Die Magnetresonanztomographie des Abdomens, auch als MRT Abdomen bezeichnet, ist ein bildgebendes Verfahren, das magnetische Felder und Radiowellen verwendet, um detaillierte Bilder der inneren Strukturen des Bauchraums zu erzeugen. Der Bereich des Abdomen umfasst Organe wie die Leber, Milz, Bauchspeicheldrüse, Nieren, Magen, Darm.
Die Magnetresonanztomographie (MRT) des Abdomens
Eine MRT Abdomen liefert besonders präzise Bilder des Bauchraums, da dieses Verfahren insbesondere weiche Gewebsstrukturen darstellen kann. Eine Magnetresonanztomographie (MRT oder auch Kernspintomographie genannt) ist ein Bildgebungsverfahren, welches die Darstellung des Körpers in mehreren Schichten und auf mehreren Ebenen ermöglicht.
Grundlage des bei der MRT aufgenommenen Bildes, ist die Ausrichtung der Atomkerne des Körpers in einem starken Magnetfeld. Während einer MRT werden sehr viele dieser Bilder von verschiedenen Schichten des Körpers erstellt, wodurch am Ende diese Einzelbilder zu einem 3-dimensionalen Bild zusammengesetzt werden können. Für Patienten ist dieser Vorgang vollkommen ungefährlich und schmerzfrei.
Bei Beyond Imaging nutzen wir modernste Technologien und MRT-Geräte, die präzise und detaillierte Bilder liefern – für Ihr individuelles Therapieverfahren.

Wann ist eine MRT Abdomen notwendig?
Für eine MRT Abdomen gibt es einige Gründe und medizinische Notwendigkeit, weshalb diese durchgeführt werden sollte.
Diese folgende Liste zeigt medizinische Gründe, für welche eine MRT Abdomen Untersuchung wichtig sein kann:
- Entzündliche Darmerkrankungen
- Pankreatitis
- Leberläsionen
- HCC – Leberkarzinom
- Nierentumore
- Gallenstein
- Unklare Beschwerden im Bauchraum
- Bauchdecken- oder Leistenbrüche
Es gibt unterschiedliche Indikationen, diese fallen oftmals individuell aus. Wichtig ist die Ursache für die Beschwerden zu untersuchen. Hierzu bietet die MRT Abdomen eine ganzheitliche und detaillierte bildliche Aufnahme.
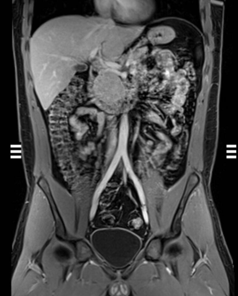
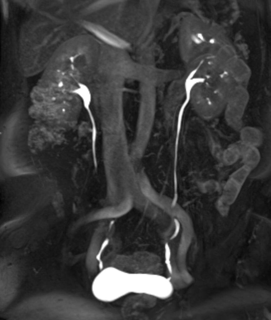
Was kann man auf einer MRT des Abdomens sehen?
Auf einer MRT-Aufnahme sind insbesondere die Organe im Bauchraum sichtbar, da Weichteile in einer MRT sehr gut abgebildet werden können.
Zu sehen und später im weiteren Verlauf beurteilbar sind:
- Leber, Gallengängen, Bauchspeicheldrüse, Nieren und Nebennieren mit Harnleiter, Milz, Becken
Durch die detailreichen Abbildungen können Veränderungen der Organe festgestellt werden, die auf bestimmte Krankheiten schließen lassen – so können beispielsweise Entzündungen oder Gewebsveränderungen im Bauchraum festgestellt werden.
Es kann zwischen gut- und bösartigen Tumoren unterschieden werden. Dies ermöglicht eine genaue Diagnose, woraufhin ein schnelles und geeignetes Therapieverfahren angesetzt werden kann.
Auch bei diffusen und nicht lokalisierbaren Schmerzen im Bauchraum kann eine MRT- Untersuchung Klarheit schaffen.





Wie bereite ich mich auf eine MRT Abdomen vor?
Wenn Sie gesetzlich versichert sind, benötigen Sie unbedingt einen Überweisungsschein für Ihre MRT-Untersuchung.
Vor einer MRT Abdomen sollte in der Regel der Kreatinin-Wert bestimmt werden. Dies müssen Sie im Vorfeld bei ihrem zuständigen Arzt oder Ihrer Ärztin tun. Der Blutwert Kreatinin gibt die Funktionsfähigkeit der Nieren an. Die Kontrastmittelgabe, insofern diese benötigt wird, ist von diesem Wert abhängig und kann nur bei dessen Vorlage erfolgen.
Klären Sie bitte vor Ihrer MRT Abdomen Untersuchung ab, ob Sie nüchtern erscheinen müssen. Nüchtern bedeutet in diesem Zusammenhang, dass Sie einen bestimmten Zeitraum vor der Untersuchung weder essen noch trinken. Falls Sie Medikamente einnehmen, sollte Sie vorher mit Ihrem Arzt oder Ihrer Ärztin besprechen, ob diese vor der Untersuchung eingenommen werden dürfen.
Da ein starkes Magnetfeld erzeugt wird, gibt es klare Gründe, weshalb es nicht möglich sein kann, diese durchzuführen.
Diese Kontraindikationen sind:
- Herzschrittmacher und Defibrillatoren (Abklärung mit zuständigem Arzt oder Ärztin)
- Cochlea-Implantat
- Neurostimulatoren
- Ferromagnetische Metallclips (vorherige Abklärung bzw. Implantatausweis/Herstellerinformationen mitbringen/zusenden)
- Metallsplitter in kritischer Lokalisation
- Implantate die vor weniger als 6 Wochen implantiert wurden, wie z.B. Gefäßstents, Gelenkprotesen, Schrauben etc.
- Schwangerschaft, insbesondere im ersten Trimester
Bitte klären Sie im Vorhinein ab, ob für Sie eine MRT-Untersuchung in Frage kommt.
Ebenfalls ist es hilfreich, wenn Sie am Tag der Untersuchung Ihren Medikamentenplan, Allergiepass sowie Implantatausweis mitbringen, wenn vorhanden.
Ablauf einer MRT Abdomen
Vor der Untersuchung
- Vor der Untersuchung werden Sie gebeten Formulare auszufüllen, darunter befinden sich auch ein Anamnese- und Aufklärungsbogen, hierzu benötigen wir Ihre Unterschrift.
- Sie werden von unserem medizinischen Personal zur Untersuchung aufgerufen und nochmal über die bevorstehende Untersuchung persönlich aufgeklärt, hier können Sie alle Fragen und Sorgen äußern.
- Falls eine Kontrastmittelgabe geplant ist, dann erfolgt diese oral oder über einen Venenzugang – In Abhängigkeit von der Fragestellung und Wünschen des behandelnden Radiologen oder der Radiologin.
- Sie werden gebeten, alle metallhaltigen Gegenstände, die Sie am Körper tragen, zu entfernen: Hörgeräte, Schmuck, Gürtel, Uhr etc.
- Für eine MRT Abdomen kann es hilfreich sein Ihre Kleidung abzulegen, mindestens muss die untere Bekleidung und der BH ausgezogen werden.
Für und während der Untersuchung
Für die Untersuchung werden Sie gebeten, sich auf unsere fahrbare Untersuchungsliege zu legen. Unser geschultes Beyond Imaging Personal unterstützt mit Hilfe von Kissen alle freiliegenden Gelenke, damit Sie bequem und ruhig während der gesamten Untersuchungsdauer liegen können.
Falls eine Kontrastmittelgabe über die Vene notwendig ist, erhalten Sie einen Venenzugang, an dem der Kontrastmittel-Injektor angeschlossen werden kann.
Gegebenenfalls ist zur Entspannung des Darms eine Buscopan-Gabe notwendig. Die Medikamentengabe erfolgt über einen Venenzugang.
Falls Sie unter starker Angst und/oder Klaustrophobie bei einer MRT leiden, ist es ebenfalls möglich, dass Sie von uns ein Beruhigungsmittel erhalten. Bitte sprechen Sie dies rechtzeitig bei unserem Personal an. Das Beyond Imaging Team vor Ort geht individuell auf Sie und Ihre Bedürfnisse ein und bietet Ihnen vollste Unterstützung an.
Mehr zu Angst vor der MRT
Zusätzlich erhalten Sie eine Notfallklingel in Form eines Balls in die Hand. Diese dürfen Sie jederzeit betätigen, insbesondere aber bei Unwohlsein oder ähnlichem.
Das starke Magnetfeld des MRT-Geräts verursacht laute und klopfende Geräusche, deshalb setzten wir Ihnen Kopfhörer auf, die die Geräusche dämpfen. Ebenfalls ist es möglich Ohropax zu erhalten. Über die Kopfhörer gibt es ebenfalls die Möglichkeit Musik oder ähnliches abspielen zu lassen, so dass Sie entspannt die Untersuchung überstehen.
Sie werden mit dem Kopf voran an die MRT-Röhre mit der fahrbaren Untersuchungsliege geschoben. Hierzu positioniert Sie die zuständige Fachkraft.
Bei einer MRT des Abdomens ist es zusätzlich erforderlich, zwischendrin den Atem kurz anzuhalten. Hierzu erhalten Sie als Patient*in von Zeit zu Zeit sogenannte Atemkommandos.
Während der gesamten Untersuchung ist unser medizinisches Personal von Beyond Imaging für Sie da. Wir haben jederzeit Zugang zum Untersuchungsraum und können bei Unwohlsein oder anderen Beschwerden sofort für Sie da sein. Über ein Fenster können wir die jederzeit die Untersuchung beobachten.
Nach der Untersuchung
- Kleidung wieder anlegen
- im Wartebereich Platz nehmen
- über den Erhalt Ihrer MRT Bilder erhalten Sie gesonderte Informationen in Ihrem Diagnostikzentrum
- die MRT Bilder werden Ihrem behandelnden Arzt oder Ihrer Ärztin zugesendet, diese/r ist für die Befundung zuständig
Dauer und Kosten einer MRT Abdomen
Die Dauer der MRT Abdomen beträgt ungefähr 30-40 Minuten. Hiermit ist die reine MRT- Untersuchungszeit gemeint. Diese kann individuell abweichen, da bei unterschiedlichen medizinischen Fragestellungen, unterschiedliche MRT-Einstellungen notwendig sind. Ebenfalls ist die Dauer von Medikamenten- oder Kontrastmittelgabe abhängig. Patienten stehen für uns bei Beyond Imaging im Mittelpunkt, weshalb wir uns darum bemühen, Ihre Zeit bei uns so angenehm wie möglich zu gestalten und effizient zu nutzen.
Gesetzlich Versicherte können mit einem Überweisungsschein bei uns einen Termin buchen, die Kosten übernimmt hier die gesetzliche Krankenkasse.
Die Kosten einer MRT Abdomen für Privatpatienten beginnen ab 610Euro.
Wieso Sie bei Beyond Imaging einen MRT- Termin buchen sollten:
Beyond Imaging ist Ihr Profi für MRT-Diagnostik, der sich voll und ganz auf Ihr Wohlbefinden konzentriert. Bei uns erhalten Sie hochwertige MRT-Bilder in einer angenehmen und patientenfreundlichen Atmosphäre. Mit 16 Diagnostikzentren deutschlandweit und einem Standort in der Schweiz sind wir für Sie leicht erreichbar. Sie können jederzeit online einen MRT-Termin in nur vier Schritten buchen.
Unsere Mission ist es, Ihnen als Patient*in das bestmögliche Erlebnis zu bieten. Wir verstehen, dass jede Situation individuell ist, und deshalb stehen wir Ihnen jederzeit zur Seite. Bei Beyond Imaging steht Ihr Wohl an erster Stelle. An jedem Standort erwartet Sie ein medizinisch professionell ausgebildetes Team, das auf Ihre Bedürfnisse achtet und auf Ihre Fragen und Sorgen eingeht.
Vertrauen Sie Beyond Imaging für präzise Diagnostik und eine medizinische Betreuung, die sich ganz nach Ihren Bedürfnissen richtet. Wir sind für Sie da!

