Gibt es eine nicht-invasive Möglichkeit, die Gesundheit der Gefäße zu beurteilen? Ja, mit Hilfe einer MRT Angiographie.
Unsere Gefäße sorgen zusammen mit dem Herz dafür, dass Blut in jede noch so entfernte Region unseres Körpers gelangt. So wird die Versorgung aller Gewebe mit Sauerstoff und Nährstoffen sichergestellt und es können Abbauprodukte aus dem jeweiligen Gewebe abtransportiert werden.
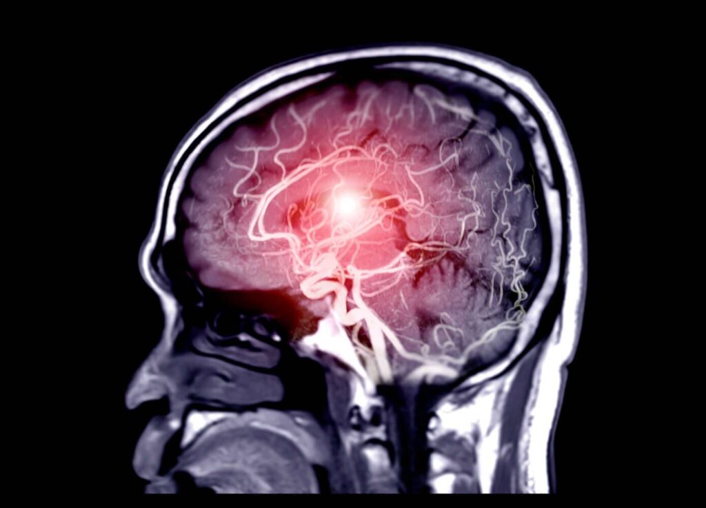
Blick in die Röhren: Die MRT Angiographie
Ein Blick ins Körperinnere kann dann zur genaueren Beurteilung hilfreich sein – und genau das ermöglicht die MRT Angiographie Magnetresonanzangiographie (MR-Angiographie, MRA).
Die röhrenförmigen, innen hohlen Gebilde bilden in unserem Körper ein zusammenhängendes Netz, in dem das Blut zusammengerechnet rund 150.000 Kilometer zurücklegen könnte.
Hintereinander geschaltet ließe sich damit beinahe 4-mal die Erde umrunden – kein Wunder, dass es auf dieser Strecke auch mal zu Problemen kommen kann. Häufig handelt es sich dabei um Gefäßverengungen, sogenannte Stenosen, beispielsweise im Rahmen einer Arteriosklerose.

Schonend und präzise – die MRT Angiographie als Alternativmethode
Früher mussten zur Beurteilung der Gefäße Katheter über Arterien oder Venen in die zu untersuchende Körperregionen vorgeschoben werden, was nicht nur ein invasives Vorgehen bedeutete, sondern auch mit der Gefahr der Gefäßverletzung (Blutung) oder der Embolie (Schlaganfall) einherging. Doch diese Gefahren müssen heute zur Betrachtung der Gefäße nicht mehr eingegangen werden, denn die MRT-Angiographie bietet eine schonende und hochpräzise Alternative.
Die MRT-Angiographie basiert prinzipiell auf der Methode der Magnetresonanztomographie (MRT). Es werden also gänzlich ohne den Einsatz von Röntgenstrahlung Schnittbilder des Körperinneren mittels starker Magnetfelder und Radiowellen angefertigt. Diese zweidimensionalen Bilder können anschließend am Computer übereinandergelegt werden, wodurch ein dreidimensionaler Eindruck entsteht. Bei der MRT -Angiographie liegt dabei allerdings der besondere Fokus auf den Blutgefäßen.
Um die Gefäße möglichst detailliert abbilden zu können, ist meist die Injektion von Kontrastmittel notwendig. In der Regel wird hierfür ein gadoliniumhaltiges Kontrastmittel über einen zuvor gelegten Venenzugang gespritzt. Dieses reichert sich dann in den Blutbahnen an, sodass diese auf den MR-Aufnahmen dann deutlich heller erscheinen als die umliegenden Gewebe.
Da die MRT eine hochpräzise Untersuchungstechnik ist, lassen sich so bereits kleinste Veränderungen sicher erkennen. Zusätzlich kann durch eine computergestützte Bildsubtraktion anschließend auch ein 3D-Datensatz erzeugt werden, welcher nur noch die Gefäße enthält. So können diese isoliert vom Rest des Körpers bis ins letzte Detail unter die Lupe genommen werden.
Doch auch eine Gefäßdarstellung gänzlich ohne Kontrastmittel ist inzwischen möglich. Die am weitesten verbreitete Methode hierfür ist die sogenannte „Time-of-flight“-MRT-Angiographie (TOF-MRA). Dabei nutzt man aus, dass das gerade einfließende Blut eine deutlich größere Magnetisierung aufweist als das partiell gesättigte umliegende Gewebe und damit auf den MRT-Bildern heller erscheint.
Entscheidend ist dabei allerdings, dass die Aufnahmeebene der MRA senkrecht zu den darstellenden Blutgefäßen ausgerichtet ist, damit immer wieder ungesättigtes Blut in die Messschicht einfließt und so der Kontrast sichtbar gemacht werden kann. Allerdings können Atembewegung bei diesem Verfahren besonders störend sein, weshalb sich die TOF-MRA insbesondere bei der Darstellung der intrakraniellen Gefäße bewährt hat.
Eine alternative Möglichkeit, die Gefäße ohne Kontrastmittel besonders hervorzuheben, bildet die Phasenkontrast(PC)-MRA. Wie der Name schon sagt, basiert dieses Verfahren auf der Darstellung von Darstellung von Phasenunterschieden in verschiedenen Bildern. Dementsprechend werden für PC-MRA-Messungen immer mindestens zwei Messungen benötigt, was die Messzeit gegenüber der TOF-MRA mindestens verdoppelt. Daher hat sich die PC-MRA in der klinischen Routine kaum durchgesetzt.
In diesen Fällen kann eine MRA indiziert sein
Die MRT -Angiographie ermöglicht die präzise Darstellung unserer Blutgefäße. Nicht nur große Schlagadern, sondern auch kleinste Gefäße lassen sich mit dieser Methode zuverlässig abbilden und beurteilen. Daher gibt es auch unterschiedliche Szenarien in denen eine MRA diagnostisch sinnvoll sein kann. Meist kommt die MRA zum Einsatz um Gefäßverengungen (Stenosen) oder -aussackungen, sogenannte Aneurysmen, auszuschließen. Darüber hinaus gibt es je nach Körperabschnitt noch weitere, spezifische Indikationen:
- MRT -Angiographie der Hirngefäße
- Verdacht auf einen Schlaganfall
- Verdacht auf Gefäßanomalien, Hirnvenen- oder Sinusthrombosen
- Zur Therapieplanung und Verlaufskontrolle, beispielsweise bei Tumor-Operationen
- Unklare Kopfschmerzen, wenn bereits eine adäquate Ausschlussdiagnostik erfolgt ist
- MRT -Angiographie der Halsgefäße
- Schwindelabklärung nach Ausschlussdiagnostik
- Verdacht auf eine arterielle Gefäßläsionen bei einer transitorisch-ischämischen Attacke (TIA)
- Verdacht auf einen Schlaganfall
- Therapieplanung bei tumorösen Veränderungen
- MRT -Angiographie der thorakalen Aorta und ihrer Abgänge
- Verdacht auf Gefäßanomalien
- Bei begründetem Verdacht auf eine Lungenembolie, insbesondere wenn eine CT- oder Katheter-Angiographie kontraindiziert ist, sowie bei Kindern, Jugendlichen und Schwangeren
- Therapieplanung bei tumorösen Veränderungen
- MRT -Angiographie der abdominalen Aorta und ihrer Äste
- Ausschluss oder der Ausmaßbestimmung einer Nierenarterienverengung
- Darstellung der Leberarterien zur Therapieplanung
- Darstellung der Beckenarterien vor möglicher Nierentransplantation
- Bluthochdruck
- MRT-Angiographie der Venen
- Obere Einflussstauung
- Verdacht auf eine Thrombose, insbesondere bei einliegendem Katheter und Kontraindikationen zur CT-Angiographie
- Darstellung der Lebervenen zur Therapieplanung
- MRT-Angiographie der Becken- und Beinarterien
- periphere arterielle Verschlusskrankheit (PAVK)
- Darstellung von Bypassgefäßen
- MRT-Angiographie der Armarterien
- Verdacht auf ein thoracic outlet syndrom (TOA)
Darüber hinaus ist auch eine MRT Angiographie des gesamten Körpers, die sogenannte Ganzkörper-Angiographie möglich.
So läuft eine MRA ab
Je nach Fragestellung und dem zu untersuchenden Körperabschnitt dauert eine MR-Angiographie zwischen 20 und 45 Minuten. Ist ein Kontrastmittel erforderlich, wird Ihnen dieses über eine Vene gegeben. Dafür wird Ihnen vorab ein Venenzugang meist in der Armbeuge oder auf dem Handrücken gelegt.
Für die Untersuchung liegen Sie auf dem Rücken auf einem Untersuchungstisch. Sie werden anschließend mit den Füßen voran in die Mitte der Röhre gefahren.
Außer bei einer Gefäßdarstellung im Hals- und Kopfbereich, ist ihr Kopf während der Untersuchung überwiegend außerhalb der Röhre. Die Radiologen und Assistenten befinden sich während des Scans in einem Nebenraum, Sie können allerdings jederzeit über eine Gegensprechanlage Kontakt aufnehmen.
Zudem erhalten Sie eine Notfallklingel, mit der Sie sich jederzeit bemerkbar machen können, falls Ihnen unwohl wird. Damit die Aufnahmen gut beurteilbar sind, ist es extrem wichtig, dass sie während der gesamten Untersuchungsdauer möglichst ruhig liegen.
Für die MRT-Angiographie gilt wie für jede andere MRT-Untersuchung: Möglichst kein Metall in oder am Körper. Dementsprechend kann eine MRA bei metallischen Implantaten, die nicht MRT-tauglich sind, unmöglich sein. Dazu zählen beispielsweise:
- Herzschrittmacher und Defibrillatoren
- Cochlea-Implantate
- Neurostimulatoren
- implantierte Insulinpumpen
- Blasenschrittmacher
- diverse Gelenkprothesen bzw. Metallimplantate zur Knochenstabilisierung
- Zahnimplantate
- kupferne Verhütungsspiralen
Im Einzelfall wird dies allerdings Ihr behandelnder Arzt vor der MRT Angiographie Untersuchung abklären. Auch größere Tätowierungen und Permanent-Make-up können zum Problem werden, sofern metallhaltige Farbstoffe verwendet wurden. Sonstiges Metall wie Brillen, Uhren, Schmuck, Haarnadeln, Piercings, Kleidung mit Gürtelschnallen, BHs mit Bügeln müssen Sie vor der Untersuchung ablegen.
Sollte bei Ihnen eine Kontrastmittelunverträglichkeit bekannt sein, sprechen Sie dies unbedingt vorab bei Ihrem Arzt an. Gleiches gilt für bekannte Einschränkungen der Nierenfunktion. In diesem Fall wird vor der Angiographie Untersuchung der sogenannte Kreatininwert bestimmt, um einschätzen zu können ob eine Kontrastmittelgabe komplikationslos möglich ist oder besser darauf verzichtete werden sollte.
Ansonsten sind für eine Angiographie MRT-Untersuchung der Gefäße keine speziellen Vorbereitungen notwendig. Sie müssen nicht nüchtern sein und können Ihre Medikamente wie gewohnt einnehmen. Nach der Angiographie Untersuchung sind Sie in der Regel sofort wieder einsatzfähig und auch fahrtüchtig.

