Eine Magnetresonanztomographie des Fußes, auch MRT Fuß genannt, ermöglicht die bildliche Darstellung der Strukturen im Fußinneren. Diese dient dazu, Veränderungen, Störungen oder Verletzungen im Fußbereich zu erkennen und zu beurteilen. Zusätzlich dient eine Fuß MRT dem Erkennen und Einschätzen von funktionellen Auswirkungen. Insbesondere eignet sich eine MRT Fuß zur Begleitung und Überwachung von Heilungsprozessen.
Verletzungen des Sprunggelenks und des Fußes gehören zu den häufigsten traumatologischen Krankheitsbildern und sind ursächlich für jede 3. Vorstellung in einer chirurgischen Notaufnahme weltweit.
Was ist eine MRT Fuß?
Eine MRT (Magnetresonanztomographie) des Fußes ist eine nicht-invasive diagnostische Bildgebungstechnik, die detaillierte Bilder der inneren Strukturen des Fußes liefert. Die MRT nutzt starke Magnetfelder und Radiowellen, um Schnittbilder der Gewebe im Fuß zu erzeugen, ohne dass ionisierende Strahlung (wie bei Röntgenstrahlen) verwendet wird. Die MRT Fuß ist hierbei ungefährlich und schmerzfrei.
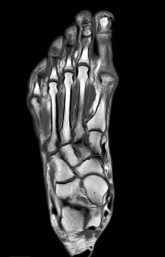
Was sieht man in einer MRT Fuß?
Auf einer MRT-Aufnahme können:
- Fraktur
- Tumor
- Arthrose
ausgeschlossen oder diagnostiziert werden, die in vorherigen Bildgebungsverfahren (z.B. Röntgen und CT) nicht eindeutig sichtbar waren.
Eine MRT des Fußes liefert detaillierte Bilder der verschiedenen Gewebetypen und Strukturen im Fuß, weswegen eine MRT am Fuß oftmals zum Ausschluss bzw. zur genauen Diagnostik von Verletzungen dient.
Beurteilt werden können:
- Knochen
- Gelenke
- Weichteile
- Nerven
- Entzündungen und Infektionen
- Tumore und Zysten.
Fuß MRT Bild, verschiedene Perspektiven




Ablauf MRT Fuß
Vorbereitung
- Ausfüllen von Anamnesebogen und ggf. weiteren Formularen
- Falls vorhanden: Medikamentenplan, Implantat-Ausweis etc. vorzeigen
- Tragen von bequemer Kleidung sorgt für Komfort
- Ablegen aller metallischen Gegenstände am Körper, z.B. Schmuck, Uhr, Brille etc.
- Bei orthopädischen Implantaten z.B. Gelenkprothesen, Schrauben etc., die vor weniger als 6 Wochen implantiert wurden, kann keine MRT-Untersuchung durchgeführt werden
Während der Untersuchung
- Untersuchung findet im Liegen statt, bei einer MRT Fuß wird der betroffene Fuß in eine Fußspule platziert und fixiert
- Freie Gelenke werden unterpolstert mit Kissen oder ähnlichem
- Patienten werden so angenehm wie möglich gelagert
- Notfallklingel, die jederzeit betätigt werden kann, insbesondere bei Unwohlsein, wird in der Hand platziert
- Anlegen von Kopfhörern für Lärmschutz, darüber ist es ebenfalls möglich, selbstgewählte Musik zu hören
- Fahrbare Liege wird in Untersuchungsraum gefahren und Patienten werden mit den Füßen voraus am MRT-Gerät platziert
- Beginn der Untersuchung
- MRT Fuß Dauer 15-20 Minuten
Nach der Untersuchung
- Anlegen aller abgelegten Kleidungsstücke
- Erhalt der MRT-Bilder unterscheidet sich je nach Diagnostikzentrum, Sie werden vor Ort über den weiteren Prozess informiert
Wie weit in die Röhre beim MRT Fuß?
Diese Frage stellt man sich bei jeder Untersuchung, da eine umschließende Röhre ein Engegefühl, sowie Sorgen auslösen kann. Sie werden während der gesamten Untersuchungszeit über ein Fenster im Untersuchungsraum überwacht. Zusätzlich können Sie sich mittels einer Notfallklingel jederzeit beim Personal melden. Vor der Untersuchung können Sie uns über mögliche Sorgen und Ängste informieren. Unser einfühlsames Personal ist jederzeit für Sie da. Bei einer Fuß MRT werden Sie mit den Füßen voran an die MRT-Röhre gefahren. Wie weit Sie in die Röhre müssen, ist von Ihrer Körpergröße abhängig. Der Kopf, sowie der Brustbereich liegt in den meisten Fällen jedoch frei. Dies ermöglicht Ihnen ein freieres Gefühl.
MRT Fuß Platzangst
Haben Sie Angst vor der MRT? Damit sind Sie nicht allein. Es kommt vor, dass Patienten mit Angst vor der Enge, sehr zögerlich bei MRT-Untersuchungen reagieren. Unser medizinisches Personal vor Ort begleitet Sie während des gesamten Untersuchungsprozesses und klärt Fragen. Unser Team ist jederzeit für Sie da und immer in Ihrer Nähe. Zusätzlich haben unsere MRT-Geräte einen überdurchschnittlich großen MRT-Röhrendurchmesser von 70cm (herkömmlich liegt dieser bei 60cm). Außerdem ist die MRT-Röhre weitestgehend verkürzt. Bei der MRT Fuß Untersuchung liegen Kopf, sowie Brustbereich frei und ermöglicht Ihnen Freiraum und Komfort.
Wie lange dauert eine MRT Fuß?
Die Dauer einer MRT am Fuß liegt bei 15-20 Minuten. Dies bezieht sich ausschließlich auf die reine Scanzeit. Die Wartezeit, sowie die Vorbereitung auf eine Fuß MRT müssen bei der Planung eines MRT-Termins zusätzlich berücksichtigt werden.
MRT Fuß Kosten
Bitte beachten Sie: hierbei handelt es sich nicht um einen Pauschalpreis. Preise für MRT-Untersuchung unterscheiden sich je nach medizinischer Fragestellung, Dauer und ärztlicher Betreuung. Für Selbstzahler beginnt der Preis für eine MRT Fuß Untersuchung bei 260Euro. Des Weiteren variieren die Kosten in jedem Beyond Imaging Diagnostikzentrum.


