Zum Inhalt springen
Beyond Imaging Logo Standard neg
Termin buchen

MRT Becken

Diagnostik | MRT Untersuchungen

MRTBecken

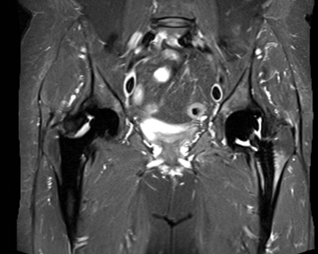
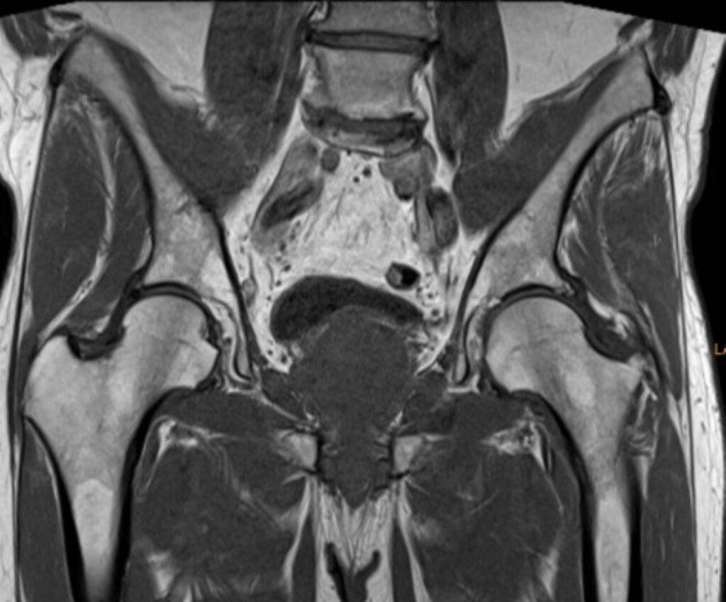
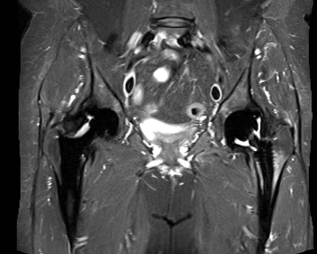
Die Magnetresonanztomographie des Beckens, kurz MRT Becken genannt, ermöglicht es den Bereich des Beckens bildlich darzustellen. Hierbei ist nicht nur der knöcherne Teil des Beckens zu sehen, sondern auch Gelenke und insbesondere Organe, die sich im Beckenbereich befinden. Die MRT Becken ermöglicht strahlenfreie und präzise Bildgebung.

Das Becken ist die zentrale Verbindung zwischen unseren Beinen und dem Rest des Bewegungsapparats. An die Beine schließt das Hüftgelenk an und an die Wirbelsäule das sogenannte Iliosakralgelenk. Das Becken ist von zahlreichen Muskeln und Bändern umgeben, die für das Gehen und Stehen unerlässlich sind. Im Beckenbereich, insbesondere auf einer Magnet-, oder Kernspintomographie zu sehen, befinden sich die Nieren, Harnblase, ein Teil des Darms, unsere Geschlechtsorgane und Weichteilstrukturen, sowie Blutgefäße. Bei Beschwerden im Beckenbereich kann eine Magnetresonanztomographie (MRT) des Beckens diagnostisch hilfreich sein.

Die Magnetresonanztomographie (MRT) des Beckens

Bei der Magnetresonanztomographie, kurz MRT, handelt es sich um eine bildgebende Untersuchung, bei der die Strukturen des Beckens und der darin befindlichen Organe ohne Strahlung dargestellt werden können. Im Gegensatz zum herkömmlichem Röntgen und der Computertomographie werden bei der MRT starke Magnetfelder und Radiowellen zur Aufnahme der Bilder verwendet. Darüber hinaus ermöglicht dies sehr detaillierte, hochauflösende Bilder. Die MRT-Untersuchungen sind schmerzfrei und ungefährlich.

Die Magnetresonanztomographie überzeugt durch ihren hohen Weichteilkontrast. Damit eignet sich dieses bildgebende Verfahren ideal zur Beurteilung von Tumoren, Entzündungen und Nekrosen von Knochen, Weichteilen und Organen sowie von Schäden am Kapselbandsystem der Gelenke und inneren Gelenkverletzungen. 

Der Körper wird zweidimensional Schicht für Schicht gescannt, wodurch zahlreiche Querschnittsbilder entstehen. Diese werden dann am Computer übereinander geschichtet, sodass ein dreidimensionaler Eindruck entsteht. Auch rechnerisch ist eine exakte 3D-Rekonstruktion möglich, sodass die in der MRT entstandenen Bilder anschließend aus jedem Blickwinkel betrachtet werden können. Anhand dieser MRT Bilder können verschiedenste Strukturen und Funktionen des Beckens und Körperinneren detailliert beurteilt werden.

MRT Becken

Man unterscheidet zwischen: MRT des knöchernen Beckens, MRT des weiblichen Beckens, sowie einer MRT Prostata

MRT Becken, was sieht man?

Eine MRT des Beckens kann anatomische Strukturen und insbesondere Gewebe darstellen.

Dazu gehören:

  • Beckenknochen: Der Knochen des Beckens wird einschließlich des Beckenrings, Kreuzbeins und der Hüftgelenke detailliert dargestellt. Insbesondere bei Arthrose in der Hüfte ist dies hilfreich.
  • Weichteilstrukturen: Im Beckenbereich befinden sich Muskeln, Sehnen, Bänder und Faszien. Sollte es hier zu Verletzungen oder Erkrankungen der jeweiligen Struktur gekommen sein, kann dies in einem MRT Bild sichtbar sein.
  • Harntrakt: In der MRT sind Nieren, Harnleiter und Harnblase zu sehen. Diese gehören zu den Organen der Harnwege.
  • Geschlechtsorgane: Die Darstellung der geschlechtsspezifischen Organe ist ebenfalls durch eine MRT des Beckens möglich. Hierbei sind Gebärmutter, Eierstöcke, sowie Eileiter oder die Prostata sichtbar. Die MRT Becken unterstützt die Früherkennung von Anomalien, die Diagnostik und kann der Verlaufskontrolle dienen.
  • Lymphknoten: In unserem Leistenbereich, der im Beckenbereich liegt, befinden sich Lymphknoten. Die MRT des Beckens kann bei der Beurteilung von lymphatischen Erkrankungen, sowie Metastasen hilfreich sein.

Wann ist eine MRT Becken notwendig?

Das knöcherne Becken besteht aus den beiden Hüftknochen (Ossa coxae) und dem Kreuzbein (Os sacrum), die zusammen den sogenannten Beckengürtel bilden. Hinten (dorsal) sind die Hüftknochen über kaum bewegliche Gelenke sehr fest mit dem Kreuzbein verbunden. Vorne (ventral) stehen die beiden Hüftknochen über die Schambeinfuge in Kontakt. Die Schambeinfuge ist eine knorpelige Verbindung.

Unser knöchernes Becken kann in zwei Abschnitte unterteilt werden: das große Becken oberhalb der sogenannten Beckeneingangslinie und das kleine Becken unterhalb dieser Linie. Das große Becken enthält Teile des Dünn- und Dickdarms, während sich im kleinen Becken bei Frauen der Mastdarm, die Harnblase, die Eierstöcke, die Gebärmutter und die Vagina und bei Männern die Prostata befindet.

Knochen, Gelenke, Muskeln und Organe des Beckens können mittels MRT ohne Strahlenbelastung dargestellt werden. Auf diese Weise können verschiedenste Veränderungen oder Verletzungen erkannt und beurteilt werden. 

Dementsprechend kann die MRT bei verschiedenen Verdachtsdiagnosen die bevorzugte bildgebende Untersuchung sein:

  • Einstufung gutartiger oder bösartiger Tumore
  • Entzündliche Darmerkrankungen (z. B. Morbus Crohn, Colitis ulcerosa)
  • gynäkologische Erkrankungen (z. B. Endometriose, Ovorialkarzonom, Zervixkarzinom)
  • Ursache für Stuhl- und Harninkontinenz
  • Prostataerkrankungen (z. B. gutartige Prostatahyperplasie, Prostatakrebs)
  • Diagnose von Darmfisteln
  • Leistenbruch
  • Funktionsstörung des Beckenbodens

Aufgrund der engen anatomischen Verhältnisse ist eine engmaschige Überwachung insbesondere bei bösartigen Erkrankungen im Beckenbereich wie Tumore der Gebärmutter, der Eierstöcke, der Prostata und des Mastdarms unerlässlich. So können Ausmaß und mögliche Größenzuwächse frühzeitig abgeschätzt und erkannt werden. Die MRT ermöglicht es, ohne ionisierende und schädliche Strahlung einen Krankheitsverlauf stätig zu begleiten.

Auch vor möglichen chirurgischen Eingriffen kann eine MRT des Beckens notwendig sein, um vorab die genauen Umgebungsbedingungen zu kennen. Aufgrund des hohen Weichteilkontrasts ist bei Untersuchungen des Beckens meist die MRT Becken die Methode der Wahl, da sich so die Organe und umliegenden Strukturen optimal voneinander unterscheiden lassen.

MRT Becken

Unklare Beschwerden im Beckenbereich?

Vereinbaren Sie jetzt Ihren MRT-Termin für Ihre Beckengesundheit!

Buchen Sie jetzt online in nur wenigen Schritten.

Wie läuft eine MRT Becken Untersuchung ab?

Wenn Sie unter Beschwerden im Becken leiden oder eines Ihrer Organe im Beckenbereich betroffen ist, kann sich Ihr zuständiger Arzt oder Ihre zuständige Ärztin dazu entscheiden, ein MRT Becken zu veranlassen.

Bei Beyond Imaging können Sie Ihren MRT-Termin schnell und unkompliziert in nur 4 Schritten online buchen: Jetzt MRT-Termin vereinbaren.

Vor der MRT-Untersuchung des Beckens werden Sie in unserem Diagnostikzentrum herzlich von unserem Team empfangen. Es kann notwendig sein Anamnesebogen, sowie weitere Formulare auszufüllen.

Anschließend werden Sie von unserem geschulten Personal zu Ihrer MRT Becken Untersuchung begleitet. All Ihre aufkommenden und offenen Fragen können Sie unseren medizinisch-technischen Assistenten stellen. Unser Beyond Imaging Team ist für Sie da, so dass Sie sich bestmöglich vorbereitet und sicher für Ihre MRT-Untersuchung fühlen.

Da es sich bei einer Magnetresonanztomographie (MRT) um ein starkes Magnetfeld handelt, müssen alle metallischen Gegenstände, die Sie an oder bei sich tragen, abgelegt werden. Diese können sein: Brille, Schmuck, Piercings, Gürtel, sowie BH etc.

Für Ihre bevorstehende MRT-Untersuchung des Beckens ist es wichtig, dass Sie unserem Team vor Ort alle relevanten Informationen über etwaige Implantate oder Prothesen mitteilen, die Sie in oder bei sich tragen. Dazu gehören unteranderem: Gelenkprothesen, Zahnimplantate, Insulinpumpen etc. Diese Information ist entscheidend, um sicherzustellen, dass die MRT-Untersuchung sicher und effektiv durchgeführt werden kann. Bringen Sie, falls vorhanden, Ihren Implantatausweis, bzw. Herstellerinformationen zu Ihrem geplanten MRT-Termin mit.

Sollten Sie einen Herzschrittmacher, Defibrillator, Cochleaimplantat, Neurostimulatoren, sowie anderweitige Implantate besitzen, die nicht MR-geeignet sind, ist eine MRT-Untersuchung nicht möglich. Bitte sprechen Sie dies zuvor mit Ihrem behandelnden Arzt oder Ihrer behandelnden Ärztin ab.

MRT Becken – wie weit in die Röhre?

Für eine MRT des knöchernen Beckens liegen Sie auf dem Rücken mit den Füßen voran, dies bedeutet, dass Ihr Kopf möglicherweise bei der Untersuchung frei liegen kann.

Unsere MRT-Geräte bei Beyond Imaging haben den Vorteil, dass der Röhrendurchmesser mit 70 cm überdurchschnittlich groß ist. Das sind 10 cm mehr als bei herkömmlichen MRT-Röhren. Ebenfalls haben unsere Röhren eine verkürzte Röhrenlänge. Dies soll Ihr Wohlbefinden unterstützen und kann insbesondere für Angstpatienten hilfreich sein.

Falls Sie unter Ängsten oder Panik vor der MRT-Untersuchung leiden, lesen Sie bitte zusätzlich unseren Beitrag zu: Angst vor der MRT?

Die MRT-Untersuchung des Beckens ist, wie jede andere MRT-Untersuchung absolut schmerzfrei. Allerdings entstehen durch das Erzeugen von Magnetfeldern laute Klopfgeräusche. Diese Geräuschkulisse versuchen wir für Sie zu minimieren, indem Sie die Möglichkeit haben Ohropax zu erhalten. Darüber hinaus erhalten all unsere Patienten Kopfhörer, die diese Geräusche dämpfen und minimieren. Falls Sie wünschen, haben Sie die Möglichkeit Ihre eigens ausgewählte oder mitgebrachte Musik über die Kopfhörer zu hören.

Wenn Sie sich auf der Untersuchungsliege positioniert haben, werden Sie durch Polsterung und Kissen unterstützt, damit Sie möglichst bequem liegen. Es ist wichtig, dass Sie sich während der gesamten Untersuchungsdauer nicht bewegen, da so die Bildqualität deutlich minimiert wird und MRT-Bilder im schlimmsten Fall nicht auswertbar sind.

Sie erhalten eine Notfallklingel in die Hand. Diese können und sollten Sie jederzeit betätigen, wenn Sie sich unwohl fühlen oder etwas unangenehm sein sollte. Unser medizinisches Personal ist während der gesamten MRT-Untersuchung in Ihrer Nähe und überwacht Sie über ein Fenster im Untersuchungsraum. Daher sind wir Ihnen gleich zur Stelle, sollte irgendetwas sein.

Je nach Fragestellung kann bei einer Becken MRT Kontrastmittel notwendig sein. Hierzu werden Sie jedoch im Vorhinein von Ihrem Arzt oder Ihrer Ärztin informiert und aufgeklärt. Kontrastmittel wird häufig zum Ausschluss und zur Unterscheidung gutartiger oder bösartiger Veränderungen eingesetzt. Dazu wird vor der Untersuchung das entsprechende Kontrastmittel über einen Venenzugang verabreicht. In seltenen Fällen kann Kontrastmittelgabe zu Unwohlsein, bis hin zu einer allergischen Reaktion führen. Sollte es dazu kommen, zögern Sie nicht den Notfallball zu betätigen.

Unserem Beyond Imaging Team ist es wichtig, dass Sie sich zu jedem Zeitpunkt sicher und wohl fühlen, weshalb Sie uns gerne bei Fragen, Sorgen oder Unwohlsein vor, während und nach der MRT-Untersuchung ansprechen können.

Wie lange dauert eine MRT Becken?

Je nach medizinischer Fragestellung kann eine Becken MRT 30-45 Minuten dauern. Hiermit ist die reine Scanzeit gemeint. Vor- und Nachbereitung der MRT Becken Untersuchung nimmt ebenfalls Zeit in Anspruch. Bitte planen Sie genügend Zeit für Ihren MRT-Termin ein.

Kosten – MRT Becken

Auf Grund der vielen zu berücksichtigenden Faktoren, ist es nicht möglich einen Pauschalpreis zu nennen. Insbesondere gilt hier zu beachten: was soll in der MRT Becken dargestellt werden? Dementsprechend können die Preise variieren.

Die Kosten für eine MRT Becken beginnen bei 375Euro. Die Kosten für eine MRT Prostata hingegen beginnen ab 610Euro. Bitte beachten Sie, dass die Preise je nach Diagnostikzentrum und Arzt oder Ärztin variieren können.

Was wir Ihnen bei Beyond Imaging bieten

Diagnostikzentren16 Zentren deutschlandweit und eins in der Schweiz
Unser VersprechenWohlfühlatmosphäre
StandorteZentral
ErreichbarkeitÖVPN, je nach Standort Parkmöglichkeiten
TerminvereinbarungJederzeit online möglich
AusstattungModernste MRT-Geräte
MRT-GeräteÜberdurchschnittlich großer Röhrendurchmesser mit 70 cm, sowie verkürzte Röhrenlänge

Unser Beyond Imaging Team ist für Sie da!

    Quellen

    Beyond Imaging Logo Standard neg

    Bei Beyond Imaging verbinden wir Präzision mit Menschlichkeit. Unsere Mission ist es, Diagnostik weiterzudenken – als vernetzte Erfahrung, die moderne Bildgebung, digitale Prozesse und persönliche Begleitung verbindet.

    So schaffen wir Lösungen, die sich nahtlos in bestehende Versorgungskonzepte integrieren lassen – klar strukturiert, medizinisch fundiert und spürbar entlastend. Verständliche Ergebnisse und sichere Entscheidungen für ein langes, erfülltes und gesundes Leben.

    Patienten

    Standorte

    Online-Termin

    Patientenportal

    Fragen (FAQ)

    Kontakt für Patienten

    Partner

    Ärzteportal

    Partner

    Kontakt für Partner

    Beyond Imaging

    Über uns

    Karriere

    Presse

    Impressum

    Datenschutz