Die Computertomographie (CT) des Abdomens ist ein weit verbreitetes medizinisches Bildgebungsverfahren, mit dem medizinische Fachkräfte die inneren Strukturen des Abdomens sichtbar machen und beurteilen können. Dieses nicht-invasive Verfahren liefert detaillierte Bilder von verschiedenen Organen und Geweben und hilft bei der Diagnose und Behandlung zahlreicher Erkrankungen.
CT Abdomen Vorbereitung
CT Abdomen nüchtern: Je nach den spezifischen Anweisungen des Arztes oder des radiologischen Zentrums müssen die Patienten vor der CT Abdomen eine bestimmte Zeit lang fasten. Diese Fastenzeit beträgt in der Regel zwischen 4 und 6 Stunden. Das Fasten trägt dazu bei, das Vorhandensein von unverdauter Nahrung im Magen-Darm-Trakt zu verringern, wodurch eine klare Sicht auf die Bauchstrukturen gewährleistet wird.
CT Abdomen mit Kontrastmittel
Die Verwendung von Kontrastmitteln ist bei CT Abdomen eine gängige Praxis. Das Kontrastmittel, häufig auf Jodbasis, trägt dazu bei, bestimmte Strukturen und Anomalien im Bauchraum hervorzuheben, was eine bessere Visualisierung und Interpretation durch den Radiologen ermöglicht.
Kontrastmittel CT Abdomen Nebenwirkungen
Das Kontrastmittel, das zur Verbesserung von CT-Bauchaufnahmen verwendet wird, kann leichte Nebenwirkungen wie Wärme, metallischen Geschmack, Übelkeit und Juckreiz verursachen. In seltenen Fällen können schwere allergische Reaktionen auftreten, die Atembeschwerden oder niedrigen Blutdruck verursachen.
Informieren Sie Ihren medizinischen Betreuer vor dem Verfahren über etwaige Allergien oder Nierenprobleme. Obwohl die Nebenwirkungen in der Regel gering sind, überwiegen die Vorteile einer klareren Bildgebung oft die möglichen Risiken. Das medizinische Fachpersonal ist darauf vorbereitet, alle unerwünschten Reaktionen während des Verfahrens zu behandeln.
Nierenfunktion: Wenn Sie in der Vergangenheit Nierenprobleme hatten, an Diabetes erkrankt sind oder bestimmte Medikamente einnehmen, wird Ihr medizinischer Betreuer Ihre Nierenfunktion beurteilen, um festzustellen, ob Sie für die Verwendung von Kontrastmitteln geeignet sind.
CT Abdomen Kleidung
Tragen Sie bei einer CT Abdomen lockere, nicht-metallische Kleidung, um Störungen der Bildgebung zu vermeiden. Metallverschlüsse, Knöpfe und Schmuck sollten entfernt werden. Für eine bessere Bildqualität und mehr Komfort während des Verfahrens kann ein Krankenhauskittel zur Verfügung gestellt werden.
Anamnese: Informieren Sie den medizinischen Betreuer über frühere Operationen, Erkrankungen, Allergien und aktuelle Medikamente, um einen maßgeschneiderten und sicheren Eingriff zu ermöglichen.
Schwangerschaft und Stillen: Informieren Sie den Arzt, wenn Sie schwanger sind oder stillen, um die Strahlenbelastung für das Baby zu minimieren.
Anweisungen befolgen: Halten Sie sich an alle Anweisungen vor dem Scan bezüglich der Ankunftszeit, der Vorbereitungen und der für einen reibungslosen CT Abdomen-Scan mitzubringenden Gegenstände.
Wie lange dauert ein CT Abdomen?
Die Dauer einer CT Abdomen kann variieren, liegt aber in der Regel zwischen 10 und 30 Minuten. Die eigentliche Untersuchungszeit ist relativ kurz, aber die Vorbereitung und Positionierung kann zusätzliche Zeit in Anspruch nehmen. Die Effizienz des Verfahrens, der Bedarf an Kontrastmittel und die Komplexität der Untersuchung können die Dauer des Verfahrens beeinflussen.

CT Abdomen Ablauf
Positionierung des Patienten: Der Patient legt sich auf einen motorisierten Tisch, der in den CT-Scanner gefahren wird. Die richtige Positionierung ist entscheidend, um klare und genaue Bilder des Abdomens zu erhalten.
Kontrastmittel (optional): In einigen Fällen kann ein Kontrastmittel verwendet werden, um die Sichtbarkeit bestimmter Strukturen zu verbessern. Das Kontrastmittel kann oral, intravenös oder rektal verabreicht werden, je nach den spezifischen Anforderungen der Untersuchung.
Scannen: Der CT-Scanner verwendet Röntgenstrahlen, um mehrere Bilder des Abdomens aus verschiedenen Winkeln aufzunehmen. Der Scanner dreht sich um den Patienten und nimmt dabei detaillierte Querschnittsbilder des Bauchraums auf.
Anhalten der Atmung: Die Patienten werden angewiesen, während des Scannens für kurze Zeit die Luft anzuhalten, um Bewegungsartefakte zu minimieren und klare Bilder zu erhalten.
Strahlenbelastung: Während des Scans sind die Patienten ionisierender Strahlung ausgesetzt. Die Strahlenbelastung wird so gering wie möglich gehalten, um die notwendigen diagnostischen Informationen zu erhalten, wobei die Sicherheit des Patienten im Vordergrund steht.
Überwachung: Während des gesamten Verfahrens überwacht ein Techniker oder Röntgenassistent den Patienten von einem Nebenraum aus und kommuniziert mit ihm über eine Gegensprechanlage.
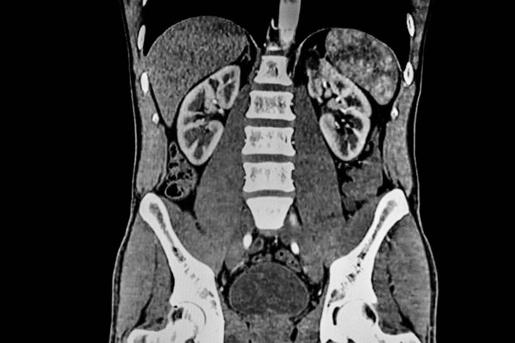
CT Abdomen Befundung – CT Abdomen welche Organe sieht man?
- Die Leber – Befunde: Größe, Form, Beschaffenheit der Leber und Vorhandensein von Läsionen, Zysten, Tumoren, Abszessen oder Fettlebererkrankungen.
- Milz – Befunde: Größe, Form, Dichte der Milz und Vorhandensein von Anomalien wie Vergrößerung, Trauma oder Tumoren.
- Bauchspeicheldrüse – Befunde: Größe, Form und Struktur der Bauchspeicheldrüse sowie Nachweis von Tumoren, Zysten, Entzündungen (Pankreatitis) oder Anomalien der Gänge.
- Nieren – Befunde: Größe, Form und Lage der Nieren sowie Vorhandensein von Nierensteinen, Tumoren, Zysten, Infektionen oder anderen Nierenanomalien.
- Gallenblase – Befunde: Struktur und Größe der Gallenblase, Vorhandensein von Gallensteinen, Entzündungen (Cholezystitis) oder anderen Anomalien.
- Magen und Därme – Befunde: Darstellung des Magens, des Dünndarms und des Dickdarms (Kolon) auf Anzeichen von Entzündungen, Verstopfungen, Geschwüren oder Wucherungen.
- Nebennieren – Befunde: Nachweis von Nebennierenmassen, Tumoren oder anderen Anomalien.
- Blutgefäße – Befunde: Darstellung der großen Blutgefäße wie der Aorta und ihrer Verzweigungen, Untersuchung auf Aneurysmen, Dissektionen oder andere Gefäßprobleme.
- Lymphknoten – Befunde: Erkennung vergrößerter oder abnormaler Lymphknoten, die auf Infektionen, Entzündungen oder Krebs hinweisen können.
- Muskeln und Weichteile des Abdomens – Befunde: Beurteilung der Muskelstruktur, Vorhandensein von Massen, Hernien oder anderen Weichteilanomalien.
- Peritoneum und Mesenterium – Befunde: Beurteilung der Auskleidung der Bauchhöhle (Peritoneum) und der stützenden Membran (Mesenterium) auf Anzeichen von Entzündungen, Infektionen oder Tumoren.
- Beckenorgane (in einigen Fällen) – Befunde: Untersuchung der Beckenorgane wie Gebärmutter, Eierstöcke und Blase auf Anomalien, Zysten, Tumore oder andere Erkrankungen.

Wie gefährlich ist ein CT Abdomen?
Die CT Abdomen gilt im Allgemeinen als sicher und liefert wertvolle diagnostische Informationen. Die Vorteile einer genauen Diagnose überwiegen oft die mit dem Verfahren verbundenen Risiken. Die Belastung durch ionisierende Strahlung ist jedoch ein Problem, insbesondere bei wiederholten CT-Scans. Es werden Anstrengungen unternommen, um die Strahlenbelastung zu minimieren, indem die geringstmögliche Dosis verwendet und gleichzeitig die Bildqualität sichergestellt wird.
