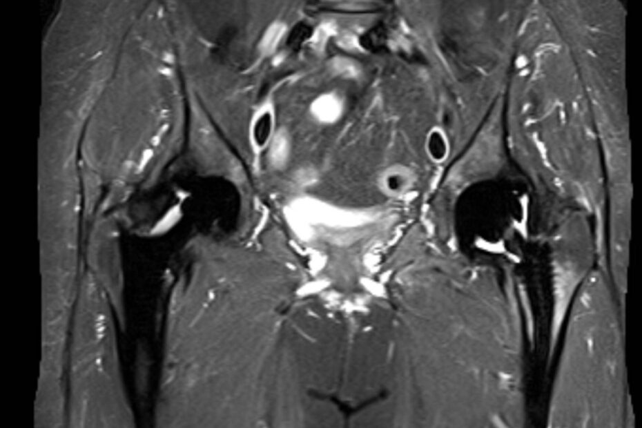
Die Magnetresonanztomographie des Beckens, kurz MRT Becken genannt, ermöglicht es den Bereich des Beckens bildlich darzustellen. Hierbei ist nicht nur der knöcherne Teil des Beckens zu sehen, sondern auch Gelenke und insbesondere Organe, die sich im Beckenbereich befinden. Die MRT Becken ermöglicht strahlenfreie und präzise Bildgebung. Das Becken ist die zentrale Verbindung zwischen unseren Beinen … MRT Becken weiterlesen
Füge diese URL in deine WordPress-Website ein, um sie einzubetten
Füge diesen Code in deine Website ein, um ihn einzubinden