilft zum MRT-Termin der Hand bequeme und metallfreie Kleidung zu tragen
- Bei Betreten unseres Beyond Imaging Diagnostikzentrums werden Sie herzlich begrüßt
- Es kann nötig sein, Anamnesebogen und weitere Formulare auszufüllen
- Falls Sie Implantate im Körper tragen, bringen Sie bitte zu Ihrem MRT Hand Termin Ihren Implantatausweis oder Herstellerinformationen mit
- Wenn Sie zum Untersuchungsraum gebeten werden, ist es wichtig, in Ihrer persönlichen Kabine alle metallhaltigen Gegenstände am Körper abzulegen, darunter: Brille, Schmuck und Piercings, Zahnprothesen, Uhr, BHs etc.
- Unser geschultes Personal vor Ort wird Sie vor der Untersuchung nochmal aufklären und ist für Sie da: bei Fragen, Sorgen oder Ängsten
Während der Untersuchung
- Für die Untersuchung werden Sie auf einer unserer fahrbaren Untersuchungsliegen platziert
- Die MRT Hand Untersuchung findet in Bauchlage statt
- Den Arm müssen Sie dabei ausgestreckt über dem Kopf halten
- Sie werden von unserem medizinischen Personal so bequem wie möglich gelagert und gepolstert
- Sie erhalten zudem eine Notfallklingel in die Hand, die Sie in jeder Situation betätigen können
- Um die Klopfgeräusche, während der Hand MRT zu minimieren, erhalten Sie Kopfhörer, die den Lärm dämpfen und auf Wunsch Ihre Musik abspielen
- Sie werden mit dem Kopf voran am MRT-Gerät platziert
- Während der gesamten Untersuchungsdauer werden Sie über ein Untersuchungsfenster beobachtet, sodass Sie sich jederzeit sicher fühlen können
Bei Angst vor der MRT sprechen Sie uns gerne jederzeit an!
Nach der Untersuchung
- Sie können nun alle abgelegten Gegenstände und Kleidungsstücke wieder anlegen
- Zum Erhalt der Bilder erhalten Sie entsprechende Informationen im jeweiligen Diagnostikzentrum
Hand MRT – wie weit in die Röhre?
Während der MRT der Hand werden Sie in Bauchlage untersucht. Je nach Körpergröße, werden Sie nicht vollständig von der MRT-Röhre umgeben sein, jedoch wird Ihr Oberkörper im Röhrenbereich liegen. Unsere MRT-Geräte bei Beyond Imaging verfügen über einen überdurchschnittlich großen Röhrendurchmesser von 70cm (herkömmliche MRT-Geräte haben einen 60cm Durchmesser). Zudem ist die Röhrenlänge unserer MRT-Geräte in unseren über 16 Diagnostikzentren stark verkürzt. Diese Eigenschaften ermöglichen den höchsten Komfort für unsere Patienten. Bei Sorgen oder Ängsten sind wir jederzeit vor Ort für Sie da!

MRT Hand Dauer
Die reine Scanzeit, also MRT-Untersuchung der Hand, dauert 15-25 Minuten. Die Dauer ist abhängig von Ihrer individuellen medizinischen Fragestellung und variiert daher. Bitte beachten Sie, dass Sie für die Vor- und Nachbereitung der MRT-Untersuchung genug Zeit einplanen.
Hand MRT Kosten
Es ist wichtig anzumerken, dass es sich hier nicht um Pauschalpreise handelt. Kosten für eine MRT-Untersuchungen können je nach Umständen variieren und sind häufig von der medizinischen Fragestellung abhängig. Die Kosten für Selbstzahler beginnen bei einer MRT Hand bei 260Euro. Bitte beachten Sie, dass sich die Kosten auch zwischen den Beyond Imaging Standorten unterscheiden.


